中国,大连——9月4日至7日,中华医学会第三十二届泌尿外科学术会议在大连国际会议中心隆重举行。来自全国各地的6000余位医务工作者、国内外医疗500强企业代表和60多位外籍专家齐聚,通过主旨报告、专题研讨、手术直播演示等多种方式,无私分享丰富的临床经验、前沿的研究成果和对学科发展的深刻思考,推动我国泌尿外科事业高质量发展。
▲大会开幕
大会期间,大连医科大学副校长,大连医科大学附属第二医院党委副书记、院长刘志宇教授和郑州大附属第一医院泌尿外科医学部主任张雪培教授先后实施超远程复杂泌尿外科手术,再次验证国产图迈®机器人“全天候”远程手术能力,成为本次盛会焦点。
再创“全球首例”纪录
图迈®“全天候”远程手术能力持续验证
自2022年6月实施全球首例5G超远程手术以来,图迈®机器人在亚洲、非洲、欧洲、南北美洲多个国家的多种地形、海洋环境、多种气候条件下,辅助完成覆盖多科室远程手术接近500例,实施成功率100%,创造了超过50项全国乃至世界纪录(首例或首次),累计传输距离超过1000000公里。基于成熟、领先的远程手术技术,图迈®机器人展现出卓越的“全天候”作战能力,辅助完成“全球首例”已呈常规化!
▲《西藏新闻联播》报道手术成功实施
9月3日,图迈®机器人再创“全球首例”,辅助实施海拔4500米以上5G超远程手术。手术由刘志宇教授带领手术团队与辽宁援藏队员、那曲市人民医院泌尿外科主任王艳龙密切协作,共同完成。
那曲位于青藏高原腹地,平均海拔超过4500米;而大连与那曲相距超过4000公里。低压、低氧、气候严酷的环境以及遥远的距离成为本次手术的巨大挑战。
为确保手术顺利,大连与那曲两地医疗团队联合微创®机器人技术团队与网络供应商,多次调试手术机器人和5G网络设备,并针对患者病情制定个性化方案,进行了多轮模拟演练。
手术当天,刘志宇教授在大连操控远在那曲手术室的图迈®机器人机械臂进行手术。手术全程视野高清立体、机械臂响应快速及时、各类手术器械运转灵活精准、能量激发稳定。两地语音交互清晰流畅,在图迈®辅助下,刘志宇教授以精湛的手术技艺细致入微完成各项手术操作,顺利实现全部手术目标。手术用时极短,出血非常少,实现了极致微创治疗。
手术实施完成,证明在低温、低氧、低压极端高原环境下,图迈®机器人依然能够突破地域与环境的限制出色完成手术,这不仅为那曲患者带来实实在在的福祉,更为全球高海拔、偏远地区的医疗救治提供了标准化、可复制的范例,展现出机器人远程手术临床应用的广阔前景。
王艳龙主任表示,以往那曲患者若罹患复杂疾病,需长途跋涉前往低海拔地区就医,不仅舟车劳顿、费用高昂,还可能加重病情。如今,借助图迈®远程手术技术,患者在家门口即可接受顶尖专家的手术,极大减轻了就医负担。
“天花板”级手术常态化开展
图迈®性能再获广泛盛赞
手术室内,张雪培教授身于图迈®机器人医生控制台前,全神贯注通过沉浸式3D高清视野观察患者病灶区域组织结构,指尖在控制台上轻盈移动。同步画面中,患者端机械臂如影随形,精准完成游离、牵拉、夹持、离断、电凝、缝合等各项手术动作——仅用时45分钟,一例从大连到郑州的远程根治性全膀胱切除术+淋巴清扫术即宣告完成。
