
最近
一名20岁的女子
在云南省第三人民医院肝胆胰外科
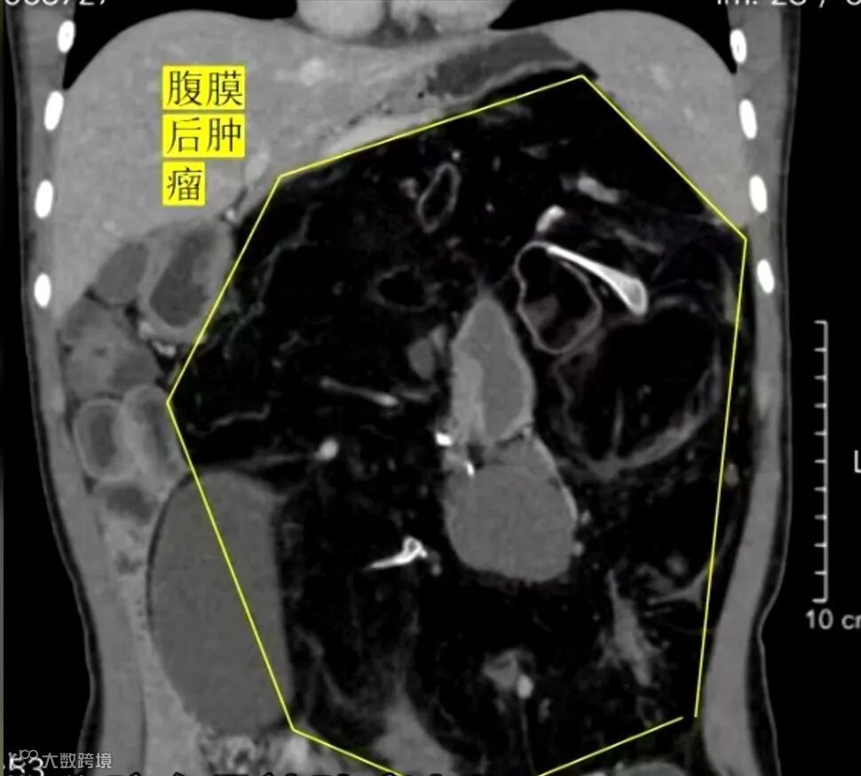
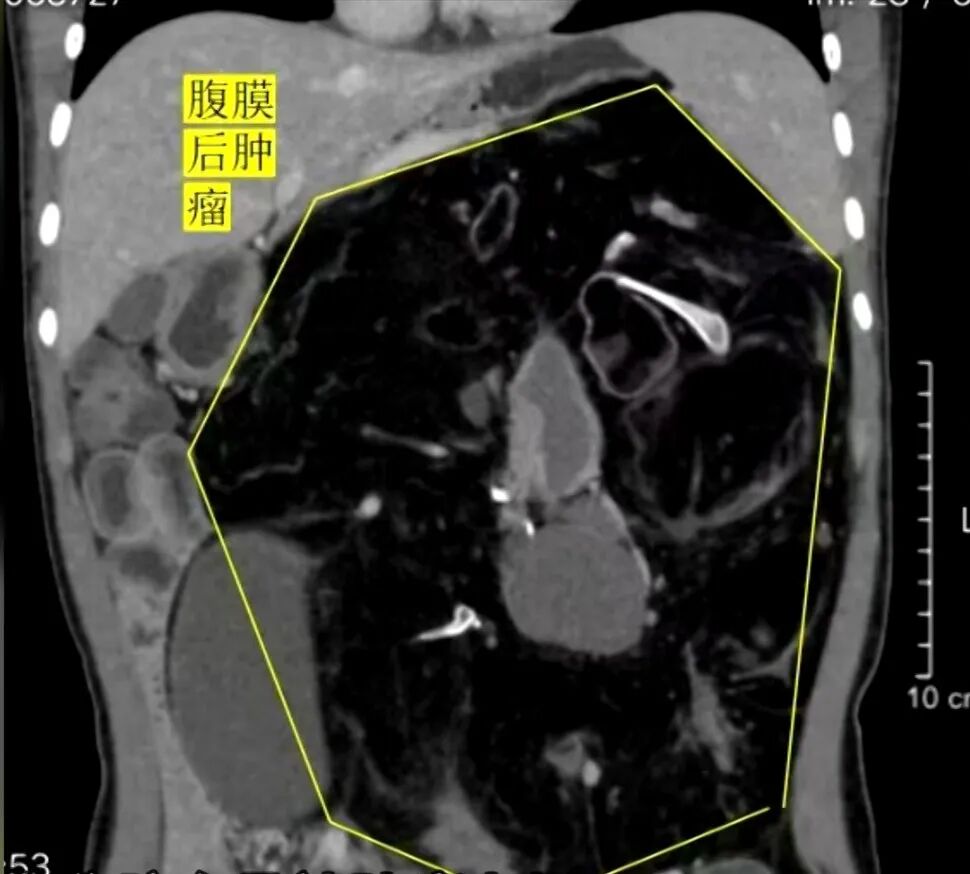
切除了一个罕见的腹膜后畸胎瘤
肿瘤直径大约50厘米
重量达到了5.04公斤
该肿瘤伴随女生
已经长达20年的时间了
云南省第三人民医院肝胆胰外科主治医生 陈伟:“她是一个20岁的年轻小姑娘,来的时候她和我们说肚子摸着很硬,穿的衣服相对比较大。总体来说看着还是比较正常,但是查体的话肚子摸着是韧的,可以摸得到很大一个包块。”

