▲点击上图查看
来源:器械之家
器械之家搜集整理了最近发布的超声成像系统,希望能为各位提供窥见未来超声发展趋势的视角。
1
改善超声工作流程
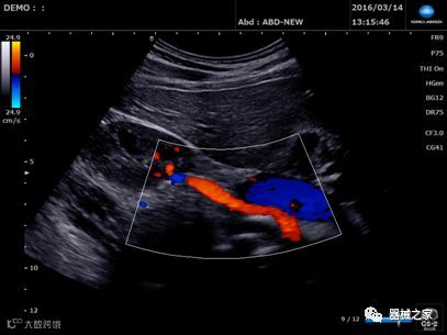
2018年发布的新版本的佳能Aplio 900 CV系统的设计减少了40%,简化了工作流程。它比以前的东芝回声系统轻50%。
Aplio 900 CV系统



日立在2018年北美放射学会(RSNA)会议上推出了新的Arietta 65中程超声系统。它采用较小的跟踪球,使键盘更小,手部动作更短,使系统更符合人体工程学。
Arietta 65中程超声系统



三星RS85超声系统于2018年获得FDA批准,其设计目的是将许多多步骤操作组合成一个步骤,以减少击键和重复的用户交互。
RS85超声系统



另一个例子是柯尼卡美能达新推出的Sonimage HS1,它提供简化的一键式图像优化。调整深度时,多个成像参数(如频率,聚焦和复合)会自动更改。
Sonimage HS1



自动病变分割在RSNA 2018的GE Healthcare LogiqTM E10系统上引入,通过自动化提高生产力。由于重复的检查步骤,存在显着的人体工程学挑战。该软件有助于消除用户手动测量病变的需要,通过分割已识别的乳房,甲状腺或肝脏病变并自动提供病变和相应区域的痕迹。此功能还有助于确保不同用户(甚至同一用户)之间的一致性,以用于文档和后续操作。
LogiqTM E10系统



2
将人工智能整合到超声中
几年前,人工智能算法在超声系统的后端开始集成,目标是加快工作流程。其中的元素内置于西门子的eSie流量阀分析软件中,用于三维心脏瓣膜评估。
飞利浦的Epiq系统使用解剖智能,AI可以自动识别,分割和颜色编码扫描领域的解剖结构。它还可以为各种检查选择最佳扫描切片视图,从三维数据集中提取它,无论超声检查者的经验水平如何,都可以提高再现性。RSNA 2018上的飞利浦Epiq和Affiniti超声系统为乳房成像提供解剖学智能,以提高再现性和简化工作流程。自动化和AI提供了屏幕解剖结构的可视化映射和注释,用户交互最少。
Epiq旗舰智能超声系统



Affiniti超声系统



最新版本的柯尼卡美能达Sonimage HS1采用AI语音识别控制,实现免提操作。针对肌肉骨骼(MSK)介入手术,它具有通过简单的语音命令控制系统功能的能力。临床医生可以用一只手握住传感器,另一只手握住针头或注射器,无需助手并在手术过程中保持无菌区域。
为了增强其便携式Vscan Extend手持式袖珍超声波的功能,GE Healthcare增加了DiA成像分析AI驱动的LVivo EF,用于自动射血分数(EF)测量。
传统上,护理点(POC)的大多数EF解释是通过视觉估计进行的,临床医生经验水平在POC设置中变化。LVivo EF通过使用AI和高级模式识别算法快速有效地为临床医生提供左心室EF评分和体积测量来应对这一挑战。
3
三维超声的进展
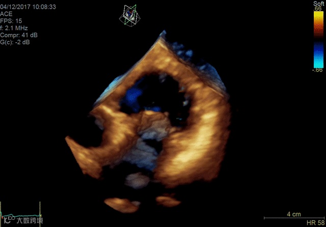
较慢的帧率和3-D超声的较大费用限制了其广泛采用,但其在一些专业领域的应用有助于快速扩展治疗,如经导管结构性心脏介入。当专家使用成像进行程序规划或指导时,3-D的使用具有很大的应用,其中3-D可以提供解剖学的“外科医生视野”。该技术还用于帮助指导复杂解剖结构中的导管手术。
Vivid E95心脏成像系统



2018年,GE医疗集团发布了其cSound图像重建技术的Imaging Elevated版本。该技术有助于Vivid E95心脏成像系统的成像质量,工作流程和量化。它利用GPU处理来提高音量帧速率,GE称为音量最大值或Vmax。与上一代系统相比,这使得TEE的帧速率几乎可以达到三倍。
4
新的超声可视化方法
供应商已经超越了基本的二维和三维成像,提供了重建图像的新方法,以加快评估速度并使其更易于理解。
在RSNA 2018上发布的新成像被开发用于解决胎儿心脏和脑部成像问题。由于体积小且心率极快,因此难以进行详细的胎儿心脏评估。在18周时,胎儿的心脏大小与橄榄相当,每分钟跳动约150次。此外,结构本身非常复杂,婴儿不断运动,它始终是一个移动的目标。成像很重要,因为先天性心脏缺陷会影响全球每110个婴儿中的一个。
GE Healthcare用于胎儿超声的胎儿心脏和血管分析软件,在Voluson E10上提供,有助于在不到三分钟的时间内评估胎儿的心脏形状,大小和收缩性。称为辐射流的功能以三维视图显示血流。它还可以帮助显示缓慢流动的血液,例如神经血管循环。
Voluson E10



