
椎体终板骨软骨炎简称椎体终板炎, 是一种发生于软骨的无菌性炎症, 多由于椎间盘变性引起,好发于颈椎及腰椎,是患者局部疼痛的原因之一,临床易漏诊、误诊。
正常解剖
椎间盘由纤维环、髓核及透明软骨终板组成,其中软骨终板即椎体的上下软骨面,形成髓核的上下界,与相邻的椎体分开;纤维环是在上下软骨板的周围有一圈同心层排列的纤维组织;髓核是一种富有弹性的半流体的胶状物质,占椎间盘横切面的 50%~60%。
软骨终板在椎体上下各有 1 个,其平均厚度为 1 mm。组织学上为薄的透明软骨,它的作用是承受压力,保护椎体,控制椎间盘营养渗透,只要软骨终板保持完整,椎体一般不会因压力而产生骨质吸收现象。
发生机制
①椎间盘退变终板承受的轴向载荷及应力增加造成局部骨髓的微环境改变使骨髓在组织学上发生改变;
②反复的力学负荷使终板及终板下骨显微骨折;
③椎间盘重复性创伤使髓核内部炎性物质产生,通过终板扩散导致局部炎症;
④低毒力感染等因素。
椎间盘发生退变后终板的保护作用减弱或丧失,领近椎体松质骨水肿,椎体纤维化及钙化,椎体脂肪浸润。
椎体终板炎分型及 MRI 表现
椎体终板炎在 MRI 上表现为椎体的上缘或下缘的终板结构模糊,椎体终板紧邻椎体内横行条带状或斑片状异常信号,信号异常区与椎体正常信号区域之间界限模糊,部分可相对清楚。
Modic 等对其分型标准及组织学变化进行了系统描述,将其分为 3 型:

Modic 1型,椎体中有血管(毛细血管)发育,同时存在炎症和水肿。

Modic 2型,骨髓被脂肪替代。

Modic3型,表现出终板硬化和小梁骨折

Ⅰ型为纤维环有破坏和裂隙,血管肉芽组织长入,骨髓水肿已经发展。
Ⅱ型为骨骼缓慢降解,脂肪组织取代骨髓。
Ⅲ型为终板软骨的硬化,椎体会变硬并形成骨赘
Modic影像表现:
Ⅰ型:组织学表现为终板及终板下区域有丰富的肉芽组织长入, 纤维血管组织代替了增厚的骨小梁间的正常骨髓,从而延长了椎体 T1、T2 驰豫时间,T1WI 上终板及邻近骨质表现为低信号,T2WI 上表现为高信号,抑脂序列呈高信号,表明骨髓水肿。
Ⅱ型:组织学表现为骨髓脂肪变性或骨髓缺血坏死,导致 T1 及 T2 时间缩短,在 T1WI 上呈高信号,T2WI 表现为稍高信号,抑脂序列呈低信号;
Ⅲ型:组织学上表现为骨硬化,引起 T1 弛豫时间延长,T2 弛豫时间缩短,T1WI 及 T2WI 均表现为低信号,与平片和 CT 上致密骨硬化相对应。


