来源:康知了、新浪微博、骨今中外
编辑:KF姐
近日,因为“乘风破浪的姐姐”万茜出车祸和出门工作的时间间隔太短,而被网友质疑是“假骨折”,更有甚者戏称其为"医学奇迹"。
为回应网友质疑,8月17日万茜工作室放出一段万茜接受康复治疗的视频,解释了为何万茜能够在骨折后快速恢复功能,也让广大网友见证了术后早期康复介入“奇迹”。
视频最开始,万茜还不敢动手臂,一边上妆一边由康复治疗师测试神经损伤情况,开始接下来的针对性治疗。

从视频中看得出万茜的康复历程非常辛苦,康复治疗师每天都来固定为万茜做康复训练。

在公开的视频中,我们可以看到万茜的康复训练内容有单手上下擦墙壁,牵伸,举小哑铃、筋膜松解等等。




虽然我们一直在努力科普,但至今许多人仍保持着“伤筋动骨一百天”的理念,普遍觉得受伤之后需要静养。所以,许多对于康复治疗不了解的人,才会对万茜骨折后的快速恢复产生质疑。而大量的医学事实告诉我们,术后及时进行康复训练,恢复功能,才是正确的选择。
骨折后为何需要康复治疗?
骨折的治愈标准不仅仅是骨折断端的骨折愈合,还包括骨折处邻近关节、肌肉的功能恢复。很多骨折尤其关节周围的骨折,由于术后得不到及时和正确的康复指导和治疗,往往遗留骨折部位临近关节的功能障碍,导致关节粘连或僵硬,带来终身的不便和痛苦。
骨折治疗的原则是“复位、固定、功能锻炼”。
功能锻炼是骨科治疗的重要组成部分,是促进肢体活动、功能恢复、预防并发症的重要保证。
功能锻炼能够加速局部血液循环,加速周围软组织损伤的修复,防止肌肉萎缩,关节僵硬等并发症。
功能锻炼的原则:循序渐进、动静结合、主动和被动相结合;主动活动为主,被动活动为辅,必须强调患者的主观能动性。
早期阶段:
骨折后1~2周内,局部反应明显,肿胀;促进患肢血液循环,消除肿胀,防止肌萎缩。
功能锻炼:以患肢肌肉主动舒缩活动为主。
原则上:骨折上、下关节暂不活动。
中期阶段:
骨折3~6周,骨痂已逐步生成,骨折处已有纤维连接,日趋稳定。局部肿胀反应消失,骨折端已稳定,接近临床愈合。
功能锻炼:骨折上、下关节均可活动,活动的强度和范围逐渐增加,以防止肌萎缩和关节僵硬,必须限制不利于骨折连接和稳定的活动。
后期阶段:
骨折已达临床愈合标准,外固定已拆除。是功能锻炼的关键时期。
关节活动范围已逐渐恢复正常,主要通过肌肉和关节锻炼,逐步恢复肢体功能,对于活动功能存在不同程度障碍的关节和肌肉,需要针对性进行锻炼,早日恢复正常功能。
下面,我们将从上下肢骨折、髋关节置换、膝关节置换等几个方面讲解其术后功能锻炼方法。(附赠关节脱位功能锻炼方法)
上肢骨折包括:锁骨骨折、肱骨干骨折、尺桡骨骨折。
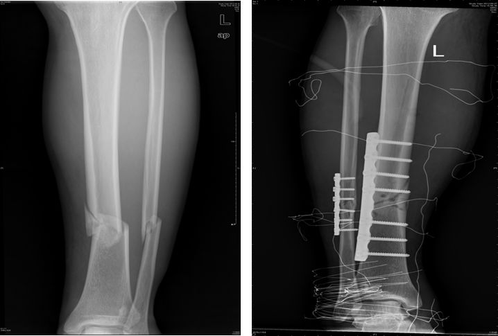
下肢骨折包括:股骨颈骨折、股骨干骨折、股骨粗隆间骨折、髌骨骨折、胫腓骨折。
上肢骨折
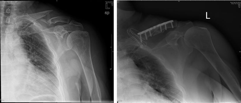
1、锁骨骨折