2018年发布的另一个例子是飞利浦的TrueVue,它提供照片般逼真的渲染,并能够在三维超声图像上改变光源的位置。它允许用户改变照明条件以提高对比度。可以移动光源以改变阴影并增加更多深度感知。还可以推动光源穿过组织以对解剖结构进行背光。
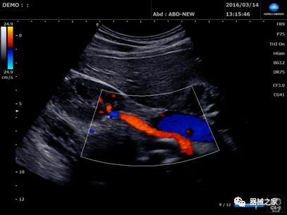
在几年前,超声波无法对小型慢流血管中的血流进行成像,但现在有少数供应商提供具有此功能的系统。该特征提供了另外一种检查病变以指示癌症或炎症的方法。其中一个是佳能Aplio 900 CV系统,它可以显示毛细血管中的血流量。日立的Arietta 65中程系统提供了一种可视化小血管的功能,可以更好地观察肾脏等器官的灌注情况。三星RS85还提供MV-Flow可视化慢流微血管结构。
佳能Aplio 900 CV系统还在2018年推出了一种新方法,通过称为四腔室跟踪的回声可视化心脏。它在一个三维视图中跟踪所有四个腔室的血容量。它提供腔室的舒张末期和收缩末期视图。这允许一次完成整个心脏功能的图像,而不是一次查看一个腔室。
Baptist Health South Florida成为去年秋天西门子医疗保健公司Acuson Sequoia的首个商业安装网站。该系统将有助于增强胃肠病学,初级保健和减肥专业的成像能力。Sequoia可实现高分辨率成像,自动适应患者的体型和个人身体特征,有助于更加自信的诊断。它适应患者的组织密度,刚度和超声波束吸收的生物声学变化。这使得系统可以穿透高达40厘米而不会因衰减回波信号而导致图像质量下降。
Acuson Sequoia



5
即时超声
在过去几年中,POC超声(POCUS)的使用出现了爆炸式增长。供应商已经发布了许多小口袋或稍大的推车或壁挂式基本超声系统,以便快速查看患者体内以获得更准确和更快速的评估,或确定是否需要更高水平的成像。POCUS已进入许多专科领域,尤其是急诊医学,重症监护,内科和麻醉。
SonoSite X-Porte



Fujifilm SonoSite Inc.在RSNA 2018上展示了完整的POCUS系统产品组合。其中SonoSite X-Porte结合了触摸屏控制和可定制的界面,提供80多种实时教育视觉指南和教程。
SonoSite Edge II



SonoSite Edge II翻盖系统提供直观的界面,可以更方便地访问常用功能,广角显示屏带有防反射涂层,可在观看时进行最小的调整。
SonoSite SII



SonoSite SII使用简单的纵向显示和智能用户界面。
SonoSite iViz



SonoSite iViz掌握在手掌中,为临床问题提供快速解答。
Sonon 300L无线手持式超声设备



2018年,Healcerion获得FDA批准其Sonon 300L无线手持式超声设备,该设备与台式设备配合使用以显示图像。据该公司称,它提供灵活的成像设备,成本不到传统超声波机器的1/10,用户界面可以在几分钟内学会完成。
Lumify便携式超声波系统

2018年3月,飞利浦宣布推出首款采用飞利浦Lumify便携式超声波系统的远程超声波解决方案。该系统由与移动设备配对的换能器和将智能电话或桌子转换为超声系统的应用程序组成。这项新功能通过将兼容的智能设备转变为集成的远程超声解决方案,将双向视听呼叫与实时超声流相结合,实时连接全球临床医生。用户可以在Lumify超声系统上进行实时的面对面交谈。用户可以切换到智能设备上的前置摄像头,以显示探头的位置。然后,他们可以共享Lumify图像流,因此双方同时查看实时超声图像和探头定位。
Viera™便携式乳房超声系统

POCUS进入乳房成像的另一个例子是2018年Hologic新推出的Viera™便携式乳房超声系统。无线超声扫描仪为医生提供了早期诊断和优化临床工作流程的机会。它可以指导介入程序,如活组织检查,标记放置和电线本地化。它还可以将乳房图像传输到智能设备或PACS。
IQ

最近推出的最通用的POCUS系统之一是Butterfly IQ超声换能器和应用程序。该公司于2018年首次在RSNA展出,并向与会者展示了他们如何将iPhone转换为质量相当优质的诊断超声系统。其FDA批准的技术是首批商业发布的“片上超声系统”之一。它由连接到iPhone或iPad的传感器组成,用于记录超声波。
该系统具有18种不同的专用图像应用,包括心脏成像,血管,主动脉,肺,腹部和其他。这些应用程序可以进行量化,并提供通常仅在较大的基于购物车的系统上才能找到的功 该公司表示,可以使用Butterfly IQ在基于推车的系统上完成90%的工作。应用程序允许基本测量和注释,图像可以从设备传输到云服务器进行存储或作为DICOM格式传输到图片存档和通信系统(PACS)。图像也可以保存为PNG或MP4格式的视频。
采用芯片技术的超声系统允许通过简单的设置重新配置单个换能器,以将其成像为弯曲的,定相的或线性的探头,而不需要物理地具有和换出各种换能器。该系统还允许动态改变光束锐度,频率和焦深。该系统还提供扫描模式 - M模式,B模式和彩色多普勒。2-D蝶形传感器由9,000个元件组成,不使用传统的压电晶体技术。


点原文,更有料!


