保健品 之TikTok"神速减肥药"内幕
又到了春暖花开的季节,也是许多人开始为了夏日身材而"操碎心"的时候。
但今天,我想跟大家聊一个严肃的话题——那些看似美好的"速效减肥神药",到底有多危险?

一个21岁女孩的悲惨经历
最近,一则来自越南的新闻让人触目惊心:一名21岁女孩在服用从TikTok购买的减肥药后陷入昏迷,被紧急送往河内白梅医院。
这名女孩此前身体健康,但为了追求快速瘦身的效果,她选择了这款声称能"七天减掉七公斤"的"神药"。
更要命的是,这款产品包装上全是外文,没有越南文说明,只有英文的夸张宣传语。

患者服用的两瓶减肥药。照片由家人提供
据她后来透露,她每天在空腹状态下服用一粒,一个多月内确实减掉了4-5公斤的体重。
然而,代价却是她的健康和生命。
医学检查结果触目惊心
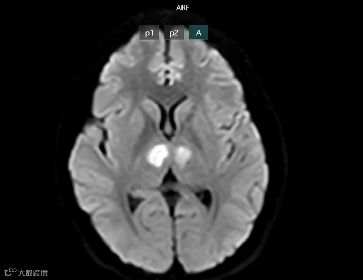
当这位年轻女孩被送入医院后,扫描结果显示她的丘脑两侧均受到了严重损伤。

X光片显示患者的大脑双侧丘脑受损。图片来源:白梅医院
这不是普通的副作用,而是足以改变一个人一生的伤害。
河内白梅医院毒物控制中心随即向国家食品控制部送检了这款减肥药。
检测结果证实,这款产品中含有"西布曲明"——一种曾经用于治疗肥胖症但现已被全球多国禁用的危险物质。

西布曲明分子式
专家解释:为什么西布曲明如此危险?
白梅医院毒物控制中心主任阮忠原博士解释道:"西布曲明虽然一度被广泛用于治疗肥胖症,但由于其风险大于益处,已被美国、欧洲和越南禁用。
大规模研究证实,该药会增加中风和严重心血管并发症的风险。"
他还特别强调:"西布曲明的分子结构与安非他明相似,因此极其危险。"
这意味着,它不仅会伤害你的心脏,还会像毒品一样伤害你的大脑。
实际上,越南药品管理局早在2010年就已禁止进口、分销和销售含有西布曲明的产品。
该物质目前被列为禁止在膳食补充剂和健康相关产品中使用的物质。
不只是这一例
更令人担忧的是,这已经不是第一个案例了。
阮博士透露,他们的毒物控制中心已经处理了多起与含有西布曲明的减肥补充剂和咖啡产品有关的中毒病例,一些患者出现昏迷、癫痫和永久性脑损伤。
除了西布曲明以外,那些不受监管的减肥产品还可能含有其他有害物质,如酚酞、高剂量咖啡因和辛弗林,这些物质都会对健康造成重大风险。
减肥,我们到底该怎么做?
面对这样的新闻,相信很多朋友都会反思:为了几斤体重,值得冒这样的风险吗?
如果你真的需要减肥,最好的方式是咨询专业医生,获得有关安全减肥的个性化建议。
而事实上,均衡饮食和增加体育锻炼仍然是最有效和最安全的减肥方法。
"七天减七公斤"这样的承诺听起来很诱人,但请记住,真正的健康不是靠"速成"得来的。
在这个信息爆炸的时代,我们更需要保持理性和警惕,尤其是当这些产品来自缺乏监管的社交媒体渠道时。
毕竟,健康的身材固然重要,但健康的生命才是无价之宝。


