
其实很多男性朋友希望自己能够有个健康的古铜色皮肤,美其名曰,“生态美”因此在之前的一段时间,日光浴风靡了全世界。
但是阳光中大量的紫外线会对皮肤造成一定的损伤,加重皮肤光老化,使皮肤出现粗糙,干燥和皱纹,甚至会诱发皮肤良性或者恶性肿瘤。
目前在医学上对皮肤光老化的治疗还不够成熟,探索新的、天然的、绿色的、有效的晒后修复产品的意义重大。
表没食子儿茶素没食子酸酯(EGCG)具有很强的抗肿瘤抗氧化的生理活性,可以作为一种天然的、健康、有效的产品。
紫外线的辐照改变了皮肤的生理学过程,提高了基质金属蛋白酶(NMP)的表达,降低了原胶原蛋白的合成,并且增加了结缔组织的损伤。
紫外诱导的NMP的表达是通过特定的信号通路来完成的。
紫外线辐照可以激发细胞表面的一些受体分子,如表皮生长因子受体(EGFR),EGFR 的激活可以引发细胞内促分裂原激活蛋白酶(MAPK)信号通路,磷脂酰肌醇三激酶(PI3K)信号通路,蛋白激酶C的激活。
这些蛋白又会提高激活蛋白(AP-1)的表达,AP-1对NMP的转录具有重要的调节作用,并由此引发皮肤状态的改变。
NMP-1是人体中导致Ⅰ型和Ⅲ型胶原蛋白降解的主要物质,因此,通过抑制NMP-1的表达来环节建原蛋白降解带来的不平衡状态,为治疗皮肤光损伤提供一种潜在的可能。
有研究表明,EGCG通过抑制细胞外信号调节激酶(ERK)的磷酸化,下调NMP-2和NMP-9的表达,明显上调p53和p21,并最终通过Caspase-3途径有道鼻咽癌细胞凋亡。
在浓度为0.1~1μmol/L时,EGCG就能够通过降低NF-κB活性、降低Caspase-1的表达,抑制黑素瘤细胞的生长。EGCG还能够显著降低磷酸化p38MAPK的表达,降低NMP-9的表达和活性。
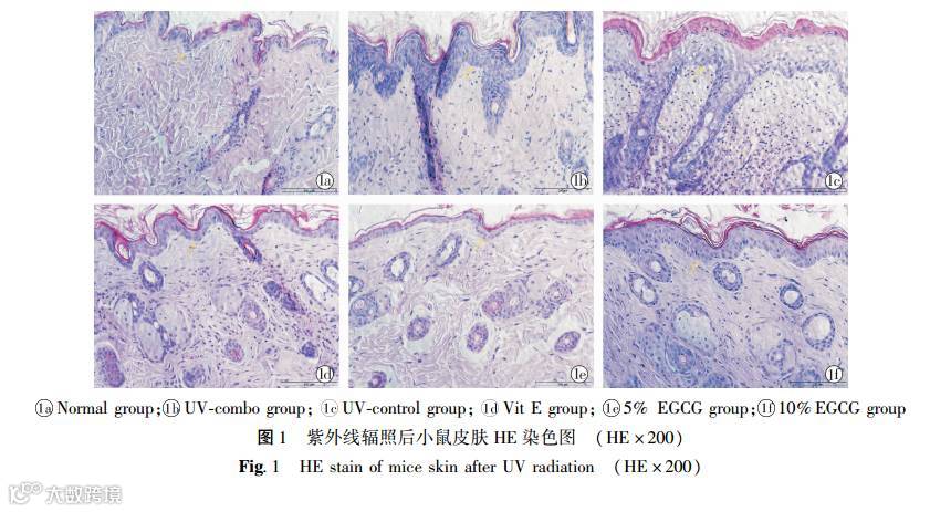
我们将36只雄性BALB/c小鼠随机分为6组,用UVA、UVB紫外灯管照射小鼠背部脱毛后的皮肤,诱导皮肤损伤建立模型。
在当天照射后半小时至内进行相应的药物涂抹,最后一次照射结束后24h取小鼠背部皮肤,组织病理学切片染色后显微镜下观察期组织形态变化;氧化还原试剂盒测定氧化应激程度;蛋白免疫印迹法检测凋亡蛋白表达量;






实验结果表明:
5%EGCG组和10%EGCG组模型组相比,小鼠皮肤状态明显改善,干燥、红肿状态减轻,皮肤组织中胶原蛋白含量高于模型组,氧化应激反应低于模型组,凋亡蛋白表达量低于模型组,差异均有统计学意义(P<0.05)。
证明EGCG可以在紫外线损伤后的皮肤中发挥抗氧化的作用,抑制皮肤脂质过氧化的发生,并通过下调皮肤组织中凋亡蛋白的含量减缓皮肤细胞的凋亡,达到保护皮肤的作用。
信息来源:
李彤《表没食子儿茶素没食子酸酯对紫外线损伤小鼠皮肤的保护作用》
【往期推荐】
更多精彩内容,回复关键字获取!
美白丨防腐丨彩妆丨防晒丨沐浴露
保湿丨天然丨抗衰老丨抗菌丨抗敏
激素丨皂基丨祛斑丨表面活性剂
配方丨工艺丨洗发丨香精丨祛痘
去屑丨行业观点丨行业动态
找原料网动态

点击“阅读原文”,进入团购!

