1.简介
牙齿是在日常生活中发挥多种不同功能的感觉器官。咀嚼是牙齿的一项重要的功能,与个人的生活质量密切相关;良好的咀嚼能力能够提升生活质量。除此之外,牙齿还参与语音的形成以及微笑等日常活动,因此,由于其在美观、咀嚼和言语等方面的作用,牙齿被认为是与生活质量息息相关的重要器官。当人体其他器官受损时,人们会投入大量精力防止进一步损伤或试图修复已发生的损害。然而,令人惊讶的是,当涉及到我们的牙齿时,患者和一部分牙科专业人士似乎并不那么重视牙齿的保存。这是一种负面现象,因为一个人拥有的天然牙列越完整,其生活质量越有可能更高。不幸的是,这些至关重要的器官并非无敌,会在人的一生中因多种原因而丧失。牙周病、龋齿及牙齿外伤都可能导致各年龄段的人群出现牙齿缺失。此外,为治疗牙周病、龋齿和外伤所提供的治疗也可能导致牙齿丧失或预后不良。
在当今的种植牙时代,有多种治疗方法可用于挽救牙齿或替换缺失的牙齿。例如牙周治疗、引导骨再生、支持性牙周治疗、牙髓治疗以及种植牙。然而,在确定治疗方案之前,必须做出准确的诊断,并随后进行公正无偏见的预后评估。在评估预后时,应检查患者,以评估不同治疗方案的长期预后,并确定哪种方案从长远来看最适合该特定患者。例如,评估一颗患牙时,需要评估采取措施拯救牙齿是否会比拔牙并种植牙带来更好的预后。
为了恰当地为患者评估和选择治疗方案,需要对影响牙齿和种植体预后的众多因素有公正且基于证据的理解。在向患者提出各种方案之前,评估所有方案的真实预后,并考虑支持每个决策的最佳现有证据至关重要。
2.牙齿缺失
一些研究探讨了与牙外伤、牙周病和龋齿相关的牙齿缺失的流行情况。这些研究存在局限性,因为收集使用不同指标收集的大量数据相当困难。然而,有些研究提供了关于牙齿缺失原因的概述。
在美国,2009年至2014年,有600多万50岁以上的人缺牙。龋齿导致的平均缺牙数量差异较大,但有报告显示,在20至64岁人群中,龋齿造成的牙齿缺失(即DMFT指数中的“M”缺失部分)占8.35颗。同一研究指出,仅有15.7%的研究对象未曾拔过牙。拔牙的原因包括疼痛(34.6%)、大面积龋坏(5.6%)、牙周问题(6.0%)以及牙髓问题(3.2%)。另一项针对14至89岁人群缺失牙的研究发现,龋齿导致的拔牙占86.2%,牙周病引起的拔牙占6.6%,外伤引发的拔牙占3.9%。在年轻群体(5-12岁)中,拔牙的主要原因似乎是龋齿(64.3%)和牙齿外伤(43.0%)。欧洲和美国的研究估计,牙周炎影响个体的比例在31%-76%之间。这一比例意义重大,因为由牙周病导致的牙齿丧失平均每患者每年为0.04至0.08颗。根据年龄划分研究牙齿丧失情况时,80%因龋齿而进行的拔牙发生在40岁以下的人群中,而70%因牙周病进行的拔牙则发生在40岁以上的人群中。
3.牙齿和种植体的长期预后
尽管人们对口腔种植体抱有高度期待并取得了令人鼓舞的结果,但关于其真实使用寿命存在一些误解。某知名医疗网站宣称,牙科种植体的成功率为98%。其他看似可信的网站也报告了介于95%至98%的成功率。然而,这些网站通常报道的是种植体的存活率而非成功率,并且追踪随访时间较短。只要种植体仍在口腔中,就被认为是“存活”的,这意味着其中包括患有种植体周围黏膜炎、种植体周围炎、严重骨丧失和休眠种植体在内的所有种植体。然而,研究显示,在5到10年后,80%的种植体出现了种植体周围黏膜炎,而12%-66%的种植体发生了种植体周围炎。患病的种植体很难被称为成功的;然而,有时患者并没有得到这些信息。因此,患者很难做出明智的决定。不幸的是,即使将牙种植体作为一种选择,也可能在不经意间影响治疗规划。因此,临床医生有责任依据当前有关牙科种植体的证据来教育患者,而不是依赖观点或信念。
