走过路过,不要错过这个公众号哦!
作者介绍
小刘牌,理工女,白羊座,做事冲动,为人慷慨,常常十分随性,恩怨转头就忘。常年混迹于上海东北角,自认为是个“上得了厅堂,下得了厨房,写的了文章,做的了配方”的现代好姑娘。
关于白发的一些资料已经躺在电脑里很久了,一直没想着动笔来写。主要原因是
懒
最近突然想写了,而且还是连载,应该很容易从题目上就可以看出来。当然原因只有一个:
我变勤劳了
哈哈哈哈,怎么可能!
两个诱因吧。
一是某天和同事Yi一起吃饭的时候,年轻貌美皮肤Q弹少女气息的单身海龟常春藤90后女硕士Yi指着我的头顶说,你怎么有这么多白发?
我对着镜子一看,差点气死。几根白发桀骜不驯的立在头顶,风吹不倒,日晒不歪。
可是写一篇关于白发的帖子,也不能把白头发写黑。如果写帖子可以心想事成,把写的内容从身体上移除,相信我,我第一个要写的是,脂肪!
(Ps:此处为什么有这么多形容词来形容一个“普通同事”?我默默的看了看脖子上架着的刀。
我曾经苦口婆心的说:你如果想红,你应该找一个粗的大腿抱。
她说:你大腿就挺粗啊,physically.)
二是,这周听了同事的一个关于白发的PPT,才想起来尘封的那些资料。收集的资料更全一些,后续还会写为什么白头发长得快,白头发长出来怎么办等等等等。
刚好找原料网的潇哥上周找我希望我写一篇关于白发的科普文,于是。。。。。。
希望我的懒癌快点治好。
言归正传
首先,头发为什么会有颜色?
头发含两种黑色素,真黑色素和类黑色素。
真黑色素(eumelanin)呈现黑色和棕色,而类黑色素(Pheomelanin)呈现红色和黄色。真黑色素的多少决定了你头发颜色的深浅,而类黑色素的多少决定了头发的色调。
不同人种的头发里,真黑色素和类黑色素的数量不一样,这样就出现了金发碧眼的高加索人,黑头发的亚洲人以及红色,白金色,浅棕色等等不同的发色。
在头发的生长过程中,位于毛球部位的黑素细胞产生黑色素,之后在角化细胞分化和生物合成过程中,黑色素通过吞噬作用进入皮质细胞。头发就呈现颜色。
角化细胞负责长头发,黑素细胞负责长黑色素,两者相敬如宾,协同合作,整个头发生长的过程才有条不紊的进行下去。
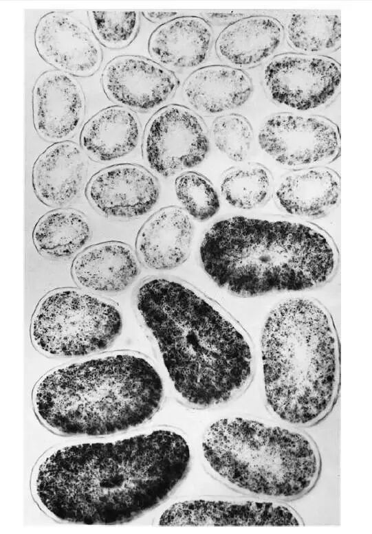
下图是头发的横切面的光学显微镜照片,颜色深的说明黑色素含量高,颜色浅的黑色素含量少。
同时我们很容易从这张照片上看出来,黑色素是存在在皮质层的,最外层的角质层是没有黑色素的存在的。
其次,为什么头发会变白?
简单来说,头发变白,是因为头发里面的黑色素没有了。
全文终。
(此处应该有臭鸡蛋,烂番茄,白菜梆子。。。)
好吧,我们继续。。。。。。
好好的头发,怎么黑色素说没就没了呢?
蓝宝书上说,头发生长期的时候,黑素细胞变少啦,头发就变白了。变白的生物化学机理,目前还不是十分的清楚。
然而,目前有两种解释。
一种是说,角化细胞比黑素细胞的寿命更长。
当角化细胞还在分化长头发的时候,黑素细胞不能生成黑色素了,或者长出来的黑色素没有以前那么多了,这样新长出来的头发就缺少黑色素,颜色会比以前的浅,甚至完全是白色。
同时,研究人员发现,随着年龄的增长,黑素细胞的寿命会更缩短,因此产生黑色素的能力也下降。这就是为什么,随着年龄的增长,白头发开始慢慢的出现。
另外一种解释是,人体在新陈代谢过程中会产生过氧化氢,而与之对应的人体也会分泌过氧化氢酶来分解过氧化氢。
过氧化氢除了使人变老外,还可以分解黑色素。染发中常用的2剂,就含有过氧化氢,在染发过程中起到分解黑色素的作用。
当人体处于一个平衡状态的时候,产生的过氧化氢被过氧化氢酶分解,因此并没有多余的过氧化氢来分解黑色素。
但是随着年龄的增长,体内产生过氧化氢酶的能力越来越弱,但是过氧化氢还是在源源不断地产生。因此,过量的过氧化氢就跑去分解黑色素去了。
除了年龄之外,压力,睡眠,生活不规律等都有可能导致体内产生过多的过氧化氢。当过氧化氢的量超出了体内过氧化氢酶能分解的能力的时候,过量的过氧化氢就又去分解黑色素了。
早在若干年前,苏轼就摇着扇子感叹道:
”遥想公瑾当年,小乔初嫁了,雄姿英发。
羽扇纶巾,谈笑间,樯橹灰飞烟灭。
故国神游,多情应笑我,早生华发。“
此处多情,不是说风流倜傥,四处留香,而是指多愁善感。当时苏轼郁郁不得志,重游三国战场,发出了怀才不遇,壮士暮年的感慨。
但是有个无法解释的地方。人体无论什么部位,都会产生过氧化氢和过氧化氢酶。如果说,年龄增大,过量的过氧化氢会将黑色素分解,从而产生白发。为什么过量的过氧化氢不能把我皮肤中的黑色素分解,使我皮肤随着年龄的增长而越来越白呢?
欢迎大家多多查找文献来解答这个问题。
另一方面讲,发白很大程度是由基因决定的。而且大量的调研数据发现,你长白头发的年纪,会和你的父母,祖父母长白头发的年纪接近。
小刘的姥姥,在五十岁左右就满头银发了,每每想到这里,我就好担忧。
抛砖引玉,这是第一篇。后续还会推出,为什么白头发长那么快,一夜白头是真实的还是传说?有没有逆转白发的方法?白头发适合什么样的染发膏?
敬请期待~
【中国好原料】是由找原料网主办,并联手Intertek天祥集团共同打造的行业项目,旨在挖掘一批优质的国产品牌原料,分享给行业朋友,并通过找原料网国际站推向国际,实现日化行业的“created in China”。
在多方支持下,《中国好原料》项目已进入报名阶段,并将于12月16日举行隆重的“启动大会”,在此诚邀行业朋友共同见证行业又一盛况的开启,扫码即可报名参与大会哟~


