好多人都知道牛羊有肝吸虫病,但你知道人也可以有肝吸虫吗?
55岁的谢师傅四川人,在杭州打工十余年,去年年底因父亲病故回老家小住了一段时间。今年春节回杭州后出现食欲不振和乏力,起初还伴有不明原因的轻度腹痛、腹泻。4个月过去了,他一直以为是心情郁闷所致,
直到出现了三天的畏寒、发热才到医院就诊。
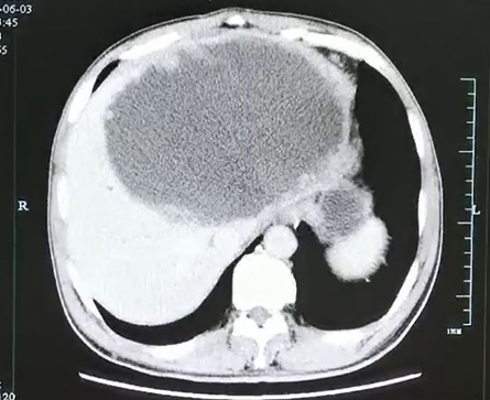
谢师傅的CT结果 杭州市一医院供图
入院后腹部CT检查发现肝脓肿壁上长了很多肿瘤样的结构,而且壁很厚。看来这个肝脓肿不简单。
为了让脓球变小,进一步追查“元凶”,医生在超声指引下给谢师傅做了脓球的穿刺引流。结果大量的灰白色脓液被顺利引出,但是经过一系列的检查后,却没有发现细菌、真菌、结核和恶性肿瘤的“踪迹”。谢师傅到底得了什么病呢?
经过三周的引流和保守治疗,复查增强CT发现谢师傅左肝的脓肿小了一大半,但是肝脓肿厚壁及厚壁上的很多肿瘤样组织没有变化,引流管里引流出来的液体开始减少,而且脓腔也不再进一步缩小,显示出这个脓肿很难自愈。经过肝胆外科、感染科、影像科等多学科会诊及讨论后,医生果断地为患者进行了手术将左半肝切除,完整地拿掉了这个迷雾重重的病灶。
谁都没有想到,病理显示脓肿壁上大量的肿瘤样结构竟然是肉芽肿性炎性肿块,里面甚至还爬满了灯泡状、壳厚的华支睾吸虫虫卵,脓肿内多得数不清,看得人头皮发麻。
华支睾吸虫
又称肝吸虫,是我国感染率最高的寄生虫之一,它可以寄生在人体的肝胆系统,产生毒素和一些分泌物,损伤肝细胞、胆管上皮细胞,引起肝脏反复的炎症、器官衰竭等症状,可能发展为肝硬化,严重时可能导致肝癌。
谢师傅的体内
为什么会有这么多虫卵?
术后,谢师傅回忆起自己回老家时,买过当地的鱼做了一次酸菜鱼。“为了追求鲜嫩的口感,鱼片我只用热水氽了几十秒就吃了。”谢师傅说,他们当地有生吃或半生吃鱼片的习惯,当地人称之为“鱼生”。
真相大白了,肝吸虫虫卵喜欢躲在淡水鱼虾等水产品体内,当人们吃了卫生不达标的生鱼片或未熟透的鱼虾等食物时,它就会随之悄悄潜伏进人体。“一旦鱼被肝吸虫感染,吃了生鱼片之后人随即也会感染。”医生告诉谢师傅。
“此虫繁殖力惊人,每次可产1400到2000个卵,而且可存活20到30年。”医生说,如果置之不理,它们不仅会在肝内安家,而且会靠肝“吃”肝。“但是由于近年来各地的卫生状况和人们的生活习惯越来越好,现在我们已经很少能见到此类病人了。”