当牙齿因龋齿、牙周病或外伤而导致缺失或预后无望时,往往会选择种植体作为治疗方案。然而,一项针对侵袭性牙周病患者的的研究表明,被标记为可疑甚至无望保留的牙齿实际上可以在口中保留长达15年。当前用于评估预后的工具有时可能过于悲观、缺乏预测性,可能导致临床医生过早拔除牙齿。此外,由于牙科种植体相对较新,因此关于其成功性的长期数据不足,这是在计划拔牙后植入种植体之前需要考虑的重要因素。
当向患者提供挽救患病或受创伤牙齿的治疗方案时,作为比较的治疗方案不应是理想的、健康的种植体,而应与可能出现如种植体周围黏膜炎或种植体周围炎等并发症的现实情况下的种植体进行对比。这一点得到了证据的支持,研究表明即使是受到损害但经过适当治疗和维护的天然牙齿,其存活率也优于种植体。一项系统回顾报告显示,长期自然牙齿脱落率在3.6%-13.4%之间,而种植体脱落率则在0%-33%之间。另一项回顾性研究比较了种植体与经根管治疗牙齿的生存率。牙科种植体的生存率范围为73%-95.5%,而经根管治疗牙齿的生存率范围为89.7%-98.1%。
研究显示,经过适当治疗和维护的受损牙齿在长期随访中的高存活率超过了牙科种植体的存活率。值得注意的是,拔牙是一个不可逆的决定,一旦种植体失败,拔牙所造成的损失无法恢复。因此,拔牙的决定需要深思熟虑。
4.保留患牙
对于因外伤、龋齿或牙周病导致的受损牙齿,主要有两种选择:保留牙齿或拔除。保留牙齿可能并非易事,但重要的是要认识到拔牙并植入种植体可能涉及复杂的程序,如骨增量和软组织管理。如果决定保留牙齿,则可能需要以下治疗以确保获得更好的长期效果。
4.1.牙髓治疗
深度龋损以及诸如脱出、侧向移位和嵌入等创伤性牙损伤最终可能导致牙髓坏死。在这些情况下,患者可能需要接受牙髓治疗以挽救牙齿。在某些严重病例中,拔牙可能被考虑为替代治疗方案。当将这些选项提供给患者时,详细阐述每种情况的利弊至关重要。2007年的一项系统回顾报告指出,初次根管治疗的成功率介于68%-85%之间。对经过牙髓治疗的磨牙进行10年的随访显示成功率为89.2%,而另一项10年随访研究则显示出84.1%的成功率和93%的存活率。其他针对成人的研究表明,在初次或二次(即再治疗)牙髓治疗后4年的随访期内,牙髓治疗后的存活率可高达95%,其中初次治疗的成功率为83%,二次治疗的成功率为80%。Setzer和Kim32对经牙髓治疗的牙齿与种植体进行了详细的对比,结果显示种植体的损失率高于经牙髓治疗的牙齿。基于现有证据,如果可以进行根管治疗,它可能是优于种植体的选择。
4.2.牙周治疗
当牙齿受到牙周问题的影响时,其预后就已经确定,并且再次有两种治疗选择:牙周治疗以保留牙齿和拔牙。然而,在为牙周受损牙齿确定预后时,缺乏可用的理想工具来准确做到这一点。因此,关注并尽力挽救受损牙齿是一种值得重视的治疗选择。
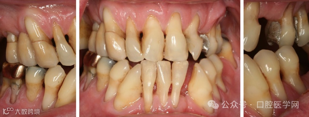
