宫颈液基细胞学40岁
微生物的病例在细胞病理医生日常的阅片工作中是比较容易忽略的。今天给大家分享一例放线菌感染的病例。放线菌是革兰阳性厌氧菌,常与异物有关,一般见于使用宫内节育器(IUD)。大多数女性无症状,也无需治疗,但可有恶臭现象。子宫颈细胞学标本发现放线菌,同时该妇女存在盆腔感染的证据,有助于提醒临床医师其可能存在盆腔放线菌脓肿。
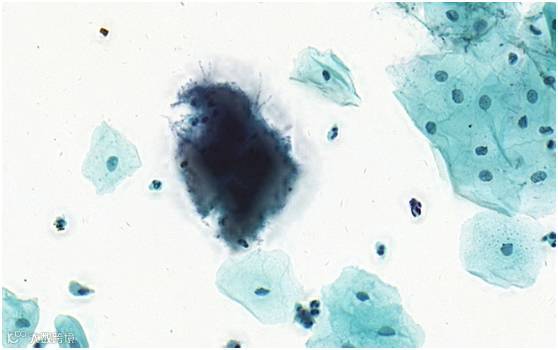
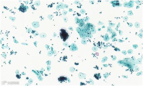
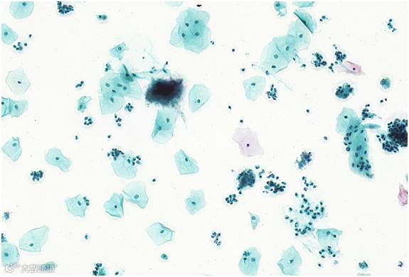
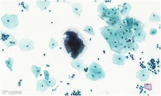
低倍镜:整体背景以中层和表层细胞为主,偶有成团细胞,背景较为干净,有少许中性粒细胞。可见较多缠绕成团的细丝样病原体,有呈锐角的分支,呈“棉球样”外观。
低倍镜:整体背景以中层和表层细胞为主,偶有成团细胞,背景较为干净,有少许中性粒细胞。可见较多缠绕成团的细丝样病原体,有呈锐角的分支,呈“棉球样”外观。
细胞学诊断结果:B2(细菌,形态上符合放线菌)
生殖道放线菌的主要特征:
1.几乎总是与IUD或异物有关
2.可能无临床症状
3.深嗜碱性“羊毛球”
4.平行的纤毛,锐角分支
5.特殊染色(革兰、PAS)或免疫染色可确诊
总结:子宫颈细胞学检查的目的是筛查。以便早期发现宫颈癌前病变而预防鳞状上皮细胞癌的发生。但如果发现微生物也应报告。微生物在TBS系统归属于无上皮病变或恶性病变(NILM),细胞学检查虽然可以提供微生物感染的一些情况,但是不能取代常规的微生物检查和鉴定。

