企业概况
-
地址:东京都千代田区 -
注册资本:203万日元(约合人民币11.2万元) 成立日期:2018年4月
我们基于数学工程和精算科学从事着五项业务:人工智能医疗设备、人工智能药物研发、全自动手术机器人、人工智能监控摄像机和海豚语言翻译机。我们的优势在于我们有能力任意操纵着1亿个维度,并从头开发我们自己的人工智能。
提供服务
现在,我们推出的人工智能医疗设备具有两个功能:
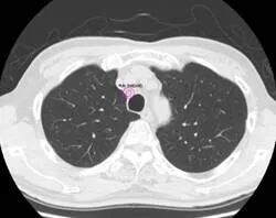
分析CT图像以检测肺部结节(疑似肺癌);
分析胸部平片以检测呼吸系统疾病。
其中关于分析CT图像以检测肺部结节(疑似肺癌)的功能,我们的检测性能是现有研究中最高的,其灵敏度达到了98.3%。
这两种功能都已经在日本通过了医药审查并已正式销售。
我们核心技术是一种显示结节的人工智能,通过在CT扫描获得的图像中的CT值显示最大直径为3厘米或更小的圆形、纺锤形或不规则边缘的吸收增加的ROI区域,提高结节阴影和其他ROI区域的可见度。
合作需求
帮助我们在中国销售我们的产品;
我们接受开发人工智能的委托。
快速对接
如果您对本公司业务感兴趣,请联系以下邮箱:
infojapan@tusholdings.com
-
邮件主题请注明「日本人工智能医疗设备公司合作需求91」


