
极市导读
相比较脑区域分割,医学图像中的心脏分割问题要更复杂,因为心脏是一个不停运作的器官,其形状也会在运动过程中发生变化。本文我们就来看看医学图像分割之心脏分割。 >>加入极市CV技术交流群,走在计算机视觉的最前沿
1 任务分析
心脏是我们身体内的一个重要器官,拥有一个健康、稳定工作的心脏是我们探索、创造和感知世界的必要条件。然而,各种各样的心脏类疾病也严重威胁着许多人的生命。为了有效治疗和预防这些疾病,精准计算、建模和分析整个心脏结构对于医学领域的研究和应用至关重要。
目前,这个问题的解决仍然需要依赖大量的人工。这样做不仅耗时,而且精度有时难以保证。因此,需要实现心脏区域的自动分割用于解决心脏医疗领域的实际问题。在众多手段中,基于神经网络的方法具有明显优势。以2016年Kaggle发起的左心室分割挑战为例,三名获奖者所使用的方法都是深度学习。
在心脏分割问题中,通常按结构将心脏分成几个标注区域。比如以MM-WHS数据库为例,有:
-
左心室血腔(the left ventricle blood cavity, LV)
-
左心室心肌(the myocardium of the left ventricle, Myo)
-
右心室血腔(the right ventricle blood cavity, RV)
-
左心房血腔(the left atrium blood cavity, LA)
-
右心房血腔(te right atrium blood cavity, RA)
-
升主动脉(the ascending aorta, AA)
-
肺动脉(the pulmonary artery, PA)
这些区域由于本身的特性,其难易程度和分割手段也存在不同。通常来讲,普适性的心脏分割算法能够实现基本的区域分割,但是要实现精准分割还是需要对单独区域进行单独处理。相对而言,右心室(RV)的分割难度更大,我们就以此为例分析一下其存在的难点。
2 难点介绍
1. 区域本身的困难
心脏分割问题中,每个区域的形态、工作方式不同,从而导致了每个区域的分割方法和难点也不同。以右心室为例,其存在的难点有:
-
在腔内存在与心肌相似的信号强度
-
右心室新月形形状复杂,从基部到顶点一直变化
-
分割顶点图像的切片十分困难
-
患者的心室内形态和信号强度差异大,且可能有病理改变
简单来讲,左心室是一个厚壁的圆柱形区域,而右心室是一个不规则形状的物体,较薄的心室壁有时会与周围的组织混在一起。
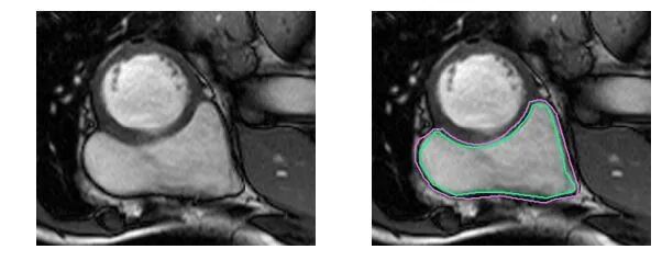
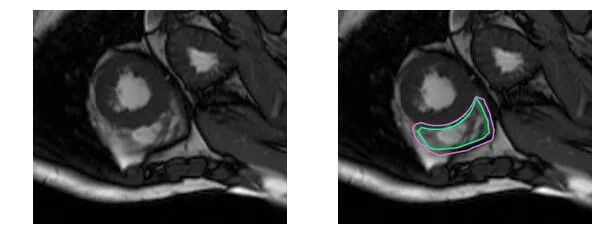
下面用几组图片来感受一下这种分割问题的困难。下图是右心室的MRI图片:
再困难一点:
而对于未训练过的肉眼,右心室区域是这样的:
2. 数据库的困难
对基于深度学习的医学图像分割方法而言,数据库的获取是最主要的困难。通常,相对大规模的数据库的图片规模在几千张图片,其中已标注的通常只有几百张,患者个体数就更少了;而小一点规模的数据集则远远小于这个数量。这种体量的数据库对于无监督或弱监督网络也许够用,但是对于有监督网络的训练而言,是远远不够的。
与其他数据不足的场景相同,医学图像也可以借助数据扩张实现网络的训练。比如下图所示,通过随机旋转、平移、缩放、裁剪、弹性形变等手段,对原始图像进行变换:
3 应用实例
1. 心室分割
基于FCN网络结构实现左、右心室分割:
Phi V. T.. A Fully Convolutional Neural Network for Cardiac Segmentation in Short-Axis MRI[C]. CVPR 2016.
基于多尺度残差稠密网络实现心室分割:
Khened M., Kollerathu V. A., and Krishnamurthi G. Fully Convolutional Multi-scale Residual DenseNets for Cardiac Segmentation and Automated Cardiac Diagnosis using Ensemble of Classifiers[J]. Medical Image Analysis, 2019.
2. 完整心脏分割
基于P3D和FPN实现完整的心脏分割:
Zhanwei X., Ziyi W., and Jianjiang F.. CFUN: Combining Faster R-CNN and U-net Network for Efficient Whole Heart Segmentation[C]. CVPR 2018.
总结
本文简要介绍了医学图像分割应用领域内的心脏分割,包括心室分割和全心脏分割。在进行任务分析和难点解读后,给出了几个应用范例。
公众号后台回复“数据集”获取30+深度学习数据集下载~
# CV技术社群邀请函 #
备注:姓名-学校/公司-研究方向-城市(如:小极-北大-目标检测-深圳)
即可申请加入极市目标检测/图像分割/工业检测/人脸/医学影像/3D/SLAM/自动驾驶/超分辨率/姿态估计/ReID/GAN/图像增强/OCR/视频理解等技术交流群
每月大咖直播分享、真实项目需求对接、求职内推、算法竞赛、干货资讯汇总、与 10000+来自港科大、北大、清华、中科院、CMU、腾讯、百度等名校名企视觉开发者互动交流~

