
一位女性慢性肾脏病患者,家族中有肾脏病史。肾活检示局灶性节段性肾小球硬化(FSGS)病变和足细胞内局灶性髓样小体,最初怀疑为 Fabry 病,但遗传测试结果为阴性。经过全面的临床、生化和遗传评估,包括全外显子和 RNA 测序,最终诊断为指甲-髌骨综合征样肾病(Nail-patella-like renal disease, NPLRD)。
患者女,65 岁,近期出现水肿及慢性肾病表现。既往高血压病史 7 年,接受血管紧张素 II 受体阻滞剂(ARB)治疗。
初诊于外院检查示血清肌酐 1.1~1.2 mg/dL,蛋白尿+++。肾活检显示 FSGS 以及足细胞内存在局灶性髓样小体(斑马体),提示 Fabry 病。Fabry 病由 GLA 编码的溶酶体酶 α-半乳糖苷酶 A(α-GAL)的致病变异引起,但该患者 GLA 的 Fabry 病测序结果为阴性。
患者否认二氧化硅、胺碘酮或羟氯喹等与斑马体病变有关的化学物接触史。患者母亲 69 岁时确诊 FSGS,2 年后发展为终末期肾病(ESRD),80 岁去世;患者父亲因肝癌去世;两个弟弟(56 岁、63 岁)、两个儿子(39 岁、40 岁)均健康。
由于肾活检结果和基因检测分析不一致,为进一步明确诊断,患者于初诊后 4 年转诊至梅奥诊所。患者无 Fabry 病的典型症状或体征,如肢端感觉异常、血管角质瘤、短暂性脑缺血发作、多汗、肾盂旁囊肿等。一个儿子生化检查阴性,另一个儿子 Fabry 病基因检测阴性。体格检查未发现明显异常,眼科专科检查未发现角膜异常的证据。
心、脑磁共振成像均未发现异常。为进一步评估患者肾脏疾病的原因,再次进行肾脏活检。
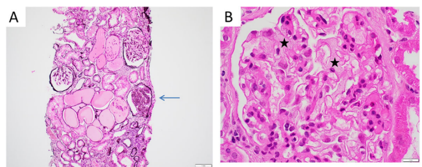
光镜下可见 30% 的肾小球呈全局性硬化,1 个肾小球节段性硬化伴足细胞帽。少数肾小球基底膜双层化。25% 的皮质样本有轻度的肾小管萎缩和间质纤维化(图 A),并伴有轻度慢性间质炎症。部分足细胞在光镜下呈现泡沫状细胞质(图 B)。
免疫荧光未见肾小球染色。局部肾小管管型染色 IgA、κ、λ 轻链阳性(3+),IgM 阳性(2+)。髓质组织 IgG、C1q、C3、白蛋白、纤维蛋白原阴性。
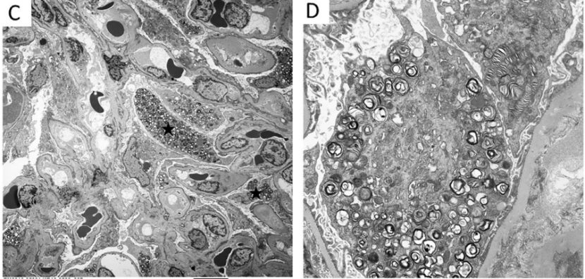
电镜下可见多个足细胞内含有髓样小体(图 C 和 D),伴足细胞轻至中度足突融合,影响约 30% 的周围毛细血管表面区域。内皮细胞、系膜细胞、肾小管周围毛细血管或肾小管细胞内未见髓样小体。肾小球基底膜内未见串珠状胶原纤维。
重复测定了 GLA 缺失/重复突变以筛查 Fabry 病基因,结果仍为阴性。生化结果和基因检测结果仍不能明确诊断。
患者转诊至临床基因组学科室进一步评估。对患者的肾组织进行了 RNA 测序,未发现 GLA 突变、异常表达、异常剪接改变或等位基因失衡。此外,未发现 X 染色体表达偏斜的迹象。
对患者的肾脏组织进行全外显子组测序,结果显示 LMX1B 基因(NM_ 002316.3:c.737 G > A, p.Arg246 Gln)存在致病性突变,该突变在多个家系中被证实与指甲-髌骨综合征样肾病(NPLRD)相关。对从患者血液中提取的 DNA 进行 Sanger 测序,证实了该突变为基因种系突变。
患者的肾脏疾病进展迅速,到梅奥诊所就诊后 2 年,患者接受了肾移植。
NPS 是由 LMX1B 突变引起的常染色体显性遗传疾病,其编码的 LIM 同源核转录因子 1 β 在肢体结构、眼睛、肾脏和神经元发育中起关键作用。
NPS 的经典表现包括:指甲发育不良,指间关节、肘关节和膝关节的屈曲减少,髌骨异常(如缺如、发育不良或脱位)以及骨盆 X 线上髂骨角的存在。98% 的典型疾病前驱者会出现指甲变化,但总的来说 NPS 表现多样,在家系间和家系内各有不同。
