点击蓝字
点击蓝字
近年来,CRISPR/Cas9技术以其可编程、高效、特异的基因编辑能力,成为功能基因组学研究的革命性工具。其中,CRISPR筛选——特别是以文库形式进行的高通量正向或负向筛选,正在广泛应用于探索疾病发生发展的关键调控因子。
随着单细胞组学、空间转录组等多维技术的成熟,CRISPR筛选不再局限于体外单细胞系模型,更发展出适用于体内复杂环境的筛选策略,如原位CRISPR筛选、类器官筛选和肿瘤微环境相关筛选。特别是在肿瘤免疫领域,CRISPR体内筛选正被广泛应用于揭示免疫逃逸机制、免疫细胞分化通路、耐药发生的信号节点等,推动癌症精准治疗从“命中目标”迈向“调控系统”。
当前CRISPR筛选的主流应用方向包括:
正向筛选用于识别抗药、抗凋亡或促进转移的关键因子;
负向筛选广泛用于寻找合成致死靶点及毒性调控基因;
化合物协同筛查用于药物敏感靶点发现;
功能互作筛选探索通路网络间的调控节点。
近期发表于Cell Metabolism期刊的一项研究Xylulose 5-phosphate fosters sustained antitumor activity of progenitor-like exhausted SLC35E2+ CD8+ T effector cells运用代谢酶CRISPR文库,结合小鼠肿瘤转移模型,系统筛选出代谢酶XYLB这一具有“免疫调控型抗转移功能”的新因子。研究发现其代谢产物Xu5P能够增强T细胞干细胞样亚群(TPEX)的功能,提升抗肿瘤免疫力,并重塑肿瘤免疫微环境。这一“代谢-免疫”串联机制展示了代谢物作为免疫调节剂的潜力,也为未来饮食干预与免疫治疗协同策略提供了理论基础。
01
CRISPR筛选识别免疫依赖性抗转移基因
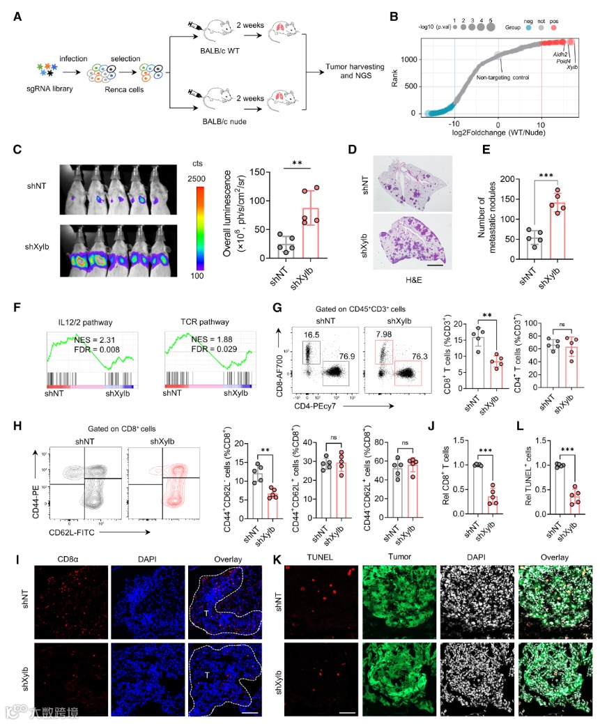
研究人员首先构建了覆盖1516个代谢相关基因、共4628条sgRNA的CRISPR敲除文库,感染Renca-Luc肾癌细胞,低MOI条件下筛选稳定表达后注入BALB/c和裸鼠体内建立肺转移模型。两周后回收肺组织,提取DNA并进行sgRNA测序分析,比较免疫正常与缺陷小鼠中sgRNA的富集差异,筛选出影响免疫相关转移的关键基因。
实验结论:
XYLB敲除后肺转移负担显著增加;
体外细胞增殖与迁移能力无显著变化;
XYLB缺失降低CD8⁺ T细胞浸润与活化状态;
在免疫缺陷小鼠中XYLB缺失无转移促进效应。
02
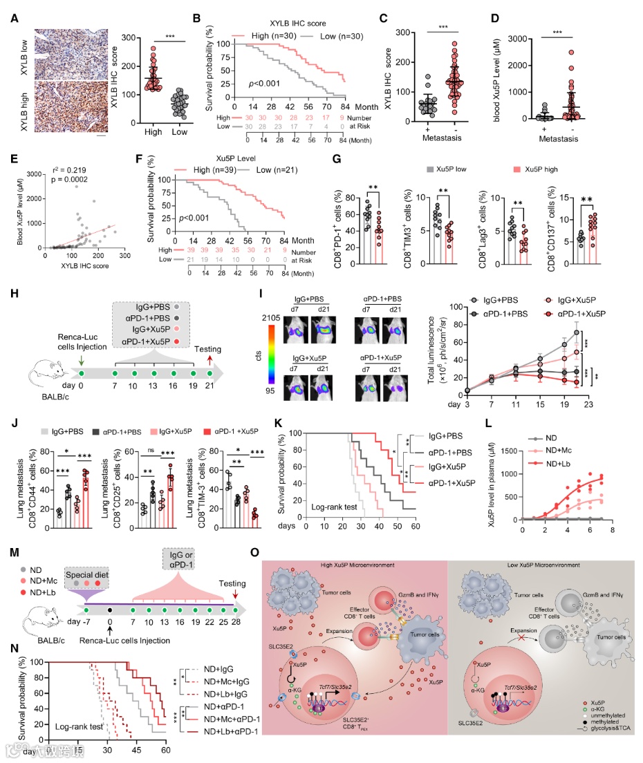
Xu5P功能验证与转运机制
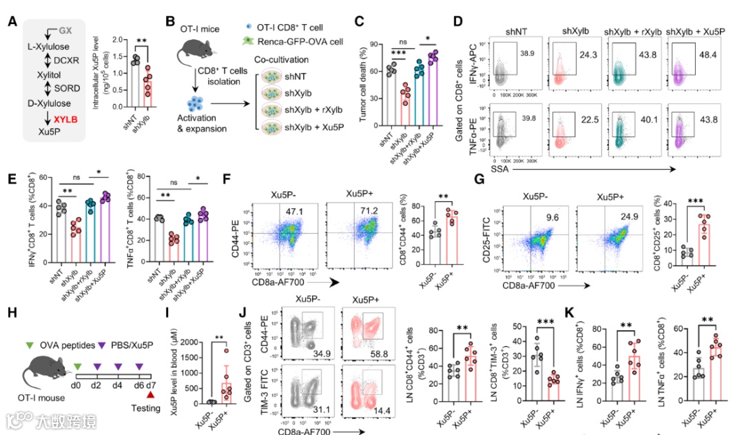
在Renca细胞中过表达XYLB并进行代谢组学分析,发现其产物Xu5P显著上升。体外在CD8⁺ T细胞激活过程中补充Xu5P,分析其对激活分子和效应因子表达的影响;同时,通过尾静脉注射Xu5P评估其在小鼠肺转移模型中的免疫增强效应。构建膜转运蛋白靶向小文库并联合摄取实验,确定SLC35E2为Xu5P依赖的关键转运蛋白。
