
文 | 图 动保事业部 孙龙芳
虾前期常见的问题
“虾活着是个奇迹,死了是个谜”
在南美白对虾养殖行业中,流行这样一种说法,“虾活着是个奇迹,死了是个谜”,这句话道出了目前对虾养殖的困难。特别是近年来,南美白对虾的养殖一直受各种病害的困扰,早期肝胰腺坏死、白便等问题接踵而至,给养殖户带来了极大的损失和风险。
由于养殖前期底质环境差、虾免疫力低下、水质不稳定等原因,对虾发病主要集中在前中期,表现症状多发生在肝脏、肠道。

图1. 前期水体不良藻相以及底质环境恶化
肝脏是对虾最重要的消化和免疫器官,对对虾的摄食消化、病害免疫起着不可替代的重要作用。对虾肝脏出现问题,往往随之而来的就是发病偷死。
肠道作为对虾消化系统的重要的组成部分,一旦出现问题,将极大地影响营养吸收能力,也为弧菌的侵入提供了机会。
对虾肝脏和肠道的健康
关系着整造养殖的顺利进行
对虾发病初期,肝脏首先出现发红、红肿、肠道断节现象,继而逐渐转变为肝脏萎缩糜烂,空肠空胃,随即出现发病偷死。目前,大部分养殖户在对虾转肝期进行“突击壮虾”。

图2. 对虾出现空肠空胃、肝胰腺萎缩以及偷死
解决办法
用虾多多,保肝护肠,提高小虾成活率

图3. 虾多多0#饲料包材图案
虾多多:饲料中添加了发酵产物,能够很好地促进肠道绒毛生成,修复受损肠道,减少病害肠道入侵;同时添加了复合中草药成分,能够显著增强肝脏脂肪代谢能力,降低肝脏负荷,对肝脏细胞起到修复作用。
作为一款功能料,虾多多不仅提高原料的消化性,降低肝脏负荷,而且添加有发酵酶解原料,显著提高对虾诱食性。从对虾养殖前期开始使用虾多多,能够显著增强对虾免疫力,保肝护肠,从而提高小虾成活率。
虾多多饲料中添加了丰富的发酵产物和发酵酶解原料,能够显著提升对虾消化吸收能力,同时提高对虾诱食性,又能很好地修复肠道损伤,促进长绒毛膜生成。故坚持使用虾多多一段时间之后,虾子肠道粗壮、饱满,消化吸收好。
案例1:
郭老板,虾塘10亩,2月4日放苗,投喂虾多多;
吴老板,虾塘10亩,2月7日放苗,投喂普通料。
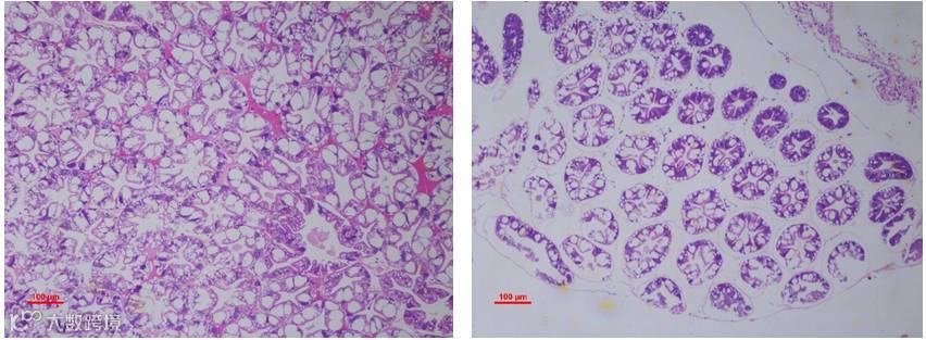
投喂一段时间之后,采集两口池塘虾子肠道,制作肠道石蜡切片比对时,结果发现:投喂虾多多的郭老板的虾子肠道粗壮、更饱满,肠绒毛膜完整,肠壁较厚;而投喂普通白虾料的吴老板的虾子肠道壁薄,肠绒毛膜损伤明显。

图4. 投喂虾多多虾子肠道粗壮饱满(左),而投喂普通料虾子肠道细,活力差(右)

图5. 郭老板投喂虾多多虾子肠道(左)与吴老板投喂普通料肠道(右)切片对比
虾多多饲料中添加了丰富的复合中草药成分,能够显著增强肝脏脂肪代谢能力,降低肝脏负荷,对肝脏细胞起到修复作用。使得投喂虾多多一段时间的的虾肝胰脏清晰、活力好。
通过对比投喂虾多多和投喂普通白虾料的对虾肝脏切片,我们发现,两者差异显著。投喂虾多多的郭老板的虾肝脏细胞大且圆,含量丰富,结构正常,肝小管间隙和内腔均非常小,这种肝脏功能结构较好;而投喂普通饲料的虾肝脏细胞小,含量少,肝小管间隙和内腔都较大,肝脏功能受损。


图6. 投喂虾多多虾子肝脏(左)与投喂普通料肝脏(右)切片对比
案例2:
江门梁老板,2月25日放苗38万。从3月17日开始投喂虾多多,投喂虾多多之前,体色差、肠道细、活力差;回访时,该客户的池塘对虾肝脏轮廓、包膜更加清晰,活力也非常好。

图7. 梁老板投喂虾多多虾子肝胰脏清晰、活力好
既然虾多多能够显著修复肝肠,是肠道粗壮、饱满,那么对于对虾吃料有无促进作用呢?笔者从珠三角部分养殖区域随机选择部分使用虾多多的客户和使用普通饲料的客户,统计池塘投喂数据,进行对比。

图8. 部分使用虾多多功能料池塘与不使用虾多多池塘对比
结果发现,使用虾多多的池塘,清罾期平均日投喂量为19.44斤/十万苗,而同期放苗、投喂普通饲料客户在清罾期平均日投喂量为16.54斤/十万苗。投喂虾多多的池塘在清罾期间,日投喂量比投喂普通饲料池塘高17.53%,远远高于普通饲料池塘。

图9. 投喂不同饲料在清罾期的日投喂量对比
结语
对虾养殖前40天是整个养殖过程中最为关键的阶段,前期环境多变,特别是中造虾,天气多变,底质较差,虾子免疫能力和抵抗力就显得极为重要。所以在对虾养殖前期,选择一款能够显著提高对虾免疫能力的功能料,是极为明智的。虾多多不仅能提高对虾免疫力、保肝护肠,还能促进对虾摄食消化,最终提高对虾成活率。
当然,养虾是一件个系统性工程,需要对各方面影响考虑周全,更要求过硬的养殖技术以及过程管理。所以,在养殖前40天的关键时期,仅仅使用功能料是不够的,只有在底质改良、稳水、壮虾几方面都下足了功夫,才能真正的养大虾、赚大钱!