30 % ~ 50 % 的 NPS 患者出现肾脏受累,5 % 的患者出现 ESRD。一般情况下,肾功能损害的首要表现是蛋白尿伴或不伴血尿。然而,有些个体可能仅表现为肾脏受累,而无骨骼或肾外表现,这种情况被称为 NPLRD 或 LMX1B 相关性肾病。测定 LMX1B 可以在临床诊断不确定或具有非典型形式的 NPS 时提供有用信息。
Fabry 病是由编码溶酶体酶 α-半乳糖苷酶 A(α-GAL)的 GLA 致病突变引起的 X 连锁遗传性溶酶体蓄积病。这种酶学缺陷导致酰基鞘鞍醇三己糖(Gb3)及其衍生物如三磷酸鸟苷鞘氨醇(lyso-Gb3)在内皮细胞、皮肤、足细胞、心肌细胞和神经系统中大量贮积,进而导致血管角化瘤、角膜疣、胃肠道症状、蛋白尿、进行性肾病、肥厚型心肌病和中风等疾病。
Fabry 病的非典型形式可仅表现为心脏疾病或肾脏疾病。一些基因突变是典型或非典型形式所特有的,但各突变类型和各种临床表型之间并不存在明确的相关性。对于无症状、少症状或由于 X 染色体失活偏斜而呈现典型表现的女性尤其如此。在男性中,可以通过检测白细胞、血浆或培养细胞中 α-GAL 活性不足来诊断 Fabry 病。
NPLRD 患者的肾活检具有异质性,可能表现为微小病变、正常的电镜下表现、足细胞足突融合或 FSGS 病变,但 NPLRD 的典型表现是存在Ⅲ型胶原纤维的沉积。
Fabry 病在肾脏活检中具有非常特异的超微结构表现。光镜下可见足细胞和远端肾小管上皮细胞空泡化,电镜下可见 Gb3 的沉积,表现为成层的结构,称为髓样小体或斑马体。但此类表现并非 Fabry 病独有,二氧化硅、氯喹、羟氯喹、丙咪嗪和庆大霉素均可导致类似包涵体。
本例患者的肾活检发现以及尿 lyso-Gb3 轻微升高,均提示 Fabry 病可能,因此进行了 RNA 和 DNA 检测,以寻找 GLA 的基因种系突变、体细胞变异或拷贝数变化,但结果均为阴性。此前并无非 Fabry 病个体尿 lyso-Gb3 水平升高的报道,其他 CKD 患者可能表现为尿 Gb3 水平升高,但 lyso-Gb3 水平正常,但是其他原因引起的肾磷脂沉积症患者是否也能分泌 lyso-Gb3 尚不清楚。
在 Fabry 病中,髓样小体通常不仅存在于足细胞中,还存在于系膜细胞、内皮细胞、远曲小管和间质中,而在本例患者中,仅在足细胞中存在类似于非 Fabry 病病因的包涵体,这为诊断 Fabry 病以外的疾病提供了线索。
本例患者的 FSGS 病变与既往 LMX1B 突变相关的报道一致。此外,在另外两个家系中也发现了与本例患者一致的 LMX1B 突变和肾脏髓样小体,但为报告生物标志物水平的信息。因此目前无法确定 LMX1B、髓鞘样小体以及 lyso-GB3 排泄之间的明确关联,也不能确定这种沉积是继发于药物或感染引起的溶酶体酶缺陷。提示对于肾活检发现髓鞘样小体的患者,应考虑 LMX1B 相关疾病的可能。
因此,当肾活检中发现髓样小体时,需要综合考虑多种可能的诊断。除了 Fabry 病,还应考虑其他遗传性肾脏疾病,如指甲-髌骨综合征样肾病,以及药物引起的肾脏损伤。通过进一步的遗传学检测、生化分析和详细的病史询问,可以更准确地确定诊断。
参考文献
Pinto E Vairo F, Pichurin PN, Fervenza FC, et al. Nail-patella-like renal disease masquerading as Fabry disease on kidney biopsy: a case report. BMC Nephrol. 2020 Aug 13;21(1):341. doi: 10.1186/s12882-020-02012-3.