分型 |
MRI 表现 |
Ⅰ型 |
T1WI 低信号,T2WI 高信号,抑脂序列高信号 |
Ⅱ型 |
T1WI 高信号,T2WI 稍高信号,抑脂序列低信号 |
Ⅲ型 |
T1WI、T2WI 及抑脂序列均为低信号 |
典型病例
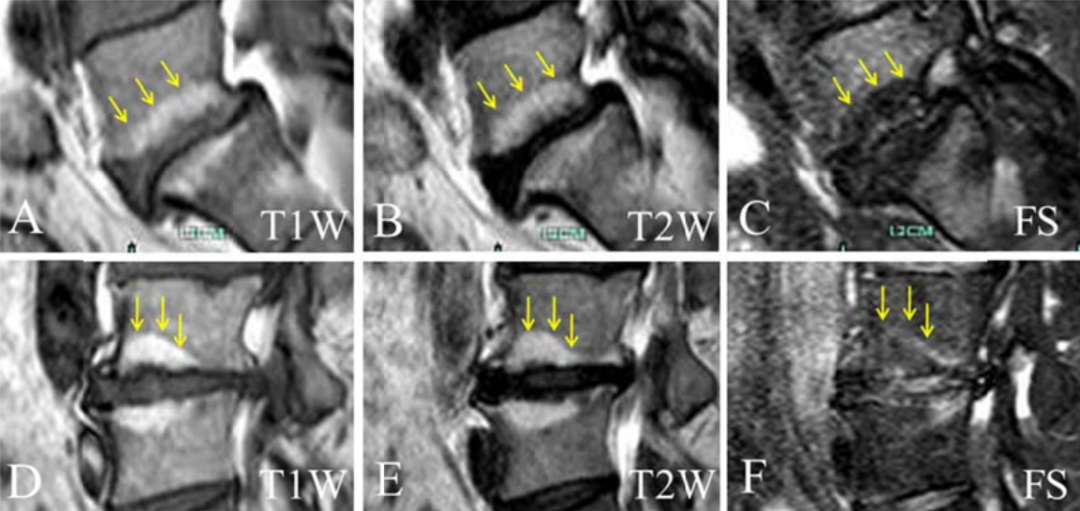
Modic Ⅰ型:
L4-5椎间盘上下缘见条带状异常信号,T1WI低信号,T2WI高信号,STIR序列高信号。
L5-S1椎间盘上下缘见条带状异常信号,T1WI低信号,T2WI高信号,STIR序列高信号。
Modic Ⅱ型:
L4-5椎间盘上下缘见条带状异常信号,T1WI高信号,T2WI高信号,STIR序列低信号。
L5-S1椎间盘上下缘见条带状异常信号,T1WI高信号,T2WI高信号,STIR序列低信号。
Modic Ⅲ型:
L5-S1椎间盘上下缘见条带状异常信号,T1WI、T2WI及STIR序列均呈低信号。
Modic 变主要位于腰椎远端,与椎间盘退变、椎间盘突出及年龄相关,但与性别无关,正常椎间盘很少见。正常人群中 6% 存在腰椎 Modic 变,在临床患者中则为 43%。尽管 Modic 变与疼痛明确相关,但其与腰痛疗效的关系,尚不明确。
Modic 变(Ⅰ型、Ⅱ型)仅在 MRI 上可见,X 线上看不到,可累及终板全部及椎体。
临床上,Modic 改变以 Ⅱ 型最多见,Ⅲ 型少见。
2009 年,Fayad 等在经典分型基础上,提出混合型的分型:
Modic I-2 型:混合性水肿和脂肪改变,以水肿为主;
Modic II-1 型:混合性水肿和脂肪改变以脂肪变性为主。
随后,Feng 等利用抑制像 MRI,回顾性分析 65 例 Ⅱ 型 Modic 改变(150 个终板)的腰痛患者 MRI 图像后发现,其中 75.3% 的终板在 T2 抑脂像上呈高信号,提示大多数 Ⅱ 型 Modic 改变存在局部水肿性病变。
Sun 等通过 CT 研究发现,Ⅱ 型 Modic 改变区域的 CT 值明显高于非病变区域,且相邻椎间盘退变越重,病变区域的 CT 值则越高。提示 Ⅱ 型 Modic 改变也存在骨硬化,且相邻椎间盘退变越重,骨硬化则越严重。
其实,Modic 改变是一个动态的病理过程,Ⅰ 型和 Ⅱ 型 Modic 改变随着时间的推移可以相互转换。
Mitra 等采用 MRI 纵向研究发现,在大多数情况下,Ⅰ 型 Modic 改变要么转化为 Ⅱ 型,要么变得更广泛。此外,约 20% 的病变为混合型,此混合型其实是同一病理过程的不同转变阶段。
最近,Udby 等依据椎体受累程度,提出了 Modic 改变临床分级:
类似于椎间盘退变可使用 Pfirrmann 分类对其严重程度进行分级,Modic 改变的描述也需要同时考虑骨髓改变的分型和分级。
如果同一功能单元内存在不同/混合型 Modic 改变,则应描述最具临床意义的 Modic 改变(首先 Ⅰ 型,其次 Ⅱ 型,最后是 Ⅲ 型)。
而最严重的分级,根据椎体内 Modic 改变垂直范围最大的矢状切面,应使用 C 级 > B 级 > A 级,以清楚地描述功能单元内最具有临床相关性的变化。
鉴别诊断
椎体终板炎应与腰椎结核、化脓性脊柱炎以及转移瘤等相鉴别。
终板炎:终板及邻近椎体的异常信号区与正常椎体的界限交清楚,且无骨质吸收破坏,在 T2WI 上常伴椎间盘信号减低;
化脓性脊柱炎:起病急,疼痛感剧烈,有发热,椎间盘与椎体界限不清,有较广泛的椎体骨髓受侵,增强后呈明显均匀或不均匀强化;
腰椎结核:表现为椎间盘及椎体骨质的破坏, 椎旁有时还伴有冷脓肿形成;
L4、5椎体结核伴椎旁脓肿形成。
