运动和癌症都会导致脂肪组织萎缩。然而,只有癌症相关的体重减轻,即恶病质,以脂肪组织和骨骼肌流失为主要特征,但其机制尚未明确。肿瘤细胞产生的乳酸可作用于成熟脂肪细胞的乳酸受体 GPR81,促使脂肪细胞能量过度消耗,导致成熟脂肪细胞中存储的脂质加速分解,是引起癌症恶病质的重要原因。运动健身也能产生大量乳酸,燃脂减重。为什么其产生的效果是可逆的,而肿瘤恶病质引起的消瘦是不可逆的?2025年4月,Cell Metabolism期刊发表题为MIF-ACKR3 causes irreversible fat loss by impairing adipogenesis in cancer cachexia的研究。该研究发现,肿瘤细胞能够分泌细胞因子 MIF 。MIF 通过与脂肪干细胞上的受体 ACKR3 相互作用,激活了脂肪干细胞的炎症反应,增强了炎症因子的分泌,使得脂肪干细胞向炎性及纤维化增强的方向发展,分化为成熟脂肪细胞的能力则显著下降;而长期运动可导致血液中的 MIF 水平有所降低,皮下脂肪组织中炎性的脂肪干细胞数量保持相对稳定,脂肪前体细胞数量有所增加。在小鼠模型中,通过遗传学方法或药物抑制 MIF-ACKR3 通路,结果有效缓解了脂肪组织的萎缩及其他恶病质的临床表现。
该研究发现肿瘤分泌的巨噬细胞迁移抑制因子(MIF) 是使脂肪干祖细胞 (ASPC) 分化向促炎和促纤维化方向的主要驱动因素,癌症恶病质中的成脂能力降低。相比之下,运动后循环 MIF 减少。从机制上讲,ASPC 中的非典型趋化因子受体 3 (ACKR3) 是介导其病理作用的主要 MIF 受体。通过肿瘤细胞中的基因消融或药理阻断抑制 MIF,以及 ASPC 特异性 ACKR3缺陷,显著减轻肿瘤诱导的恶病质。
从通路到表型,MIF-ACKR3如何导致脂肪流失?该研究通过运动(健康减脂)和癌症恶病质模型,发现仅恶病质患者ASPCs的成脂能力被抑制,且脂肪组织中炎症和纤维化加剧。单细胞数据分析显示,肿瘤分泌的MIF蛋白通过结合脂肪前体细胞上的ACKR3受体,迫使细胞分化为促炎、促纤维化的纤维炎祖细胞(FIP细胞),而非正常的脂肪细胞。
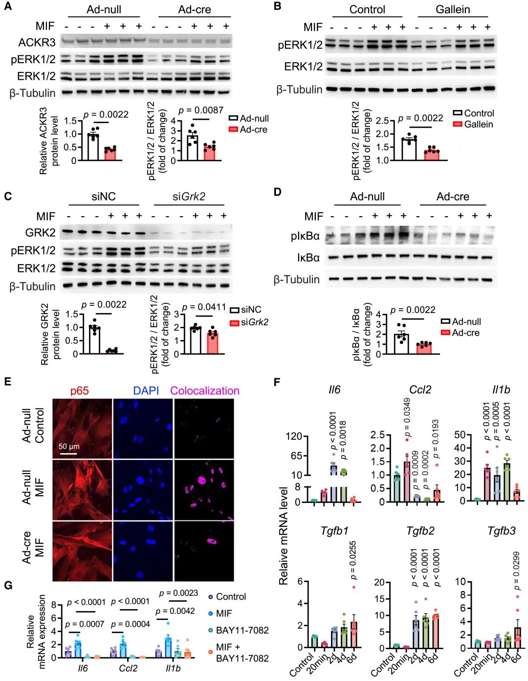
从表型到机制。MIF-ACKR3通过Gβγ-GRK2-ERK1/2-NF-κB级联反应发挥作用。短期效应是激活ERK1/2和NF-κB,触发炎症因子(如IL-6、TNF-α)释放;长期持续炎症可导致纤维化,最终使脂肪组织失去再生能力。
图7.MIF-ACKR3 通过 Gβγ-GRK2-ERK1/2-NF-κB 信号级联促进 ASPC 中的炎症和纤维化。
该研究围绕肿瘤恶病质表型出发,利用单细胞+bulk RNA-seq+磷酸化蛋白组破解机制,最终回归临床,落脚到治疗靶点上,是比较好的从临床问题到科学问题,再回归临床的研究。这篇论文通过细胞通讯找到肿瘤恶病质的关键机制,也是我们一直推荐的单细胞数据挖掘五大经典策略之一,大家可以借鉴其中的思路!

