核心提示:ALK第一代进入医保,第二代药物已获批进入临床,ALK的伴随诊断应用越来越广。ALK有多个伙伴基因,NSCLC中主要为ALK-EML4,而非NSCLC中却比例不高。而ALK除了典型和不典型断裂,还常伴有拷贝数增加异常。ALK会经常碰到IHC和FISH结果不符的情况,特别是FISH阴性而IHC阳性需用别的方法验证。
ALK靶向药物克唑替尼去年被纳入国家医疗保险,每月患者的治疗费用从5万降到1万多,对患者及国家而言都非常利好。而ALK第二代药物阿来替尼在2018年也被批准中国上市,中位无进展生存期达到空前的34.8个月,且可突破血脑屏障,将患者脑转移风险降低84%。不言而喻,ALK用药前的检测也显得更为重要,蛋白方法IHC与分子平台FISH、RT-PCR、NGS等的检测不一致病例在临床中也会更多碰到。本文着重从文献角度分析基于形态的两种主流方法IHC与FISH检测的典型和不典型异常,及两种结果不一致的原因分析,供大家参考。

如上左图:ALK蛋白结构域;上右图:克唑替尼与ALK蛋白的相互作用图。
1
在《中国间变性淋巴瘤激酶(ALK)阳性非小细胞肺癌诊断专家共识(2013版)》中,明确推荐D5F3(Cell Signaling公司)和5A4(Abcam公司)克隆号抗体检测ALK融合蛋白,且《共识》中列举了IHC不同表达程度与FISH阳性的关系如下表:

需要说明:《共识》中指出常规IHC的阳性标准判定尚未统一。推荐常规方法IHC的判读标准如下:IHC 3+:>5%的肿瘤细胞呈现颗粒状细胞质强着色;IHC 2+:>5%的肿瘤细胞呈现中度细胞质着色;IHC 1+:>5%的肿瘤细胞呈现微弱或模糊的细胞质着色或小于等于5%的肿瘤细胞有任何程度的着色;IHC 0:肿瘤细胞无着色。而罗氏公司开发的Ventana ALK融合蛋白IHC诊断试剂盒采用二分类系统,即仅为阳性和阴性两种,阳性结果即可诊断为ALK阳性NSCLC。
然而,国内周晓军等人(2015)比较了手工IHC ALK四种抗体与FISH阳性的相关性,不同抗体间的灵敏度存在较大差别,D5F3的表达强度优于5A4,在IHC 3+/2+样本中的比例相对更高,灵敏度明显更优(93.8% vs 56.3%)但两者的特异性相当。如下图:


如上图:(A)穿刺样本,Ventana机染IHC D5F3;(B)手工IHC克隆1A4/1H7;(C)穿刺样本,弱的胞浆表达,1+;(D)弥漫胞浆表达,染色均匀,3+。

如上图:FISH与D5F3、5A4表达对比,D5F3强度明显优于5A4。(J Thorac Oncol. 2015)

如上图,FISH结果与5A4 IHC不同程度结果符合率。3+中较高(20/22),但1+中仅有2/48。(J Clin Oncol 2014)

如上图:不同克隆号的ALK抗体机染、手工的protocol文献汇总。
2
《共识》中指出,建议优先对这些临床病理特征样本进行筛选,包括黏液型腺癌、含印戒细胞成分、不吸烟、年龄<60岁。但这些特征并非排他性的,即对其他疑有ALK融合变异患者均可检测。并且,《共识》指出,对于部分无条件行Ventana IHC检测的医疗机构,常规ALK IHC可作为替代的筛选方法,但阳性标本需以FISH、Ventana IHC或PCR进一步确诊。
3
NSCLC中,ALK易位与人种(西方/亚洲/混合)、组织学(腺癌/鳞癌)、性别、吸烟状态、肿瘤分期、年龄、与EGFR突变、KRAS突变的荟萃分析见下图文献综述,涵盖了62篇paper数据。