看到女生宛如怀孕般隆起的腹部,医生很快察觉到其体内包块的不简单,而女生手里持有近期的各项检查单也证实了医生的想法。

医院提供画面
云南省第三人民医院肝胆胰外科主治医生 陈伟:“就是挺吃惊、挺大,而且整个脏器被肿瘤挤到了右上腹,整个左边还有盆腔全部被肿瘤占据。肿瘤差不多有40-50厘米左右的一个大小,它是一个圆形的,容积的话估计有个4-5升左右了。”

医院提供画面
患者:“没有不适,就是感觉肚子是大的。”
记者:“其实没有特别的不适,也没有特别影响生活是吧?”
患者:“对。”
原来,女生体内的肿块从很小的时候就开始伴随她了,只是最开始并没有那么大。最近一年多来,肿瘤长得很快,不仅对她的形体产生了影响,伴随的风险也越来越大。

云南省第三人民医院肝胆胰外科主治医生 陈伟:“因为部分肿瘤是良性的,但是有一部分它会发生一个恶变,变成恶性肿瘤,那对全身的影响就很大了。”

女生体内的肿瘤体积庞大且深藏于腹膜后,手术的风险不小。为了做手术,女生也已经辗转了多家医院。
云南省第三人民医院肝胆胰外科主治医生 陈伟:“主要是两点,一个是肾动脉和脾动脉在肿瘤里边穿行,当时也和家属及她本人谈过,有可能她肾脏和脾脏都要放弃,为了切除这个肿瘤嘛。然后手术当中也是在肿瘤里边把它穿行的血管给剥出来了,所以还是把她的脏器都保留了。她肾动脉是被肿瘤侵蚀在里面,那一段我们是做了切除,然后给她重建了,最终还是把她的脏器功能保留了。”

经过四五个小时的精准操作,女生体内重达5.04公斤的“定时炸弹”被成功取出。其他曾经被肿瘤挤压变形的胃、肠管、脾脏和肾脏等脏器,均恢复到了正常位置。

医院提供画面
云南省第三人民医院肝胆胰外科主治医生 陈伟:“我们在肿瘤里面发现了牙齿的组织、骨骼的组织,我们考虑还是一个畸胎瘤。从她的病史来看的话,应该是从出生的时候就一直寄生在她身体里边。像很多人就是说,是不是我把我妹妹或者姐姐什么的在胎儿的时候吃掉了,实际上不是。对于畸胎瘤而言的话,基本上还是和遗传、精神压力、环境这些有关系,它大多数是来自卵巢激素分泌异常产生的。”