功能锻炼方法:
握拳、伸指、分指、腕屈伸、腕绕环、肘屈伸、前臂内外旋等主动练习,幅度尽量大,逐渐增加用力程度。

骨折后2周可增加捏小球,抗阻腕屈伸运动及被动或助力的肩外展、旋转运动等。

骨折后3周可增加抗阻的肘屈伸于前臂内外旋转;仰卧位,头与双肘支撑做挺胸练习。

骨折愈合解除外固定后,应开展全面练习肩关节活动练习:站立位上肢向患侧屈,做肩前后的摆动。

患肢上举爬肩梯,抗阻牵拉肩、肘屈伸练习。但在骨折2周内应避免做大幅度的肩内收与前屈练习。

2、肱骨干骨折

功能锻炼方法:
固定后即可做伸屈指、掌、腕关节活动,患肢做主动肌肉收缩活动。

肩、肘关节的活动:伤后2~4周除继续以上训练外,应逐渐做肩、肘关节活动,其方法是:将健手托住患肢腕部,做肩、肘前屈、后伸,然后屈曲肘关节,同时上臂后伸。

旋转肩关节:病人身体向患侧倾斜,肘关节屈曲90度以上,健手握住患侧手腕部,做肩关节旋转动作,即划圆圈动作。

外展、外旋运动:上臂外展、外旋,用手摸自己的头后部。

双臂轮转:患肢屈肘,前臂置于胸前,掌心向后、向上;健侧上肢伸直,外展于体侧,掌心向下。患肢向外上方经外下方再向内划弧圈,回至原处;同时健侧上肢向下经内上方向外划弧圈,回至原处。如此循环往复。此法可使肩、肘、腰、腿、颈部均可得到锻炼。以上锻炼方法每次15分钟,每天3~4次。

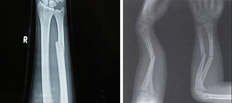
3、尺桡骨骨折

功能锻炼方法:
固定后即可做伸屈指、掌、腕关节活动,患肢做主动肌肉收缩活动。

肩、肘关节的活动同肱骨干骨折。骨折愈合后的锻炼:骨折愈合后,增加前臂旋转活动及用手推墙动作,使上、下骨折端产生纵轴挤压力。

下肢骨折
1、股骨颈骨折、股骨粗隆间骨折、股骨干骨折。
股骨颈骨折、股骨粗隆间骨折和股骨干骨折的功能锻炼方法相同,其中股骨粗隆间骨折的锻炼进程可适当加快。
功能锻炼方法:
骨折复位固定后即可早期做趾与踝关节的主动伸屈、旋转活动练习,股四头肌静止收缩,每天3~4次,每次10下。

术后第二周开始在保持股骨不旋转、不内收情况下做髋与膝关节主动屈伸活动。

3周后可主动做屈伸患肢练习,方法是坐在床边,小腿下垂,双脚踩地或脚蹬地,练习用双臂撑起上身和抬起臀部。

在骨折恢复期,术后1个月要加强髋、膝、踝部的肌力,以恢复行走能力,加强下肢的稳定性。主要方法是进行坐位与站位转换活动练习,以锻炼髋关节;踝关节主动屈伸、旋转活动,以及下蹲起立。

2、髌骨骨折

功能锻炼方法:
后早期疼痛稍减轻后,病人即可开始练习股四头肌静止收缩,髋、膝、踝、趾关节主动运动。


固定后3~5天可两腿直腿抬高和膝关节屈伸运动,扶拐进行患肢负重练习。


石膏固定的病人,4~8周可去除石膏,此时可做髌骨倾向被动活动,做主动屈膝活动练习,6~8周可负重行走。

3、胫腓骨骨折

功能锻炼方法:
外固定后早期,疼痛减轻即刻进行股四头肌静止收缩运动,髌骨被动活动及足部跖趾关节和趾间关节活动。
外固定去除后,伤口愈合,可充分练习下肢各个关节活动,并逐步去拐行走。
增加髋、膝、踝关节活动练习,可做起立与坐下练习,健肢站立,患肢做髋屈伸、内收。
髋关节置换
功能锻炼方法:
1、术后1~3天
屈伸踝关节:慢慢地将脚尖向上勾起,然后再向远伸,使脚面绷直。每隔1小时5~10次,每个动作持续3秒,手术后立即开始直到您完全康复。
转动踝关节:由内向外转动您的踝关节,每天3~4次,每次重复5遍。
健侧肢体练习:屈髋、屈膝收缩健侧下肢肌肉,每2小时练习1组,每组30次,每次持续10~15秒。