如上左图:NSCLC中ALK与EML4融合有多种变体,表现为ALK的断裂位点恒定(Exon20),而EML4有多个不同断裂位点;上右图:EML4-ALK不同融合变体的发生率,需要注意,还有约10%为“Unknown”的变体。所以,ALK断裂探针在变体众多的融合基因检测上具有天然优势。(The Oncologist, 2012)
4
Abbott的ALK FISH探针在临床应用上做为伴随诊断试剂,积累了大量临床数据。ALK与EML4都在2号染色体的短臂(2p),ALK是从右至左转录的(5’在右侧),且与EML4仅相距12M(EML4在ALK基因的右侧,靠着丝粒端)。ALK 断裂位点恒定,在20外显子处(靠近3’端),由于ALK是与EML4发生倒位融合的(位于两基因断裂位点之间的序列调转过来),所以Abbott的ALK FISH探针的绿色端设计在ALK基因上,且靠近20外显子断裂处(靠近3’端),红色端紧挨着ALK 3’端,这样的话ALK与EML4发生融合时就红绿信号分离开来了。

如上上图:Abbott的ALK断裂FISH探针设计;上下图:ALK与EML4发生倒位融合示意图。
需要注意:常规FISH基因探针的信号大小约为几M基因组距离(与细胞核大小、染色质松散程度相关)。ALK与EML4倒位后,红绿探针在基因组距离上也就相差12M作用而已,对应的空间距离也不会太大(比不同条染色体易位的近,如BCR/ABL),但也不会太小(比如毛细胞星形细胞瘤中BRAF-KIAA1549仅相距2M,阴阳性就不好区分了),但典型的断裂开来的阳性红绿信号分开的距离会大于2倍信号直径。值的指出,文献也多引用“2倍信号直径”这一说法,但也有少量文献是“1倍信号直径”。
不过,根据我们的经验,12M这一基因组距离说大不大,说小不小,且在细胞核相对不大或染色质致密的样本中、或受样本处理的影响(如煮片的力度大小),也多有可能会出现红绿介于1倍-2倍信号直径之间的距离。那究竟判阳还是判阴,还需根据整体镜下阅片情况、肿瘤细胞多少等斟酌,最好是用不同方法学来验证(如RT-PCR或NGS)。

如上左图:大于2倍信号直径判为阳性;上右图:上端两处箭头所示为阴性,中间箭头所示为阳性。(The Oncologist, 2012)
5
ALK判读中,经常会碰到阳性阈值的问题。Abbott的说明书中15%是建立在较大样本量上分析而来的数据,如下图。但处于灰区“borderline,15-20%”时需额外计数细胞(如25个)来加以判断,且Abbott的说明书中都给出了指引。然而,处于15-20%的样本比例并不高,见下列文献引用。但阳性细胞比例不够15%或处于灰区是造成IHC阳性而FISH阴性的主要原因。

如上左图:ALK阴、阳性细胞比例的统计学分析,定为阈值15%可很好地区分ALK阴性样本(53例)和阳性样本(13例);上右图:三个中心(美国/日本/法国)显示阴性样本中阳性细胞比例约介于3.5%-9.5%。(The Oncologist, 2012)
6
6:除了1红1绿1黄外,ALK还有单红1黄的不典型阳性类型。如上所述,绿色探针标记在20外显子的右端,而ALK和EML4在倒位融合过程中也可能会发生缺失(导致绿色信号丢失),但EML4区段已与ALK酪氨酸激酶区段形成融合蛋白,所以这也是阳性的类型。

如上左图:单红1黄也为ALK阳性。上右图:典型阳性信号(1红1绿1黄)在三个中心中的比例分别为54%(美国)、90.5%(法国)和73.7(韩国);而不典型阳性(单绿1黄)则分别为37%、9.5%和26.3%。也就是说典型阳性比不典型阳性更为多见。

