点击蓝字 关注我们
基因编辑技术自CRISPR-Cas9问世以来,彻底改变了生命科学的研究与治疗范式。从罕见病根治到癌症免疫治疗,这把“分子剪刀”的潜力无限,却始终面临一个关键瓶颈——尺寸过大。传统的SpCas9蛋白(约1,368个氨基酸)难以通过单载体腺相关病毒(AAV)递送,而AAV作为临床最常用的基因治疗载体,其装载上限仅为约4.7 kb。这一矛盾迫使科学家在“功能”与“递送”之间艰难取舍。
2025年5月,发表于Nature Biotechnology期刊的一项突破性研究Evolution-guided protein design of IscB for persistent epigenome editing in vivo为这一困境提供了全新解法:通过进化引导的蛋白质设计,将CRISPR的“远古祖先”IscB改造成高效、精准且足够紧凑的基因编辑工具。张锋团队结合自然多样性筛选、深度学习结构预测与理性设计,成功开发出新型核酸酶NovalscB及其表观编辑系统OMEGAoff。这一成果不仅将基因编辑工具的尺寸压缩至AAV单载体兼容范围,更实现了体内持久的表观基因组调控,为遗传病、代谢疾病甚至癌症的临床治疗开辟了新路径。
1
自然多样性筛选揭示IscB进化潜力,
OruflscB成活性标杆
研究团队首先通过系统发育分析筛选出144个IscB自然变体及6个II-D型Cas9,利用AlphaFold2预测其结构特征(如REC结构域插入、RNA结合基序),并通过体外转录翻译(IVTT)系统评估其靶标相邻基序(TAM)偏好性。活性候选蛋白进一步在人类HEK293FT细胞中测试,使用包含12个20 nt导向RNA(靶向不同基因组位点)的混合文库进行转染,通过高通量测序(NGS)量化插入缺失(indel)效率。有效导向长度通过逐步缩短导向RNA(12-28 nt)并结合体外切割实验确定,同时基于冷冻电镜(Cryo-EM)结构解析OruflscB与RNA-DNA复合物的相互作用。
🔹 实验结果
IscB与Cas9的结构对比:
▫ IscB(~400-550 aa)体积仅为SpCas9(1,368 aa)的30%-40%,但RNA-DNA异源双链结合区域短(13 bp vs. 17-20 bp)。
▫ IscB的开放R-loop结构适配无DNA断裂的应用(如碱基编辑),而Cas9依赖REC结构域稳定长链配对。
自然变体筛选:
▫ 144个IscB中,10个(包括OruflscB)在人类细胞中显示可检测的编辑活性;
▫ OruflscB(492 aa)活性最高,平均indel效率达8%(较此前最优OgeulscB提升5-10倍),偏好NTAAA TAM。
有效导向长度分析:
▫ OruflscB在体外支持13-15 nt导向RNA的切割,而SpCas9需至少16 nt;
▫ 冷冻电镜显示OruflscB仅稳定结合RNA-DNA双链的前14 bp,提示短导向长度限制其特异性。
2
进化引导的蛋白质工程实现IscB性能跃迁
研究团队通过AlphaFold2结构预测和系统发育分析,筛选出与OruflscB兼容的II-D型Cas9 REC结构域(如NbaCas9-1),将其插入OruflscB的桥螺旋与RuvC-II区域,构建嵌合蛋白OruflscB-REC。通过体外切割实验验证其活性后,进一步引入理性设计的点突变(E137K、E409R、IS33K)和REC结构域循环交换(如NbaCas9-2的Loop 49),生成优化变体NovalscB。编辑效率通过HEK293FT细胞转染(靶向多个基因组位点)和体外切割实验(不同导向RNA长度)量化,特异性通过TTISS(Tagmentation-based Tag Insertion Site Sequencing)全基因组脱靶检测评估。冷冻电镜(Cryo-EM)解析NovalscB与RNA-DNA复合物的高分辨率结构,验证REC结构域与异源双链的相互作用。
🔹 实验结果
REC结构域插入提升性能:
▫ OruflscB-REC的有效导向长度从14 bp延长至16 bp,体外切割活性提升20倍。
▫ 在HEK293FT细胞中,20 nt导向RNA的indel效率达25%(较野生型OruflscB提升15倍)。
循环交换与点突变强化功能:
▫ 引入NbaCas9-2的Loop 49后,NovalscB的有效导向长度达20 bp,与SpCas9相当;
▫ 三重突变(E137K/E409R/IS33K)使indel效率进一步升至40%,接近SpCas9的80%。
特异性优化:
▫ TTISS显示NovalscB的脱靶率仅14.3%,与SpCas9(10.2%)相当,显著低于其他微型编辑器(如AsCas12f-YHAM的30%);
▫ 短导向RNA(14 nt)活性被抑制99%,降低非特异性切割风险。
结构验证:
▫ 冷冻电镜(2.72 Å)揭示NovalscB的REC结构域通过疏水作用稳定RNA-DNA双链(延伸至20 bp);
▫ HNH催化中心采用独特的组氨酸簇-镁离子配位模式,与Cas9的Asp/Asn机制不同。
3
NovalscB高效精准编辑性能获多维度验证
