星闻·第185期
启迪之星孵化网络内百余家科创企业先后通过捐款、提供物资、信息公开等方式为对抗疫情贡献自己的力量。其中,不少科创企业在第一时间利用技术优势,开发科技产品和服务,为一线防疫人员提供安全保障,提高工作效率。
启迪之星在保障企业防护安全的情况下,积极为在孵企业创造复工条件,保障企业以最快速度研发出疫情期间适用的产品,同时帮助企业对接相关渠道,加快产品投入防疫一线。
对于远程办公的创业企业, 启迪之星推出线上创业沙龙,帮助企业修炼内功。同时,释放免费云资资源、知识产权保护和企业服务,助力企业高效便捷办公。
启迪之星与创业企业守望相助,共渡疫情难关。寒冬终将结束,我们一起等待春暖花开。
▲武汉樱园五重塔夜景,图片来源:500px
科创企业科技抗“疫”
疫情以来,启迪之星孵化网络内的企业快速响应,积极投入疫情防控。截至目前,累计有100+家孵化网络企业先后加入,充分彰显了社会责任感和企业家担当。
此前,我们专题报道了45家孵化网络企业的抗“疫”合集(详见文末)。上周,孵化网络内又有更多的企业加入了抗击疫情、驰援武汉的队伍。在此,我们选取了上周里30+家创业企业的抗疫动态,希望可以为各地抗疫一线提供可用的产品和服务资源,与大家共渡难关。
注:假如您对以下任意一家企业的产品或服务有需求,均可回复“企业名称+您所在的机构+联系方式”,启迪之星会帮助您与企业第一时间对接。
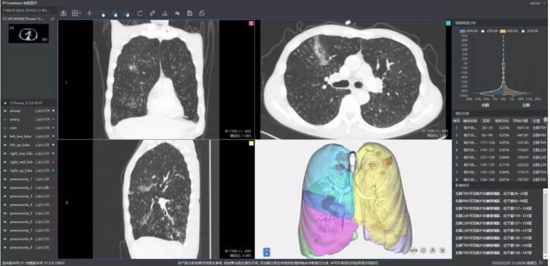
柏视医疗
推出新冠肺炎辅助筛查系统
启迪之星·集智未来人工智能孵化器入驻企业柏视医疗推出新冠肺炎辅助筛查系统,借助AI技术辅助大规模新冠肺炎病例的影像筛查工作。
一维弦
推出防疫巡检机器人MoRo S
启迪之星(北京)孵化企业一维弦通过防疫巡检机器人,代替人工完成疫情高风险区域的日常巡视、红外人体测温、人员戴口罩检测识别及消毒 液体的喷洒,可以有效降低疑似病人人员流动及外出等安全隐患。
藕夹
推出人员登记小程序
启迪之星(北京)培育企业藕夹开发可以无接触、快速高效进行人员登记的小程序,该小程序功能分区明确、操作人员和登记者零接触、体温录入操作简洁高效、数据清晰完整,提供给抗疫一线免费使用。
图聚智能
推出访客线上预约登记系统
启迪之星(上海)入孵企业图聚智能,推出“大楼卫士-访客线上预约登记系统”,可实现访客线上快速预约与登记,筛查来自疫源地及有特殊症状的人员。
深度未来
推出体温筛查解决方案
启迪之星壹计划企业深度未来将先进的红外热成像探测组件与全球领先的人脸识别算法相结合,形成完善的无感多目标人工智能体温筛查解决方案。
史河科技
推出病房巡查机器人
启迪之星投资企业史河科技联合上海人工智能研究院推出病房巡查机器人,已完成样机设计及后台管理系统开发,并上线应用。用机器人协助医护人员,完成体温测量、血压测量、药物配送及智能杀菌消毒等病房日常巡查工作。
百可测
开发超声波干雾过氧化氢灭菌器
启迪之星(延庆)入驻企业北京百可测科技有限公司开发的Nebulair 星耘™ 超声波干雾过氧化氢灭菌器能够解决救护车、实验室、洁净室等密闭环境灭菌需求,应用领域包括洁净室、实验室、生物安全柜、救护车、养老院、康复中心等。
津云首创
推出“每日健康报告采集系统”
启迪之星(天津·生态城)加速器入驻企业天津津云首创科技发展有限公司推出“每日健康报告采集系统”,能帮助用户处理疫情防控基础统计工作。
绿盟科技