不同阳性类型的阳性细胞数分布也不一,且跨度也较大,典型阳性为18%-82%;而不典型阳性可能由于例数较少,其平均阳性细胞比例更高一些74%。

如上图:典型阳性和不典型阳性两者的性别、年龄、种族、吸烟状态对比数据。
而不典型阳性病例可能与克唑替尼治疗的疗效也有关系。如下图数据:


如上图:ALK FISH和IHC不符样本的信号类型(典型vs不典型)与拷贝数增加及疗效的关系。(Oncology Reports, 2016)
7
然而,随着数据的积累,越来越多的不典型阳性、或复杂异常被发现。如红绿分开伴多黄、单红多黄、2个都为红绿分开等。这也可理解,越复杂的信号表现,就意味着越复杂的基因组异常。这类异常是很容易理解和直观的。

如上图:表现为2个都为红绿分开、单红伴3黄。

如上图,部分ALK阳性样本伴有拷贝数增加异常(多体或扩增)。

如上图,NSCLC和non-NSCLC中,ALK阳性病例可伴有很多基因的点突变,前三位为TP53、CDKN2A和CDKN2B,且NSCLC中出现的基因异常频率比non-NSCLC的高。这也说明NSCLC的基因异常谱更为复杂。
但有一些隐匿的情况,会导致IHC阳性但FISH阴性的结果,临床处理比较困惑。有学者专门做了总结图,总体而言就是ALK-EML4倒位融合后且伴有不同位置或区段的缺失,而导致红点缺失、或红绿都缺失等情况,导致不满足上述两类阳性信号类型的判读。

如上图,某学者的PPT课件,情况D-G都可导致出现1绿1黄、或1黄、或2黄等阴性信号类型,导致出现假阴性。(抱歉,图片来源不详,如有侵权请联系删除)

如上图:一例不典型阴性结果异常,伴有多个单绿和1个黄色信号。此例样本经RT-PCR验证为EML4-ALK融合阳性。(Journal of Thoracic Oncology, 2014)

如上图:IHC与FISH结果不符患者的总生存期比较。(J Clin Oncol. 2014)
8
然而,还有FISH阳性但IHC阴性的这类情况不符。有个别病例克唑替尼的疗效并不明显,原因未明。下图是其中一例FISH呈5’缺失的单红1黄阳性但IHC阴性、且NGS也为阴性但伴有KRAS阳性的患者,克唑替尼治疗8周后肿瘤体积反而增大30%。(J Thorac Oncol. 2015)

9
另外,ALK除了断裂阳性外,还可伴有拷贝数增加,且比较常见。在ALK FISH阴性患者中出现拷贝数增加的比例会更高。比如下面罗列的两篇大宗数据。
西班牙1000例数据中(J Thorac Oncol. 2014),发现有高达710例(65%)出现拷贝数增加(Copy number gains,CNG),且在其中的大部分细胞中都会出现(介于40%-95%)。FISH分析显示有43例(3.9%)在不到10%细胞中可伴有扩增,其中有21例表现为扩增簇和22例平均每细胞有超过6个ALK信号。在这些43例扩增的样本中,表现为扩增的细胞数量介于15%-60%。需要注意,有9例(0.8%)表现为一个细胞中只有一个ALK信号,提示为2号单体。

如上图:ALK FISH断裂阳性与ALK/CEP2拷贝数增加(扩增)、c-MET表达、ROS1表达等异常的关系。其中在ALK FISH 26例阳性样本中拷贝数增加介于3-6个的比例高达70%。

