

泰国珠宝展再出中国游客“吞钻石”事件?
12月27日,一则题为《中国女子在泰国偷吞钻石、被抓后飚日语》的新闻引爆舆论,多家网络媒体竞相转发。这已是近几个月来媒体报道的第二宗“吞钻石”事件,而该事件的曲折离奇程度,较之前者有过之而无不及。然而,有媒体和网友很快发现这则重磅新闻本身疑点重重。截至发稿时,泰国官方并未对此事进行辟谣,但已有一些中文媒体将该消息从官方微博上删除。
某中文媒体27日发表的“吞钻石”文章称,中国一名秦姓女子日前在泰国曼谷珠宝展上趁人不备、将一颗价值200万元人民币的6克拉“钻石”吞下,后被警方发现。通过X光,警方在该女子的大肠位置找到了“钻石”,要求医生使用肠镜等器械将它取出。文章称,或许是出于“隐瞒身份”的目的,该女子被戳穿后,竟然使用日语对警方道歉。但在之后不久,她的护照就暴露了她的身份。更为曲折离奇的是,被盗的珠宝商最终也因涉嫌欺诈被警方逮捕——因为真钻石无法被X光监测出,该珠宝商显然是在以高价格贩卖假钻。
这则消息被披露后,在国内引起强烈反响.。很多人将该女子称为“国人之耻”。然而,也有人发现,这则报道从文字到附图,均存在不少疑点。今年9月中旬,泰国警方在曼谷2015年度宝石珠宝展上擒获一对“雌雄大盗”,作案女子就是通过吞食的方式试图将一枚6克拉的钻石走私回国,最终被人赃并获。泰国警方强制涉案女子食用泻药未果、最终手术将钻石拿出。这则新闻一经披露,迅速引起泰国多家媒体的竞相报道,多家国际知名媒体也对其进行了报道或转载。很快,两名涉案者的面部照片被曝光。然而据《环球时报》记者了解,截至27日中午,“秦姓女子吞钻石、飚日语”的新闻未被任何一家国外媒体报道或转载。令人质疑的是,该事件虽然号称发生在泰国曼谷,但泰国《民族报》《曼谷邮报》等权威媒体对此也只字未提。
除此之外,报道中对事件的一些重要细节交代得也不够明确。譬如,原文只提及这名女子是在“泰国曼谷珠宝展”上吞食的钻石,却并未说明所谓的“珠宝展”的时间和地点。据了解,泰国曼谷宝石和珠宝展一年仅举办两次,分别在2月和9月进行,而上一次展会早已闭幕多时。
不仅如此,原中文报道的三张配图也存在重大误导嫌疑。《环球时报》记者发现,一张多名执法人员擒住一名女子的照片,实际来源于泰国媒体2014年的报道。泰国《清莱时报》去年9月22日刊登了名为《严打色情旅游业,泰国警方逮捕变性人士》的文章,而这张配图当时就位于《清莱时报》的大标题之下。这张配图在泰国媒体的题注为“一名来自老挝的变性人士因涉嫌窃取外国客人财物被警方围捕”。
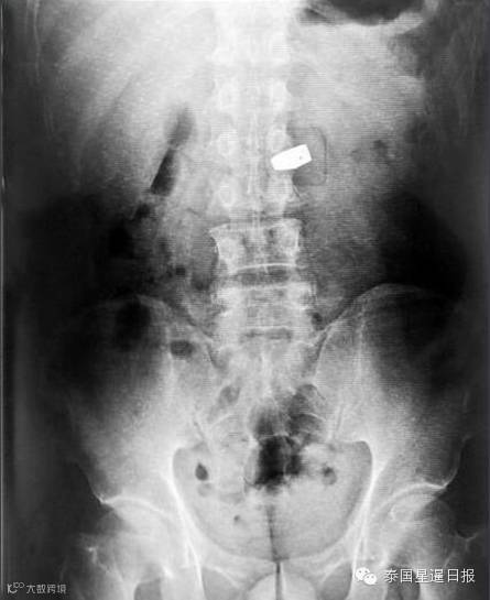
27日中午,三张配图中的另外两张的来源也被找出。第二张展现“珠宝展展会现场”的图片,来源于中国珠宝玉石首饰行业协会官方网站2009年发布的一篇文章,大标题为《中宝协组团参加第43届曼谷珠宝展》。第三张展现“X光侦测到宝石”的照片,和中文媒体2010年1月19日的一篇文章下的配图匹配度极高,该文章的大标题为《临平一中年男子一口吞下万元钻戒》。有网友怀疑,这是居心叵测人士使用假新闻诽谤侮辱中国人。
来源 :环球时报 刘皓然
12月26日消息,一名中国女游客秦某,在泰国曼谷珠宝展上趁人不备,把一颗价值200万人民币的6克拉钻石囫囵吞下。人赃并获时,女子竟然用日语对警察道歉说“おわび申し上げます”(我对此非常抱歉)。事后,警察在检查护照时发现,该女子确系中国人。警方通过X光,找到位于其大肠中的钻石,并让医生使用肠镜等器械将钻石从该女子的肠中取出。



编辑 SIMON