实验结论:
XYLB过表达显著提升Xu5P水平;
Xu5P促进CD8⁺ T细胞激活与细胞毒性分子表达;
Xu5P处理可在小鼠体内抑制肿瘤转移;
SLC35E2为Xu5P的T细胞跨膜转运蛋白(图3C–G);
敲除SLC35E2可削弱Xu5P的功能效应(图3H–L)。
03
Xu5P维持TPEX表型的机制
通过scRNA-seq对Xu5P处理后的TILs进行分析,识别Tcf7⁺、PD-1⁺、Slamf6⁺ TPEX细胞亚群频率变化。检测α-KG代谢物水平和TET酶活性,并分析Tcf7启动子的DNA甲基化状态。进一步通过TET3基因敲除,验证Xu5P激活TPEX亚群依赖TET3介导的去甲基化调控路径。
实验结论:
Xu5P增加Tcf7⁺、PD-1⁺、Slamf6⁺ TPEX亚群频率;
Xu5P处理提升α-KG水平,增强TET3活性(图6B–F);
Tcf7启动子去甲基化增加,维持其表达(图6G–I);
TET3缺失或α-KG抑制剂阻断后Xu5P功能被削弱(图6J–M)。
04
Xu5P协同免疫治疗与营养干预验证
在多种小鼠瘤模型中分别给予Xu5P与PD-1抗体联合治疗,检测抗肿瘤反应及T细胞功能状态。采用富含Xu5P的天然植物饮食干预,评估其对血中代谢水平与免疫表型的影响。构建CD19 CAR-T细胞并在扩增过程中补充Xu5P,测试其对T细胞激活、增殖及在体内抗瘤活性的调节效果。
实验结论:
Xu5P联合PD-1抗体显著增强抗肿瘤效果(图7B–F);
百合和苦瓜等Xu5P天然来源提高T细胞状态与治疗反应(图7H–I);
Xu5P预处理可增强CAR-T细胞的抗瘤活性(图7L–N)。
05
总结
综上,该研究从代谢-免疫交叉调控出发,结合体内CRISPR筛选与多组学机制解析,明确了代谢酶XYLB通过产物Xu5P重塑CD8⁺ T细胞干细胞样亚群(TPEX)的机制,揭示了Xu5P介导的α-KG–TET3–Tcf7轴在T细胞命运维持中的关键作用。研究进一步表明Xu5P具备协同增强PD-1抗体疗效及CAR-T功能的潜力,亦可通过饮食摄取方式进行间接调控,提示其在免疫增强剂开发与免疫营养干预方向的转化潜力。
珠海舒桐生物长期专注于CRISPR功能筛选平台开发,可为广大科研工作者定制各种CRISPR-KO(敲除),CRISPR激活(CRISPRa)和CRISPR抑制(CRISPRi)文库,并提供现货人和鼠全基因组sgRNA敲除文库。另外在文库构建领域,珠海舒桐拥有一下核心亮点:
关于舒桐
如需获得更多信息,请咨询我们:
电话:
400-6309596
18437963580(同微信)
企业官网:
http://www.generulor.com.cn
产品订购/技术支持:
service@generulor.com