根治性全膀胱切除术+回肠代膀胱手术被誉为泌尿外科最具挑战性的“天花板级”手术之一,其技术难点主要体现在三个方面:其一,盆腔结构复杂,重要血管神经密布,手术稍有不慎就可能导致大出血或直肠损伤;其二,手术范围广泛,需同时切除膀胱及前列腺等脏器,清扫髂血管淋巴结,手术时间长,对术者的操作技巧和空间认知能力要求高;其三,尿流改道困难,涉及肠管尿路重建,吻合精度要求高,直接关系到患者术后生活质量和长期生存。以远程的方式实施,手术难度倍增。
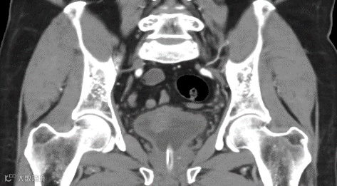
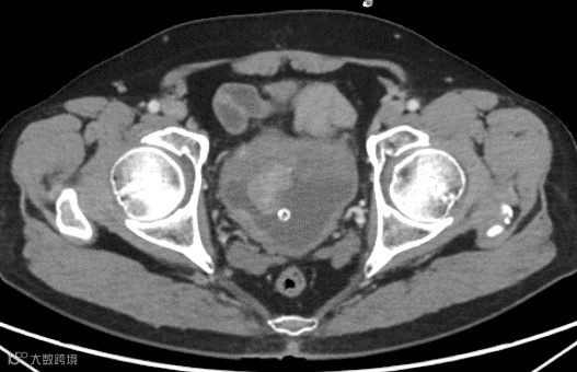
▲患者影像资料
本次手术患者60岁男性,以“血尿2月余”为主诉入院,经增强CT检查及病理会诊确诊为高级别浸润性尿路上皮癌,浸润固有层。经过仔细评估并结合患者病情及意愿,郑大一附院泌尿外科团队制定腹腔镜下膀胱根治性切除、盆腔淋巴结清扫+回肠代膀胱手术方案,并由张雪培教授远程实施。
面对患者膀胱肿瘤负荷大、手术空间小、盆壁粘连重等技术难点,张雪培教授举重若轻,凭借丰富的手术经验和精湛的技术与手术团队默契配合,耐心细致操作,有条不紊完成所有手术操作。本例手术成功实施,彰显了图迈®机器人在高难度复杂远程手术中的稳定性、安全性和有效性。
▲手术成功实施
在与观摩本次手术的专家交流中,张雪培教授对图迈®机器人术中各项性能嘉赞以诚、不吝赞美之词。他表示,自今年4月以来,在图迈®辅助下,个人以近40次高强度连台手术(最高肾部分切除手术6连台)的方式成功实施170余例高难度复杂泌尿外科手术,覆盖肾癌根治术合并下腔静脉取栓术、前列腺癌根治术、肾部分切除术、膀胱癌根治术+回肠代膀胱手术等一系列“天花板级”手术。在高强度、连续性临床应用中,图迈®机器人保持了非常出色的稳定性、精确性和有效性,操控体验非常好,即便在“肾癌根治合并下腔静脉取栓手术”连台中,各项手术操作也非常舒服。
张雪培教授同时指出,作为国产手术机器人快速迭代的亲历者,非常高兴看到国产品牌在短短几年时间即实现从“能用”到“好用”,再到医生“爱用”的跨越式发展。图迈®机器人临床性能已跻身国际领先行列,比肩进口品牌,其背后不仅是技术上的持续创新与突破,更得益于微创®机器人构建以“临床驱动-工程赋能-培训支撑-运维保障”为核心的完整闭环生态体系,这为图迈®等核心产品长期可持续发展提供了系统性保障。
▲微创®机器人展台备受瞩目
连续两台精彩远程手术成功实施极大激发了与会专家现场体验图迈®机器人的热情。会议期间,微创®机器人展台热闹非凡!众多专家在试驾后表示,“视野非常清晰立体,色彩还原度十分出色”、“基本感受不到延时”、“国产手术机器人和远程技术的推广应用极大提高了基层医院应对复杂手术的能力”。还有专家指出,图迈®已在全球范围成功实施数百例远程手术,甚至开创性地利用卫星通信的方式,将手术信号传递到没有5G覆盖的偏远地区,有望从根本上解决医疗资源分布不均的世界性难题,让医疗欠发达国家或身处基层的患者也能享受到顶级专家的手术服务,全球外科手术的生态与边界正在被“中国智慧手术方案”重塑。
往期推荐
+
+

