本期病例
患者:男性,49岁。
主诉:突发右侧肢体乏力伴言语不清半小时。
现病史:半小时前无明显诱因出现右侧肢体乏力,表现为右侧上肢不能抬起,下肢不可行走,伴有言语不清,无恶心、呕吐,无肢体抽搐,无大小便失禁等症状。急诊救于我院,行头颅CT提示左侧基底节区脑梗死可能,行头颈部CTA提示左侧颈内动脉闭塞。急诊以“急性脑梗死”入院。发病来,神志嗜睡,精神差,未进食水,小便正常,大便未解。
既往史:患”高血压病“病史9年,最高血压不详,长期口服硝苯地平缓释片对症治疗,血压控制欠佳。10年前因阑尾炎于当地市人民医院行手术治疗,具体术式不详,术后恢复可。无心脏疾病病史,无糖尿病、脑血管疾病病史。
个人史:长期饮酒及抽烟史,余无殊。
神经系统查体:神志嗜睡,完全性运动性失语,右侧中枢性面舌瘫,右侧肢体肌力2级,右侧下肢肌力3级,右侧病理征阳性。NIHSS评分14分。
辅助检查:
化验结果:血常规、肝肾功能、凝血功能、术前快检等未见明显异常。
心电图提示正常心电图。
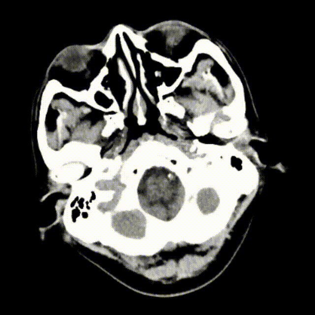
术前CT未见梗死灶。
头部MRI+DWI提示:左侧大脑半球多发脑梗死,DWI像与T2 FLAIR像不匹配。
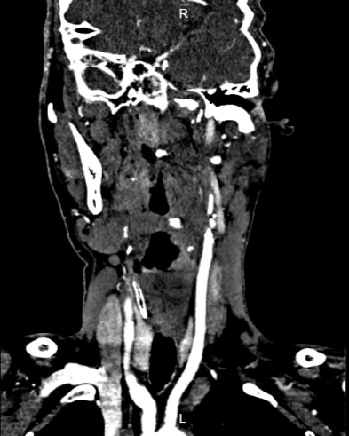
头颈部CTA提示左侧颈内动脉闭塞。
初步诊断
左侧急性脑梗死
左侧颈内动脉闭塞
高血压病
治疗策略
患者急性脑梗死,右侧肢体偏瘫,伴有失语,结合术前相关影像学检查,考虑为左侧颈内动脉所致。患者家属拒绝行静脉溶栓术,结合目前临床指南,患者可急诊行血管内治疗。
手术方式
抽吸导管抽吸血栓,备支架取栓,必要时保护伞下行球囊扩张成形术及支架置入术。
6F 90cm 动脉长鞘
5F 125cm MPA1造影导管
徕瑞 6F Oneering®远端通路导管
徕瑞 200cm Sur-reach®微导丝
一次性颅内血栓保护伞
颈动脉球囊
2.5*15mm 颅内动脉球囊扩张导管
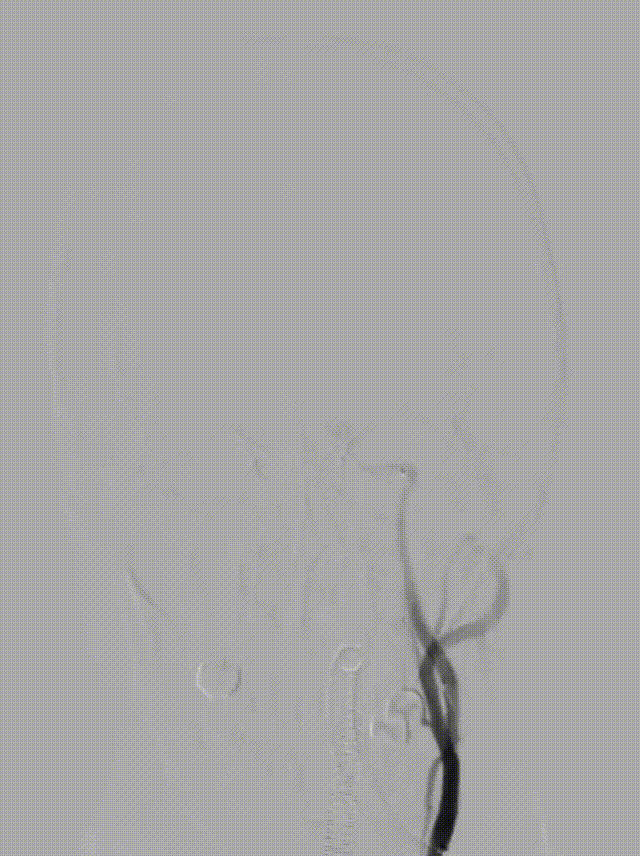
右侧颈内动脉造影动脉末期可见左侧大脑前动脉经软膜支向左侧大脑中动脉供血区域代偿,后循环未向左侧大脑中动脉代偿。
左侧颈总动脉造影可见颈内动脉闭塞,动脉末期可见颈外动脉经眼动脉向颈内动脉代偿,颈内动脉末端以远不显影。
在泥鳅导丝及5F MPA1造影管配合下将6F股动脉长鞘至于左侧颈总动脉行路图,在200cm Sur-reach®微导丝配合下将2.5*15mm颅内球囊扩张导管扩张后,将6F导管鞘通过颈内动脉起始部闭塞段,行路图可见颈内动脉颈段至海绵窦段后膝处血栓影,左侧大脑中动脉闭塞。
将6F Oneering®远端通路导管自颈段负压抽吸至左侧大脑中动脉M1段,抽吸出大量血栓。行路图提示颈内动脉及大脑中动脉通畅。
术后造影:可见左侧颈内动脉通畅,大脑前动脉不显影,因患者前交通动脉开放,未处理。
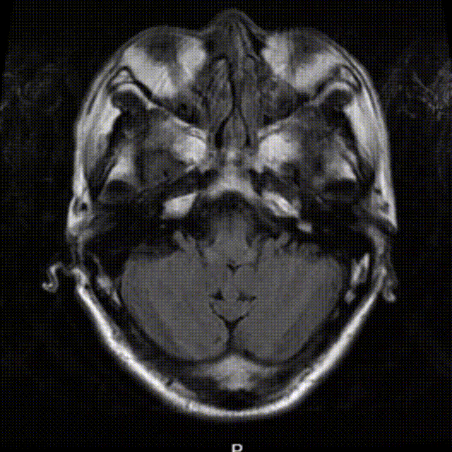
术后第二天影像。
术后1周出院。查体:神志清楚,运动性失语较前明显好转,目前表现为流利程度下降,双侧眼球无凝视,双侧鼻唇沟对称,伸舌居中,双侧肢体肌力5级,肌张力及腱反射正常,双侧病理征未引出。NIHSS评分1分。
术者体会
术者简介
惠磊
河南医药大学第一附属医院
神经外科主任,神外一支部书记,硕士生导师
