
近日,由中国非公医协病理学专委会和国家病理质控中心(PQCC)非公组联合举办的《2024年免疫组化室间质评(第一轮)》结果正式出炉!本次活动共有251家全国各级医疗机构医院病理科、第三方独立病理诊断中心/实验室和区域病理诊断中心分别参与ER、PR、Ki-67、HER2和Claudin18.2、C-MET室间质评,安必平自研的LBP1-CLDN18.2抗体与LBP4-C-MET抗体取得了优秀的成绩,在相关推介条件下均取得了理想的染色效果。
众所周知,影响免疫组化结果的因素众多,如何评价结果的可靠性,是免疫组化方法所面临的巨大挑战。室间质评(EQA)是免疫组化结果评价的方法之一,也是临床实验室质量管理体系中的重要组成部分。本次参评活动的免疫组化特异性抗体通过多家实验室间的检测比对,其结果有助于医师/技师鉴定产品质量的优劣,推动IHC质量体系规范化建设。
部分抗体测评结果分享
Claudin18.2
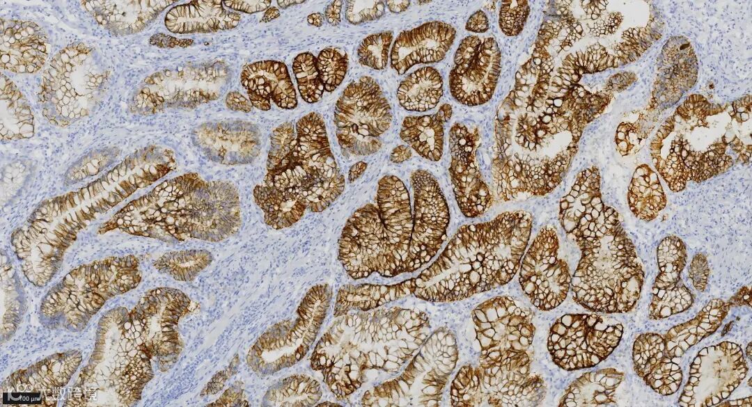
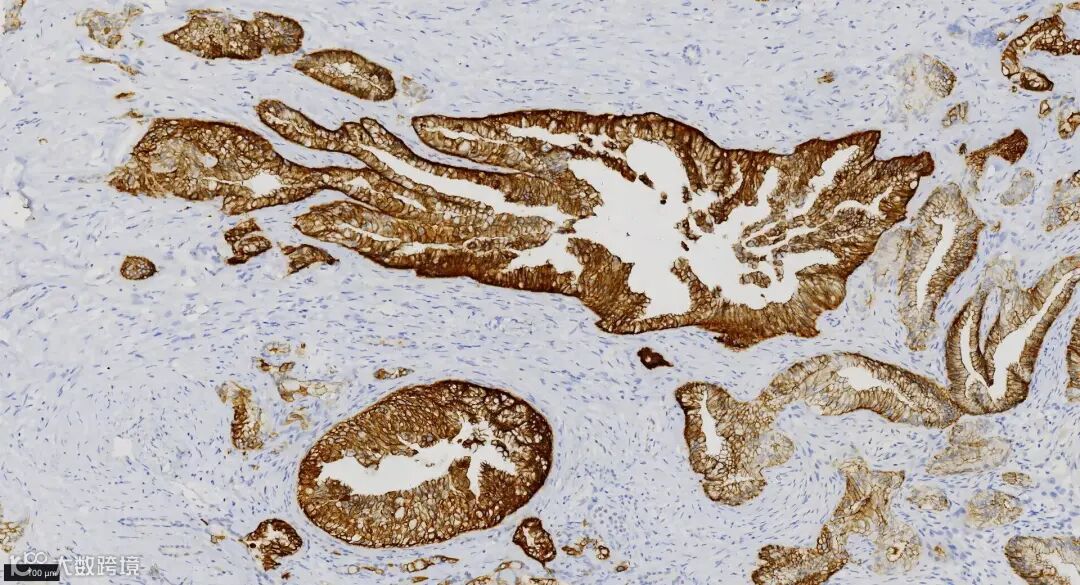
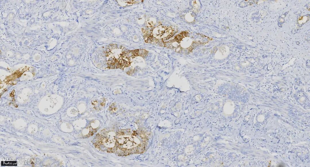
随着安斯泰来的靶向Claudin18.2(CLDN18.2)药物Vyloy(zolbetuximab)的获批,Claudin 18.2的病理诊断也成为学术领域关注的重点。Claudin 18.2是紧密连接蛋白家族一员,其特异地表达在分化的胃黏膜上皮细胞,但在胃干细胞区不表达,在其它正常组织中基本不表达;在原发性胃癌及其转移灶中高表达。《2023 CSCO胃癌诊疗指南》和《2023 ASCO胃癌诊疗指南》中都推荐了Claudin18.2的免疫组化检测。
在本次室间质评活动中,评测各实验室Claudin18.2免疫组化染色的结果也是重点项目之一。
室间质评Claudin 18.2结果汇总