屈曲踝关节

转动踝关节
2、术后第4~7天
每天3~4次,每次重复一下三种练习方式10遍:
屈髋、膝关节练习:患者可以自主髋、膝关节屈伸,使您的脚跟滑向臀部,然后伸直,注意不要使膝关节向两侧摆动。
臀部收缩练习:平卧位使臀部肌肉紧绷保持5秒钟。
外展联系:平卧位伸直腿尽量向两侧分开,然后回收,注意不要完全并拢。
股四头肌收缩练习:保持您大腿前方肌肉绷紧,方法是向下压,尽量伸直膝关节,保持10~15秒钟,每隔10分钟练习10次,直到您感觉大腿肌肉有点疲劳为止。
直腿抬高练习:您的大腿前方肌肉绷紧,尽量伸直膝关节,抬高下肢(距离床面10cm),保持5~10秒,慢慢放下,重复练习,您会感觉大腿肌肉有点疲劳。
髋关节伸直练习:术侧髋关节主动伸直动作或髋下垫枕,这样可以伸展屈髋肌及关节囊前部。
3、术后第8~14天
(1) 如何下地
将助行器放在术侧腿旁,向床边移动身体。将术侧腿移动到床下,防止术侧髋外旋、内旋。健侧腿顺势移动到床下,将身体转正,扶助行器站立。
(2) 如何坐下
坐下之前做好准备,需要有靠背和扶手的椅子,加坐垫,缓慢倒退,看好位置,双手扶稳,再缓慢坐下。屈髋不能超过90度,要坐较高的椅子。
(3)站立练习
开始的时候你会感觉头晕,所以一定要有人在身旁协助,知道你有足够的力量自行站立。进行站立练习时,你一定要扶着床边或墙上的扶手,每天练习3~4次。
站立抬腿练习:双手握住扶手抬起你的患侧腿,注意抬腿时膝关节不要超过腰部,每次练习2~3遍。
站立后伸和外展练习:将患肢慢慢后伸,抬头挺胸,拉伸髋关节囊和屈髋肌群,注意保持上身直立,每次2~3遍,然后下肢伸直向外抬起慢慢回收,拉伸髋关节内收外展肌,每次2~3遍。
重复术后第4~7天的功能锻炼方法,每天3~4次。
此期病人可以正常饮食,体力逐渐恢复,伤口疼痛减轻,关节内积血和积液已经引出,引流管已经拔除,患肢肿胀逐渐消退,可以开始进行一些卧位髋关节活动,以恢复肌肉力量,逐渐增加髋关节的活动度。
(4) 如何用助步器迈步行走
先用助行器辅助行走,保持中心稳定,改用双侧腋杖。先将步行器摆在身体前20厘米处,先迈术侧腿,再将健侧腿跟上,如此循环。
开始时,每天3~4次,每次行走5~10分钟,待逐渐适应后,增加到每天2~3次,每次20~30分钟。完全康复后,你应该保持每天3~4次,每次行走20~30分钟,行走有助于您保持髋关节周围肌肉力量。
膝关节置换
功能锻炼方法:
1、术后第1~3天
股四头肌练习:绷紧您的大腿肌肉,尽量伸直膝关节,保持5~10秒钟。两分钟内做10次,休息1分钟再作同样的练习直到您感觉大腿肌肉有些疲劳。
直腿抬高:在床上伸直绷紧膝关节,稍稍抬高并保持5~10秒钟,慢慢放下直到您感觉大腿肌肉有些疲劳。

直腿抬高练习
屈伸踝关节:有节奏的屈伸您的踝关节,每隔1小时练习10次。
膝关节伸直练习:在脚跟下放置一小垫子保持脚跟不与床面接触。努力绷紧大腿肌肉并伸直膝关节,保持5~10秒钟。
2、术后第4~14天
此期的重点是恢复膝关节活动度,至少为0°~90°;其次是肌力恢复锻炼。
在床上屈伸膝关节:保持脚在床上滑动尽量屈曲膝关节。在最大屈曲位保持5~10秒钟,然后伸直膝关节。重复数次直到您感觉有些疲劳或是您的膝关节已经能够完全屈曲了。
坐位膝关节屈伸练习:
坐位膝关节屈伸练习①:坐在床旁或椅子上,小腿垂下。用健侧脚跟放在手术侧的脚背处,慢慢地尽量屈曲膝关节,在最大屈曲位时保持5~10秒钟。重复上述练习直到您感觉有些疲劳或是您的膝关节已经能够完全屈曲了。
坐位膝关节屈伸练习②:坐在床旁或椅子上,小腿垂下。慢慢地尽量屈曲膝关节,直到脚放在地板上。然后使您的上身前倾以增加膝关节的屈曲角度,保持5~10秒钟,完全伸直膝关节。
术后尽快下地活动有助于康复:
1、下蹲练习:尽量下蹲,同时脚跟不要离地,坚持5~10秒后慢慢站起。

2、站立位屈膝练习:借助助行器或双拐平稳站立,尽量屈髋、屈膝,然后保持5~10秒钟,伸直膝关节。重复练习直到感觉有些疲劳。
肩、肘关节脱位功能锻炼方法
▼
肩关节脱位 :
即日开始在胸前固定位做指、腕、肘关节的主动练习,每个动作重复5~6次,可每天增加抗阻练习和在悬吊带内做肩前屈、内收和内旋的摆动练习,即病人用健侧肢体缓慢推动患肢做外展与内收活动,活动范围以不引起患肩疼痛为限。
去除悬吊带后:①肩外展、后伸和外旋的主动运动练习,动作应缓慢、柔和,幅度逐渐扩大;②肩前屈、内收、内旋的练习。


3周后病人可进行弯腰、垂臂、甩肩锻炼,即病人弯腰90度,患肢自然下垂,以肩为顶点作圆锥形环转运动,开始范围小,逐渐扩大划环的范围。

4周后病人可作手指爬墙和手高举摸头顶锻炼。即病人面对或健侧身体对墙而立,患手摸墙,用手指交替上爬直至肩关节上举完全正常。手高举摸头顶是指患侧手摸头顶后逐渐向对侧移动,患侧手越过头顶触到对侧耳朵,或锻炼用患手触摸对侧肩胛骨,使肩关节功能完全恢复正常。


肘关节脱位:
固定期间可做伸指、握拳等锻炼,同时在外固定保护下做肩、腕关节的活动。
外固定去除后,练习肘关节的屈伸活动,增强肘关节周围肌力。可利用握小球帮助锻炼。