发布医疗信息化安全解决方案
启迪之星孵化企业绿盟科技面向全国卫健委、医院、疾病预防控制中心等一线作战单位,提出医疗行业“五防”安全解决方案,从安全产品部署、监测平台建设、SaaS云端服务、专家支撑运营五个方面构建一体化安全防护体系。
深华光电
推出体温筛查仪
启迪之星(德州)入孵企业德州深华光电科技有限公司推出多目标红外与可见光融合体温筛查仪,支持口罩检测和人脸识别。同时推出基于二维码的疫情追踪和复工系统“复工管理跟踪平台”,免费提供各方使用,助力企业复工生产。
伦奇
开发“非接触式”人体测温门
启迪之星(攀枝花)孵化企业伦奇机器人科技有限公司开发“非接触式”人体测温门,可以快速、精确、无接触的筛查通过者的体温,对超出设定温度的人群进行声光报警。
拾联科技
开发AIoT+视频赋能中台
启迪之星(深圳)生态会员拾联科技以成熟的技术及产品参与到防控战“疫”中助力应急指挥。AIoT+视频赋能中台还可以在社区、学校等人流密集场景进行人脸布控,用于大范围人群智能检测,助力人员的快速排查及疑似患者追踪。
爱尚有为
推出11大功能
启迪之星(深圳)入孵企业爱尚有为旗下的波比机器人通过健康物联网、紧急救援SOS、电子健康档案、认知障碍预防老年痴呆/慢病管理/用药提醒/糖尿检测/血压监控等11大功能,助力居家抗“疫”。
视动智能
推出防疫安检系统
启迪之星(香港)入孵企业视动智能viAct.ai 推出基于计算机视觉的人脸口罩检测系统,义务为政府、机场、高铁站、汽车站、地铁站等公共管控部门提供人工智能口罩佩戴检测、后台管理及追踪等服务。
智龙芯
开发热成像非接触式预警系统
启迪之星(芜湖)在孵企业安徽智龙芯电子科技有限公司开发基于AI的红外热成像非接触式体温筛查系统。该系统工作效率高,精度高,系统内全景无死角覆盖,且具有完善的后台管理功能,同时配合病情登记制度,通过大数据关联相关人员体温,病情信息,准确锁定疫情严重区域/单位。
通安智能
提供智能监控
启迪之星(儋州)孵化企业海南通安智能安防科技有限公司配合需求,为儋州市防疫工作提供了高效的智能监控,减轻一线工作人员的压力。
数境
开发查询工具“疫度”
启迪之星(西安)在孵企业数境信息开发了一款查询您是否与确诊病患有亲密接触的工具“疫度”,通过输入去过的地方和时间,可以检索出有没有确诊病患在这些地方出现。
云医链
为患者送药到家
启迪之星(长沙)孵化企业湖南云医链网络科技有限公司打造的“医健购”有机地将医疗机构、药店、社区服务站、家庭、医生、患者充分关联起来,为解决医疗资源分配不均衡提供有效方法。
竹笋网络
免费提供社区登记小程序
启迪之星(宜昌)入孵企业制作上线了竹笋登记小程序。通过该小程序,管理人员只需引导出入人员扫描二维码,即可完成出入登记,且可快速检索出入信息。免费提供给社区、校园等有人员出入的地方,现已有56个小区已经使用。
胖虎奢侈品
捐赠款项及物资
启迪之星投资企业胖虎科技将筹集款项30万元全部用于支援疫区。同时,胖虎利用合作海外资源,从克罗地亚和意大利协调了大量口罩、防护服支援一线,参与了长江商学院发起的核酸试剂盒和护目镜的捐赠活动。
沃捷传媒
捐赠专业型呼吸机
启迪之星投资企业沃捷传媒负责人联系湖北省天门市第一人民医院,免费捐赠了10台迈瑞特Y-25T专业型呼吸机,帮助更多患者早日治愈恢复。
西大华特
开发消毒用品捐赠社会