本次室间质评结果汇总显示,参加Claudin 18.2评测的各级医疗机构共有75家,有8家染色结果不理想,这可能与平台的敏感性、一抗滴度和克隆号选择等因素造成的假阴性和表达弱有关;本次评测使用机构最多的克隆为LBP1-CLDN18.2,共有36家,染色效果均经过了阅片专家组认可;其次为ERP19202-244和ERP19202两克隆,其中ERP19202-244染色效果较ERP19202更优;43-14A为抗Claudin18抗体克隆,虽然它不能特异性的识别Claudin18.1 和Claudin18.2,但在本次室间质评中效果也较为理想。
根据各级医疗机构结果统计,本次Claudin 18.2选择手工染色的机构最多,有25家;其次是Benchmark和BOND平台,分别是19家、12家;
根据结果反馈推荐以下染色方法供参考:
①手工法
pH9.0修复98℃ 30min/pH8.0高压修复3min,一抗室温30min,二抗室温20min
②Benchmark平台
CC1修复,一抗37℃ 32min,二抗37℃ 38min;
③BOND平台
ER1修复20min、*IHC protocol F流程
质控组织:
本次室间质评Claudin18.2质控品组织提供的人胃腺癌>70%、>50%、<50%阳性,人胰腺和肝组织均为阴性,并作为非特异性染色的对照质控组织。
染色效果图示例
左右滑动查看更多
C-MET
2023年《非小细胞肺癌MET免疫组织化学检测和判读标准中国专家共识》指出在NSCLC患者中,MET蛋白过表达比例高于MET基因扩增比例,IHC检测MET蛋白过表达可提高EGFR‑TKI耐药后抗MET靶向治疗的潜在获益人群比例,对MET IHC检测流程、判读标准及检测报告形式进行了规范,以期进行高质量的MET IHC检测,提高判读结果的准确性和一致性。
在本次室间质评活动中,评测各实验室C-MET免疫组化染色也是重点项目。


室间质评C-MET结果汇总
本次室间质评结果汇总显示,参加C-MET评测的各级医疗机构共有73家,仅有1家染色结果不理想;本次评测使用机构最多的克隆为LBP4-C-MET,共有34家,其次为指南推荐克隆SP44,有26家;以上两种克隆染色一致率较高,均满足指南推荐的判读标准。目前现有的诸多C-MET抗体主要存在的问题是背景染色较难通过方法学手段克服(尤其在手工染色情况下),相关情况的解决还需进一步的优化各克隆性能。
根据结果反馈推荐以下染色方法供参考:
Benchmark平台 OptiView Detection Kit
CC1 修复64min,一抗37℃ 16min,二抗37℃ 8min
C-MET判读参考共识指南
染色强度评估标准

MET免疫组织化学评分标准

胞膜表达强弱应作为 MET 染色结果判读的主要依据,胞质染色则作为辅助判断,对于仅有胞质染色而无胞膜染色的病例,可根据标准进行判读,但需在报告中注明。根据文献报道,MET 强染色更常见于胞膜,此外,肿瘤细胞不同的 MET阳性染色模式可能与临床疗效具有相关性,与以胞膜为主的染色模式相比,以胞质为主的染色模式可能预后更差。
目前,50%以上的肿瘤细胞强着色可作为赛沃替尼等药物的用药指导。
质控组织:
肺腺癌+、++、+++阳性和正常肝组织阴性(主要用于控制背景染色)
染色效果图
左右滑动查看更多
产品推荐:

-END-