转移瘤:有肿瘤病史,病变很少累及椎间盘,多个椎体溶骨性或膨胀性破坏,肿瘤易侵犯附件、椎管或椎旁。
MRI示 部分椎体及附件信号异常,T1WI及T2WI呈低信号,STIR序列呈明显高信号,DWI序列呈高信号。考虑为转移瘤。
2、Modic 改变的诊断与腰痛
依据病史和 MRI 特征,Modic 改变很容易确认,但部分病例(如伴发热或急性剧烈腰痛)需排除椎间感染。此外值得注意的是,Modic 改变仅是影像学表现,就好比椎间盘退变,其是否具有临床意义,需要结合患者的具体症状和体征。
目前,Modic 改变相关研究多集中于腰椎。越来越多的证据提示 Modic 改变与椎间盘退变和腰痛密切相关,是严重腰痛发作的独立危险因素,且 Modic 改变大小与腰痛程度呈正相关。
一项 Meta 分析发现,在腰痛患者中,Modic 改变的中位发生率为 43%,而在无症状者却仅有 6%。
2019 年,Dudli 等综述发现 Modic 改变是症状性终板退变的影像标志物,其作为疼痛的来源经常被低估。
其实,椎体及终板的神经支配主要来自于窦椎神经的分支椎基神经,而椎基神经中 P 物质和 PGP 9.5 呈阳性反应,提示椎基神经可传递疼痛。生理情况下,终板的神经密度类似于外层纤维环。
然而,病变终板的神经密度明显高于无病变终板和病变的纤维环。
左图为正常的纤维环和终板神经支配情况,右图为病变的纤维环和终板,可见神经末梢向深层长入。
理论上讲,任何接受神经支配的腰椎及其相邻的软组织结构都可能是腰痛的起源部位。因此,Modic 改变有引起腰痛的解剖学基础。
临床上,多数学者赞同 Ⅰ 型或 Ⅱ 型 Modic 改变的组织学特点决定它可引起腰痛,尤其是 Ⅰ 型 Modic 改变。但临床上,这种腰痛很难与椎间盘退变诱发的腰痛相鉴别。
有些学者尝试采用腰椎间盘造影来明确 Modic 改变与腰痛的具体关系,但尚存争议。
3、Modic 改变的治疗
对于无症状的 Modic 改变无需特殊处理,而症状性 Modic 改变多以保守治疗为主。
保守治疗包括腰背肌功能锻炼、理疗和药物(非甾体抗炎药、双磷酸盐类等)等对症治疗。
采用抗生素治疗 Ⅰ 型 Modic 改变引起的慢性腰痛尚存争议,最新发表在 BMJ 上的 RCT 研究并不支持使用抗生素治疗症状性 Modic 改变。
而对于 Modic 改变引起的难治性、持续性慢性腰痛,保守治疗无效则需进一步有创治疗。
目前,文献报道椎间盘内注射糖皮质激素、可吸收骨水泥的椎体增强术、椎体内椎基神经射频消融术和经皮内镜下硬膜外椎基神经激光消融术均可有效改善伴 Ⅰ 型或 Ⅱ 型 Modic 改变且椎间盘造影阳性的慢性腰痛患者的腰痛症状,尚无采用开放手术(如融合术、椎间盘置换等)治疗 Modic 改变的相关证据。
①吸收骨水泥的椎体增强术
a、b 和 c 提示 L4/5 椎体 Ⅰ 型 Modic 改变,d 提示 L4、L5 进行骨水泥注射的术中影像,e 提示术后复查 L4 椎体骨水泥填充情况。
②椎体内椎基神经射频消融术
③经皮内镜下硬膜外椎基神经激光消融术
值得关注的是,系列前瞻性多中心随机对照研究和前瞻性观察研究证实椎体内椎基神经射频消融术可有效缓解疼痛性 Ⅰ 型或 Ⅱ 型 Modic 改变患者的腰痛症状,减少阿片类药物的用量,且疗效优于保守治疗。
国际脊柱外科手术学会指南也推荐采用椎体内椎基神经射频消融术治疗 Ⅰ 型或 Ⅱ 型 Modic 改变引起的慢性腰痛。
2021 年,Conger 等进行系统综述发现有中等质量的证据表明,在根据存在 Ⅰ 型或 Ⅱ 型 Modic 改变选择慢性腰痛患者时,椎体内椎基神经射频消融术可有效改善慢性腰痛患者的疼痛和功能障碍。这可能与灭活了椎体内的椎基神经, 阻断了神经传导通路有关。