任河南省康复医学会重症康复分会副主任委员,河南省康复医学会神经重症分会副主任委员,中国非公医疗机构协会脊柱脊髓专委会常委,河南省微循环学会神经重症分会副会长,河南省医院协会颅脑损伤救治与重症管理分会副主任委员,河南省医学会神经外科分会委员,河南省医师协会神经外科分会委员
马鹏举
河南医药大学第一附属医院
神经外科副主任医师,硕士研究生导师,河南医药大学第一附属医院脑科医院副院长,脑血管病组组长
河南省物理医学会神经系统疾病介入治疗专委会副主任委员,河南省卒中学会神经介入分会常务委员,河南省卒中学会脑心同治分会常务委员,河南省卒中学会脑出血微创治疗分会常务委员,河南省医院协会颅脑损伤救治分会常务委员
擅长颅脑损伤、脑出血、颅内及椎管内肿瘤、脊髓空洞、环枕畸形、颅内动脉瘤及烟雾病等神经外科常见疾病的诊治,对各类脑血管的介入治疗有丰富的临床经验
第一作者发表 SCI 4篇,发表各类中文核心期刊10余篇
马驰
河南医药大学第一附属医院
主治医师,医学硕士
专注神经外科领域临床工作,擅长颅脑创伤、脑出血等急危重症的综合救治,熟练掌握颅内动脉瘤、烟雾病等脑血管疾病的诊疗及介入治疗技术,在神经内镜辅助下脑垂体瘤、脑膜瘤等常见肿瘤的微创手术治疗方面具有丰富经验
杨明
河南医药大学第一附属医院
主治医师,医学硕士
擅长颅脑损伤、脑出血、颅内颅内动脉瘤、脑血管病、烟雾病、神经修复、神经重症治疗等神经外科常见疾病的诊治,于首都医科大学宣武医院进修,擅长各类脑血管的介入治疗及诊治
产品信息
徕瑞医疗成立于2019年8月,是一家聚焦于神经介入领域的高端医疗器械的研发制造企业,2025年,徕瑞医疗成为迈得诺医疗集团全资子公司。徕瑞医疗致力于高品质、创新性的三类高端植介入医疗器械的研发和制造,所有产品具有完全的自主知识产权。在发展模式上,徕瑞医疗构建了独特的“双轮驱动”模式:一方面大力投入制造能力建设,引进世界上最先进的生产线设备,同时自建原材料和基础产业加工基地,通过掌握上游供应链的核心能力,确保产品品质可控,为企业未来的发展方向进行技术储备。另一方面,徕瑞医疗与国内外顶尖医疗机构开展医工合作,致力于通过创新和精益求精的精神打造卓越的产品,为全球神经介入医学的进步创造价值,为脑卒中患者的康复提供最大的福祉。
迈得诺医疗集团是一家集研发生产、销售、投融资为一体,专注于医疗健康产业的多元化大型集团公司。
2020年11月,迈得诺医疗集团总部正式落户苏州高新区,以“自研+收购+参股”模式设立多个医疗器械项目,布局多元化赛道,形成集团产业技术战略宏图。
未来,迈得诺集团将继续坚持微创介入领域的多元化经营,以销售为起点,以战略为牵引,以资金实力为依托,以科技创新为突破点,研发具有自主知识产权、技术含量高、质优利民的高科技创新型产品;立足国内,放眼国际,依托持续的研发投入和先进的产品赢得更广大的市场,为成为全球微创介入集团型高科技医疗解决方案提供商而不懈努力!
迈得诺医疗集团官网:
https://www.mednovogroup.com/
声明:脑医汇旗下神外资讯、神介资讯、脑医咨询所发表内容之知识产权为脑医汇及主办方、原作者等相关权利人所有。未经许可,禁止进行转载、摘编、复制、裁切、录制等。经许可授权使用,亦须注明来源。欢迎转发、分享。
投稿/会议发布,请联系400-888-2526转3
脑医汇App(原神介资讯App)全新功能“AI问答”正式上线,您临床实践中的得力助手!欢迎点击“阅读原文”了解更多!
点分享
点点赞
点在看