如上图:1:ALK断裂阴性;2:ALK典型阳性(1红1绿1黄);3:ALK不典型阳性(1红1黄);4:ALK多体阴性。
10
另外一篇超大量样本的数据(114200例,其中NSCLC21500例(18.8%),其他肿瘤类型92678例(81.2%))用测序分析的方法显示,有876例(0.8%)为ALK融合阳性,其中675例(77.1%)存在于NSCLC,而在其他肿瘤中为201(22.9%)。也就是说,ALK融合在NSCLC中(占3.1%)比其他肿瘤更为常见。而非NSCLC肿瘤伴有ALK融合的患者显得更为年轻、且女性居多。并且,在NSCLC中,ALK与EML4融合更为常见(占83.5%);而在其他非NSCLC肿瘤中ALK-EML4融合却仅占30.9%。(The Oncologist 2017)

如上图,NSCLC和non-NSCLC ALK阳性特征的对比。特别要注意,NSCLC中ALK主要是与EML4融合,但在non-NSCLC中ALK与非EML4基因融合的比例会更高(15.2% vs 9.6%)。

如上图,NGS发现ALK与众多基因融合的频率,NSCLC和non-NSCLC中的基因种类及丰度都不相同,且NSCLC中的基因融合种类更多,这也说明NSCLC的基因异常谱更为复杂。另外也说明,ALK断裂探针比PCR和测序方法更为简单实用,无论与哪个基因融合,都可检测出来。
ALK融合阳性的非NSCLC肿瘤多为上皮和间叶细胞肿瘤,且抗ALK治疗也有效。在其他肿瘤中为ALK阳性的201例病例中,病例较多的病种包括有:子宫平滑肌肉瘤(13例),原发灶不明的未分化神经内分泌癌(4例),原发灶不明的鳞状细胞癌(4例),原发灶不明癌(10例),原发灶不明腺癌(15例),乳头状甲状腺癌(5例),软组织肉瘤NOS(10例),软组织神经纤维瘤(4例),软组织平滑肌肉瘤(7例),软组织炎性肌纤维母细胞肿瘤(17例),软组织组织细胞增多症(4例),大B细胞淋巴瘤(7例),间变性大B细胞淋巴瘤(17例),结直肠癌(11例),乳腺癌NOS(5例)。
而这些ALK阳性的876例患者,可发生于身体的多个部位。肺(265例),淋巴结(143例),胸水(83例),肝(69例),软组织(16例),脊柱(6例),卵巢(3例),纵膈(5例),头颈(6例),胸膜(8例),脑(37例),骨(10例),肾上腺(5例),子宫(2例),胃(3例)。

如上图,一例伴有EML4-ALK融合的肾细胞癌患者用第二代药物阿来替尼治疗后肿物显著缩小。

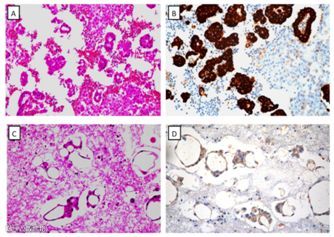
如上图,胸水细胞制成细胞块,行H&E和IHC ALK检测。(PLOS ONE 2015)

如上图,炎性肌纤维母细胞肿瘤中可伴有多种TKI靶标基因异常,如ALK、ROS1和PDGFRB,可行对应靶向治疗。(DOI: 10.1158/2159-8290.CD-14-0377)
部分引用文献:
1:Zhou Xiaojun et al. 2015. Comparing four different ALK antibodies with manualimmunohistochemistry (IHC) to screen for ALK-rearranged non-small cell lung cancer (NSCLC). Lung Cancer.
2:吴一龙等,2013。中国间变性淋巴瘤激酶(ALK)阳性非小细胞肺癌诊断专家共识(2013版)。中华病理学杂志,42(6)。
3:Niu Wenquan et al. 2014.Clinicopathological and Demographical Characteristics of Non-Small Cell LungCancer Patients with ALK Rearrangements: A Systematic Review and Meta-Analysis.PLOS ONE, 9(6).
4:Ross JS et al. 2017. ALKFusions in a WideVariety of Tumor Types Respond to Anti-ALK Targeted Therapy. The Oncologist,22:1444-1450.