清华科技园“钻石计划”企业西大华特储备75%医用酒精消毒液成品7吨、1.5%BIT液体消毒剂成品2吨、5%寡糖·BIT液体消毒剂成品1吨。计划所生产产品将全部无偿捐献给陕西省疫情较重的西安市、咸阳市、安康市贫困区县。
格林新材料
定向对接近千万的防疫物资
启迪之星(宜昌)入孵广东格林新材料为宜昌市第三人民医院对接密歇根华人后援团筹备的防护服、口罩、体温枪等防疫物资,为猇亭市第五人民医院对接了大批德国N95口罩,并将意大利慈善基金对接了宜昌辖区所有大小医院,总共为宜昌各医院定向对接近千万的防疫物资。
颐元职校
捐赠防疫物资
启迪之星(宜昌)毕业企业宜昌市颐元职业培训学校为社区捐赠手持式红外线测温仪,组织成立疫情防控临时小组,建立业主沟通群。同时,安排2020年健康管理师线上教育工作,开放网络视频。
康博瑞斯
为一线捐赠口罩和消杀用品
启迪之星(西安)在孵企业康博瑞斯积极组织采购口罩与消杀用品紧急驰援防疫,为工作在疫情防控一线的医务人员、工作人员捐赠口罩和消杀用品。
智洁科技
研制消毒用品捐赠一线
启迪之星(南宁)在孵企业广西智洁科技有限公司赶制、调运二氧化氯气体、液体、固体等消毒产品,全力保障卫生消毒物资需求。并向广西南宁市环卫处、江南区疾控中心捐赠一批消毒物资,为抗击疫情贡献力量。
易流科技
免费提供物流管理远程协同平台
启迪之星(西安·高新区)入驻企业易流科技为有在线办公需求的供应链物流企业,免费开通易流SaaS协同平台,帮助企业伙伴减少线上办公管理物流业务的不便。
播杰科技
提供公益英语网课
启迪之星(三亚)入驻企业三亚播杰科技有限公司为停课在家的全三亚市儿童免费提供公益英语网课,帮助广大家长和儿童共同完成学习任务。
稳音网络
提供公益网课
启迪之星(句容)孵化企业镇江市稳音网络科技有限公司开启免费直播课堂,让孩子们与老师一对一视频教学,共享优质学习资源。
半卷书文化
创作公益漫画
启迪之星(句容)孵化企业半卷书文化与玉君传媒联手共制战“疫”漫画,为武汉加油。
十点读书
推出“有温度的陪伴”公益计划
启迪之星(天津·生态城)加速器入驻企业十点读书联合多家出版机构,多位十点名师及王牌主播,为大家准备战“疫”知识。还特别推出了“有温度的陪伴”公益计划,在疫情期间传递温暖。
启迪之星与创业企业共渡难关
疫情给创业企业的经营带来了巨大的考验,资金短缺成为企业共同面临的难题。启迪之星做培育企业的“第一个用户”,力所能及采购企业产品与服务,以实际行动支持企业发展。
同时,启迪之星帮助入孵企业对接融资渠道。股权方面,与合作伙伴、投资企业共享生态资源,开放超3000家投资机构进行项目线上对接。
债权方面,启迪之星(北京)迅速对接中国建设银行、北京银行等多家银行,策划金融系列线上创业沙龙,为创业企业介绍特色金融产品及疫情时期的金融服务措施。
在企业服务方面,启迪之星携手合作机构为孵化网络企业提供最高价值120万元的免费云服务;开放知识产权确权平台资源,释放价值200万共10000份知识产权确权认证,让企业居家办公即可将研发成果进行确权保护;联合财税、人事、法律等方面的专业服务机构为企业带来课程分享和优惠服务。
启迪之星发挥科技服务优势,疫情防控期间持续为提供企业管理、运营风控等线上创业系列课程,为创业企业提供更有温度的孵化服务。
识别下方海报中的小程序码,即可报名参加线上沙龙。
更多线上沙龙活动已上线“启迪之星·活动”小程序,欢迎持续关注,让我们积极抗疫,共渡难关!
更多阅读
往期“星闻”回顾


