
哇塞
你还在用牙齿开瓶盖吗
好样的继续
一颗坚固的牙齿,中间折戟
那种痛彻心扉的痛
如果继续,你有机会可以感受下

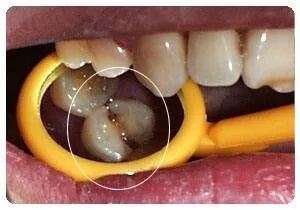
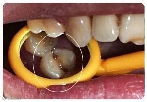
一直以来,仗着自己牙齿好,和兄弟朋友们喝啤酒都是直接用牙齿咬开,从来没觉得有什么不妥。上周五晚上,照例和几个兄弟一起在路边吃烧烤配啤酒,兄弟们也习惯了,每次都很有默契地把啤酒递给我开。和以往不太一样的是,张口咬下去,瓶盖是开了,但同时牙齿传来破裂的声音,瞬间的剧烈疼痛让我差点想在地上打滚,好在疼痛很快就消失了,于是几个人照例喝酒侃大山。周六,牙齿开始有酸痛感,并且越来越严重,那颗牙不敢咬任何东西,连喝凉开水都酸得要命,一天下来仍没有转好趋势,只得在周日到医院挂号看诊。检查结果:牙齿可见裂缝,深至牙根,建议做根管治疗+烤瓷牙冠。问医生不处理会怎样,答:以后牙齿都会处于敏感状态,咬不了任何东西,吃刺激性食物就会出现酸。

养成良好饮食习惯,尽量少咬硬性食物。爱嗑瓜子的忍忍吧,喜欢啃猪蹄、牛蹄、羊蹄的也让牙齿歇会。至于牙开瓶盖、牙解绳结这类高难度动作的还是少体验的好。
定期口腔检查。如有隐裂可预防性调合、充填,过锐、过陡的牙尖要进行调磨。
重视牙隐裂的早期症状,及时就诊,防止隐裂进一步发展。不要等到疼得受不了才去医院,那才是真的后患无穷。

还有什么原因会导致牙齿劈裂呢?
「牙劈裂」好发于年龄30-60 岁人群,这年龄阶段的人群体质旺盛,咀嚼力大,所以发生劈裂牙的机会更多。
另外,60 岁以上的人群由于体质弱,牙体脆性增大,患全身性疾病的疾病较多,但咀嚼力小。
牙体磨耗不规则,侧向力过大,「牙釉质」缺损,抗力不足。

牙齿劈裂了怎么办?
牙齿本身是非常坚硬的,有裂纹或劈裂无法自己修复,及时找口腔科医生做检查治疗。

编辑:文澜
初审:小安
总审:心心

长按识别二维码
关注“高阳微视”订阅号,
我们将为您呈现更多更精彩的内容!
企业推广热线:13131298938




