
有人说,距离产生美
有些东西只能远观,不可近看
就如同你满脸斑
远看很美,近看很醉

有人说,距离是一道鸿沟
是我们无法跨越的
就如同习惯了浓妆掩盖瑕疵
要如何回归素颜

有人说,距离很遥远
两端永远触碰不到
就如同干瘪的橙子
又如何变回饱满光鲜
我说
距离就是皮秒
挑战净肤去斑极限
0距离也看不到瑕疵
浓妆与素颜自由切换
回归真实的自己
蜂巢皮秒激光
皮秒激光就是光打到皮肤里在皮肤停留的时间——皮秒级,短脉宽的脉冲能产生强大的光机械效应,能将色素颗粒分解得更加细小!是目前最新应用在美容界的一款新型嫩肤祛斑神器。
皮秒是时间单位,目前医学美容所使用的激光设备多数是纳秒级别的。

作用:一机多能,可快速有效治疗各种表皮斑、真皮色素斑、太田痣,以及顽固性黄褐斑、咖啡斑、老年斑、晒斑,纹身,嫩肤,让肌肤全方位白皙嫩滑,洁净清爽,焕颜新生。

皮秒激光的优势所在

治疗时间更短,治疗次数更少
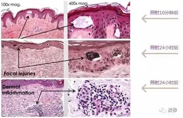
治疗时所发射出的每一发脉冲光能量只停留在皮肤上极短暂的时间,比一般激光更迅速,快速的皮秒时间可对黑色素产生“疾速机械光震波”,瞬间对黑色素产生强大震波,完整震碎黑色素成为粉尘状态,可快速代谢、大幅降低热伤害、避免反黑、快速復塬。治疗效果更优于现在所有的祛斑仪器。

可治疗各种类型色素斑
皮秒净肤激光利用极短脉冲的输出方式,运用光机械冲击波的效益取代热效应,将目标物粉碎成最小颗粒,且将光热效应的副作用降至,可以达到几乎解决各式色素斑的目的。细小的黑色素颗粒代谢更快,脸部自然会呈现白亮的肤质反应。
抑制热伤害,美白、提亮肤色
对黑色素的吸收峰值,比普通调Q激光有很大提高,这就意味着作用到皮肤的能量低了,治疗后没有开创性伤口和真层损伤,对皮肤的伤害大大减小。

还原与生俱来的美
蜂巢瞬效透镜(FOCUS)技术在震慑黑色素的同时更将震波传至肌肤深层,启动修复机制,促进胶原蛋白的更新与增生,达到美白嫩肤除细纹的效果。
轻松还你净白
镭射一直都是除斑除色素的优秀镭射来源,主要原因因为皮秒镭射波长对黑色素吸收效果的专一性是所有镭射祛斑当中最高的一个,专一性越高,去除黑色素的效果越明显,清除率高,可缩短治疗次数,皮肤安全性也越高。
远离反黑风险
基于皮秒机械光镭射,快速而强大的震慑能力,对皮肤产生热伤害的机率大幅度降低刺激黑色素再度活跃的(返黑)风险也相对减少。

——女人,为什么要变美?

每个女人一生所追求的目标。以前,变美的手段一般只能通过化妆,而随着美容行业的发展,技术也越来越高端,让自己看起来更加完美,何乐而不为呢?
工作越忙越要美
职位越高越要美
心情越糟越要美
老公面前更要美
皮秒,美丽人生重新起航!


蜂巢皮秒镭射PicoSure是由高科技激光公司美国赛诺秀(Cynosure)公司研制生产的,目前已通过美国FDA及中国CFDA认证,被称为美肤界的“法拉利”。皮秒即10的负12次方秒,就是万亿分之一秒。
美白、祛斑、缩小毛孔、嫩肤、洗纹身
统统不在话下,堪称美肤界全能选手哦

它能一站式解决各种肌肤问题
为你打造最理想的肌肤状态
尝试过的人无不称赞
皮秒厉害在哪里?

清除黑色素效率高
蜂巢皮秒镭射激光的FOCUS技术使能量聚焦
比传统调Q激光的能量密度提高了20倍

能够将黑色素震碎成极为细小的颗粒
更方便机体对黑色素的代谢
大大提高了黑色素的清除率

清除黑色素效率快
蜂巢皮秒比一般镭射脉宽快4倍
可对黑色素产生”疾速机械光震波”
瞬间将色斑颗粒击碎
并且皮秒非常安全
只针对黑色素,不伤害正常组织

对返黑说NO
基于蜂巢皮秒快速而强大的震慑能力
对皮肤产生热伤害的机率大幅度降低
返黑风险也相对减少!

祛斑+修复同步进行
在震碎表皮层的黑色素细胞的同时
还会促进深层真皮层胶原蛋白的更新与增生
改善黑色素问题
活化抗老新生的胶原蛋白细胞

想获得吹弹可破的肌肤就是辣么简单
可爱的小仙女们
快快关注我们的公众号吧

