编者按:核磁共振是一种常见的影像检查方式。全球首次为病人做核磁共振检查是在1977年7月3日。该技术是基于物理学家拉比有关测量原子核在磁场中性质的研究发展而来的。拉比在1988年去世前不久,也使用核磁共振机器进行了检查,他说:“我在那部机器中见到了自己,我从未想到我的研究会变成这样。”
磁共振成像(MRI,Magnetic Resonance Imaging)是利用射频脉冲对磁场中特定原子核(通常为氢核)进行激励,在此基础上利用感应线圈采集信号,并傅里叶变换进行图像重建的方法。
早在20世纪30年代,物理学家伊西多·艾萨克·拉比就发现,在磁场中的原子核会沿磁场方向呈正向或反向有序平行排列(图1(b)),而施加无线电波之后,原子核的自旋方向发生翻转(图1(c))。这是人类关于原子核与磁场以及外加射频场相互作用的最早认识。1946年,物理学家费利克斯·布洛赫和爱德华·米尔斯·珀塞耳发现位于磁场中的原子核受到高频电磁场激发会倾斜。而当高频场关闭后,原子核将释放吸收的能量,并且回归到原始状态(图1(b)至图1(d)过程)。因其在磁共振成像理论基础方面的杰出贡献,伊西多·艾萨克·拉比获1944年诺贝尔物理学奖,费利克斯·布洛赫和爱德华·米尔斯·珀塞耳则分享了1952年诺贝尔物理学奖。

图1 磁共振原理示意图
在磁共振现象被发现之初,因成像条件苛刻、成像时间长等缺陷,应用范围受到较大限制,虽然在1950年欧文·哈恩就发现了双脉冲下磁共振自旋回波现象,但直到1968年理查德·恩斯特团队改进激发脉冲序列和分析算法,大大提高信号的其灵敏度以及成像速度后,磁共振技术才逐步成熟,理查德·恩斯特本人也因此荣获1991年的诺贝尔化学奖。
现代核磁共振成像技术在欧洲和美国以独立的技术路线分别开展。欧洲方面:1973年化学家保罗·克里斯琴·劳特伯和物理学家彼得·曼斯菲尔德爵士在荷兰的中心实验室搭建完成了最初的磁共振成像系统(图2),并对充满液体的物体进行了成像,得到了著名的核磁共振图像“诺丁汉的橙子”(图3),拔得磁共振技术成像领域的头筹。

图2 磁共振成像系统

图3 磁共振成像结果“诺丁汉的橙子”
受到成像结果的鼓舞,荷兰中心实验室于1978年组建“质子项目”研究团队(图4),该团队研制出了0.15T的磁共振系统,并于1980年12月3日,得到了第一幅人类头部核磁共振图像(图5)和第一幅第二维傅里叶变换后的图像(1981年7月30日,图6)。保罗·克里斯琴·劳特伯教授与彼得·曼斯菲尔德爵士教授因其在磁共振医学成像领域的贡献,共同获得了2003年的诺贝尔医学奖。

图4 质子项目研究员

图5 第一幅人类头部MRI成像

图6 第一张二维傅里叶变换后的头部图像
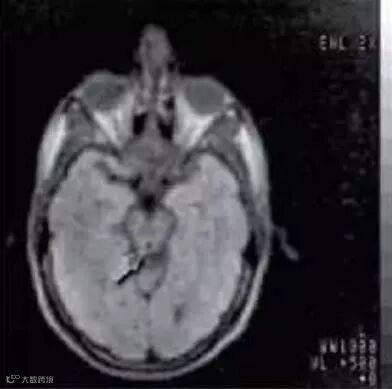
在美国,纽约大学的雷蒙德·达马迪安教授团队则在医学成像方面,拔得头筹,他们研制的医用核磁共振设备(图7)于1977年7月3日到了第一幅人体磁共振图像——胸部轴位质子密度加权图像(图8),标志着MRI技术在医学领域应用的开始,因此7月3日也被学界认为是医学磁共振成像技术的“生日”。

图7 第一个医用核磁共振设备

图8 第一幅人体磁共振图像
在短短50年的时间内,磁共振成像技术获得了长足的发展,已成为影像学四大常规检查手段之一(四大常规手段:磁共振成像,X射线成像,超声成像与核医学成像)。相比而言,磁共振成像对软组织分辨能力高,无辐射损伤的优势使其在婴幼儿发育和骨骼韧带劳损等方面获得了无可替代的应用。
在发展方向上,磁共振系统不断追求极限工作条件与更有针对性的励磁序列。在高磁场强度方面,目前医院主流的磁共振设备场强已超过1.5T,7T的磁共振系统也已商业化,并在脑神经疾病检查、脑功能与脑科学研究方面获得广泛的应用;在低场强方面,部分科研机构开展了主磁场μT量级的超低场磁共振设备研究工作,以满足牙齿种植,装有心脏起搏器等特殊患者的检查需求;在体积极限方面,目前基于霍尔巴赫(Halbach)磁体的小型磁共振检测设备已经把体积缩小到桌面大小,重量可控制在40Kg以内,在食品检测与地质探测等领域获得广泛的应用;在励磁序列方面,功能磁共振(fMRI)序列,弹性成像序列,波谱成像序列已在部分商用机型上配置,以满足医学诊断方面的特殊需求。
近年来,中国科学院苏州生物医学工程技术研究所在磁共振理论研究与应用研发方面不断取得新突破:研发的开源磁共振波谱成像模拟平台Spin-Scenario填补领域空白,登上国际磁共振学会的官方期刊JMR封面(图9),并获包括荷兰乌得勒支大学、德国慕尼黑工业大学在内的多家国内外研究机构使用;研发的小型高均匀度Halbach阵列磁体技术水平达到国内领先,已成功应用于桌面式核磁波谱仪(图10);研发完成超低场磁共振成像系统,实现对含磁性植入物的组织高质量成像(图11);联合苏州儿童医院研发完成儿童发育性髋关节发育脱位磁共振定量评估系统,实现疾病的早期诊断、术前规划与术后评估和长期动态监测等环节的完整覆盖。希望通过我们的不懈努力,能为国产高端磁共振系统产业化做出一点微薄的贡献。

图9 Spin-Scenario仿真结果与JMR封面

图10 霍尔巴赫磁体仿真设计与实物

图11 超低场磁共振系统与实验测试界面
来源:中国科学院苏州生物医学工程技术研究所、中科院之声微信公众号
相关阅读:
微波射频行业人士 | 相聚在这里
【10大细分领域的微信技术交流群】
微波射频网已建立射频、天线、雷达、毫米波、手机射频、RFIC、功放、SDR等细分领域的技术交流群,提供一个互相交流的平台,促进技术进步。

长按识别上方二维码加群主为好友,说明:单位+技术方向,邀请您加入相应技术群

