直播嘉宾
晋晖,副主任医师,医学硕士,郑州大学影像医学与核医学专业毕业。卫生部北京医院学习。在三甲医院影像科从事影像诊断工作二十余年。在专业核心期刊发表论文多篇。主要研究方向:中枢神经系统疾病影像诊断。
Workshop of Medical Imaging
本月第三周将迎来我国第28个全国肿瘤防治宣传周,主题为“癌症防治早早行动”的宣传行动即将开启。
万里云医疗携手医学影像大咖晋晖主任,通过直播与大家一同完成颅内肿瘤的科普分享。颅内肿瘤,可发生于脑组织、脑膜、脑神经、血管等组织,亦可是人体其他部位的恶性肿瘤转移或侵入颅内的肿瘤。根据公开资料描述,此组织肿瘤发病率约是7~10/10万,半数为恶性肿瘤,占人类已知恶性肿瘤的1.5%。因此,前期的影像检查和诊断尤为重要。
本期直播将以实例进行科普分享:
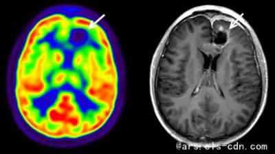
♪ 颅内肿瘤分类、临床表现及影像学表现;
♪ 鉴别脑内、外肿瘤的方式和依据;
♪ 在医学影像下,观察胶质瘤 、脑膜瘤、生殖细胞瘤、转移瘤、细胞瘤和脊索瘤等成像表现。
彩蛋:万里云影像学院系列直播设有“最佳参与人”奖!凡是积极且认真参与6+场的万里云粉丝,个人有机会获得主办方进行准备的“666盲盒”一份。
请将参与直播课堂的截图发送至本公众号中,同时留言“姓名+就职医院名称”,即视为完成一次活动打卡。
Workshop of Medical Imaging
请按照如下四步流程,快速完成直播报名!
识别上方二维码
进入页面后点击“立即预约”
填写简易预约表格
点击“报名”按钮后完成报名
新老万里云影像学院的粉丝都需完成上述简易报名流程!如遇直播活动报名问题,请电话联系我司,拨打4008326222转5。
请提前锁定我们的直播间!
满满干货让您的患者提早远离病魔!!
2022让中国医学影像技术雄起嘞!!!
透过万里云医疗大数据紧跟前沿病症,
Everybody准备好了吗?
结 尾
万里云医疗
万里云始于2009年,作为美的集团、万东医疗、阿里巴巴旗下重要的影像生态服务企业,打造以云计算、大数据、人工智能AI为基石的“智慧影像”整体服务,面向各级医疗机构提供影像SaaS服务,包括云胶片efilm、跨院调阅系统EMIA、云PACS和区域影像云等解决方案。同时万里云整合了行业优势资源,为我国各级医疗机构提供个性化的优质影像诊断服务和专业运营服务,让智慧影像福泽千万家。
官方社交媒体频道