研究团队在HEK293FT细胞中系统评估了NovalscB与其他基因编辑工具(包括enOgeulscB、elscB、AsCas12f-YHAM和SpCas9)的活性与特异性。通过Lipofectamine 3000转染质粒(100 ng蛋白表达质粒+100 ng ωRNA/sgRNA质粒),靶向多个基因组位点(如HPRT1、DYNC1H1、EMX1),72小时后提取基因组DNA并通过PCR扩增靶区域,利用高通量测序(NGS)计算插入缺失(indel)效率。特异性通过TTISS(Tagmentation-based Tag Insertion Site Sequencing)全基因组脱靶检测分析,允许最多7个错配的潜在脱靶位点筛选,并通过靶向测序验证关键脱靶位点。
🔹 实验结果
编辑效率对比:
▫ NovalscB在人类细胞中平均indel效率达40%,接近SpCas9(80%),显著高于其他微型编辑器:1.6-5.3倍于elscB(NWRGNA TAM靶点);8.1-61.3倍于AsCas12f-YHAM(相同靶点)。
▫ 在DYNC1H1和HPRT1靶点,NovalscB效率分别达34.2%和38.7%,而enOgeulscB仅为12.1%和9.8%。
特异性优势:
▫ TTISS分析显示,NovalscB的脱靶率仅14.3%(平均4个靶点),与SpCas9(10.2%)相当,显著低于:enOgeulscB(29.5%);elscB(31.8%)。
▫ 在HPRT1靶点,NovalscB仅检测到6个脱靶位点,而OruflscB-REC和野生型OruflscB分别有13个和10个。
靶点兼容性:
▫ NovalscB对NTAAA TAM高度特异,在ATAAA和TTAAA变体中仍保持>80%活性;
▫ enOgeulscB依赖G碱基作为TAM第四位点(NWRGNA),靶点选择受限。
脱靶序列特征:
▫ NovalscB的脱靶位点多集中于TAM近端错配(1-3 bp),而长导向RNA(20 nt)有效抑制远端错配切割;
▫ 对比实验中,NovalscB在DYNC1H1靶点未检测到非预期染色体断裂。
4
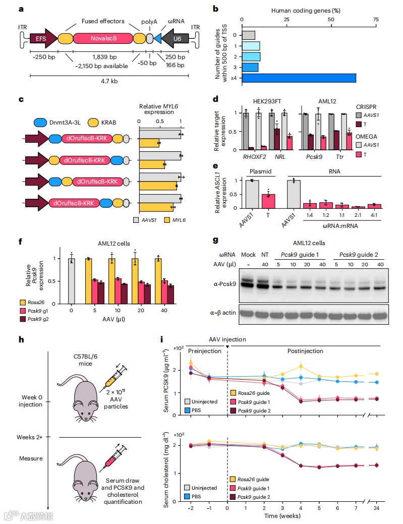
OMEGAoff单载体递送实现持久基因沉默与代谢调控
研究团队将催化失活的NovalscB(dNovalscB)与Dnmt3A-3L甲基转移酶及KRAB转录抑制域融合,构建表观编辑系统OMEGAoff,并通过单AAV载体(AAV8血清型)递送至小鼠肝脏。体外实验中,使用AML12小鼠肝细胞系进行AAV感染(剂量:5-40 μl病毒液),通过RT-qPCR检测靶基因(如PCSK9)mRNA表达,Western blot分析蛋白水平;体内实验中,C57BL/6小鼠静脉注射AAV(2×10<sup>11</sup>病毒颗粒/只),定期采集血清检测PCSK9(ELISA)和总胆固醇(Amplex Red法),并通过肝脏组织RNA-seq评估脱靶效应。安全性通过血清总胆红素和ALT活性(比色法)检测验证。
🔹 实验结果
体外基因沉默效果:
▫ AML12细胞中,OMEGAoff靶向PCSK9启动子后,mRNA表达降低50%-70%(RT-qPCR),成熟PCSK9蛋白水平下降60%-80%(Western blot);
▫ 低剂量AAV(5 μl)即可实现显著抑制,高剂量(40 μl)未进一步增效,提示剂量饱和效应。
体内持久代谢调控:
▫ 单次AAV注射后,小鼠血清PCSK9水平在3周内下降65%,并维持低水平至实验终点(6个月);
▫ 总胆固醇水平同步降低30%(从180 mg/dL降至126 mg/dL),与临床PCSK9抗体疗效相当。
高特异性验证:
▫ RNA-seq显示,OMEGAoff靶向CLTA和CALDI基因时,仅2-3个非靶基因表达差异(|log2FC|>1),且与疾病通路无关;
▫ 对照实验(Rosa26靶向)未检测到显著基因表达变化。
安全性评估:
▫ 血清总胆红素(0.2-0.3 mg/dL)和ALT活性(25-30 U/L)与对照组无差异,表明无肝毒性;
▫ 组织病理学分析显示肝脏结构正常,无炎症或纤维化迹象。
5
总结
本研究通过进化引导的蛋白质设计策略,成功开发了紧凑型RNA引导核酸酶NovalscB及其表观编辑系统OMEGAoff,系统性解决了基因编辑工具在递送效率与功能复杂性之间的核心矛盾。NovalscB凭借614个氨基酸的微型化尺寸与20 bp有效导向长度,实现了与SpCas9相当的编辑效率(40% indels)及特异性(14.3%脱靶率),同时兼容单AAV载体递送,为中枢神经系统疾病及实体瘤的靶向治疗提供了新范式。OMEGAoff进一步通过DNA甲基化与染色质重塑机制,在小鼠模型中实现了PCSK9基因的持久沉默(>6个月)及血脂代谢调控,且未观察到肝毒性或基因组异常,凸显其临床转化潜力。
未来研究将聚焦于扩展TAM兼容性、开发碱基编辑衍生工具,以及非人灵长类模型中的长期安全性验证,推动该技术向遗传病、代谢疾病及癌症免疫治疗的临床应用迈进。此项工作为蛋白质理性设计提供了跨学科方法论参考,标志着基因编辑技术向高效、精准、可递送性协同优化的新阶段。
关于舒桐
如需获得更多信息,请咨询我们:
电话:
400-6309596
15022705442、18437963580(同微信)
企业官网:
http://www.generulor.com
产品订购/技术支持:
service@generulor.com