牙周治疗可能包括不同的手术、骨增量和支持性牙周治疗。支持性牙周治疗涉及严格的随访、频繁的洁治和根面平整,最重要的是口腔卫生教育和指导。牙周治疗后适当的支持性牙周治疗在文献中有显著的成功案例,并且似乎取决于患者的依从性(图1)。如果患者遵循医嘱配合良好,受损牙齿的生存几率将会提高。经适当治疗和定期维护的牙周受损牙齿的存活率范围在92%-93%之间。此外,即使是在被诊断为C级牙周病(以前被称为侵袭性牙周炎)的患者中,被认为无希望保留和存疑的牙齿的存活率也分别达到60%-88%。因此,不应仅仅因为拔牙看似是较简单的治疗方案就优先考虑拔牙,而应优先采用牙周治疗结合适当的支持性牙周治疗来保留牙周受损牙齿。若这种治疗不成功且必须拔除牙齿,仍然可以选择种植体作为备选方案,因为作为备份治疗手段,种植体10年的存活率可达82%-94%。
图1
一位患者在经过支持性牙周治疗后,其牙周状况已得到稳定,尽管牙周组织明显减少。目前,患者的牙齿无松动现象,且不存在牙周袋或活动性牙周病灶。
4.3.意向再植
即使一颗受到牙周或牙髓问题严重影响的牙齿无法挽救,种植体也不一定是下一个首选治疗方案。意向再植术是指有目的地拔除受损牙齿并将其重新植入原牙槽窝中。尽管意向再植术被视为最后的选择,但据报道,在最初的6个月内成功率高达90%。在6个月至12个月期间,存活率从85%降至80%,而在48个月后,再植牙齿的存活率趋于稳定。一项包含6项研究的荟萃分析也显示,意向再植牙齿的成功率为89.1%。此手术的成功受多种因素影响,包括牙周病的程度和根部是否存在断裂。然而,这是一项相对简单、成本低于种植体且对患者带来较少不适的手术。虽然再植牙齿的存活率可能不如传统的牙周治疗和牙髓治疗效果好,但其存活率仍然较高,并作为一种保守治疗选择可能适合某些患者。
4.4.自体牙移植
当牙齿因外伤脱落、拔除或先天缺失时,用种植体替换缺失牙齿是一种治疗选项。然而,另一种可行的方法是使用另一颗牙齿来替代缺失的牙齿。自体移植涉及将供体牙齿移动到同一患者内的受体位点(图2)。自体移植的并发症包括牙髓坏死、牙根吸收和牙齿松动度过大。自体移植不仅因为高成功率而成为一个好的选择,对于尚处于生长发育阶段不能接受种植体治疗的患者来说也是一个很好的解决方案。建议在患者停止生长后再进行种植体植入。如果在年轻时因创伤、龋齿等原因失去牙齿,则可能需要长时间缺牙。自体移植为青少年和正在生长发育的患者提供了一个替换缺失牙齿的治疗选项。如果自体移植不成功,患者仍可以选择种植体治疗。但是,如果首先植入种植体却失败了,第二轮和第三轮的种植体治疗成功率通常不如第一轮高。
图2
13岁男孩的上颌前磨牙自体移植到因牙外伤缺失的门牙区。术后即刻临床和影像学视图。
5.拔除患牙—保留组织
如果决定拔除受损牙齿,必须仔细考虑并最重要的是向患者详细解释长期后果。关于种植体的媒体报道不仅可能误导患者,也可能误导临床医生。当我们评估一颗存在问题的牙齿与理想状态下完全骨结合的种植体之间的预后时,很难进行准确比较。相反,应从手术过程本身开始考虑并讨论植入种植体的潜在并发症。若骨量不足,可能需要首先对患者进行骨增量手术。在完成该手术的愈合期之后,才能植入种植体。然而,患者中普遍存在一个误解,即种植体包括了整个牙齿,连同冠部一起。由于事实并非如此,植入种植体后需要先愈合,然后才能进行修复治疗。不仅种植体植入是一个耗时的过程,这些手术还可能伴有如上颌窦穿通、神经损伤、出血和骨板穿孔等并发症。此外,种植体并非无敌,可能更容易受到口腔细菌侵害,并且需要恰当的随访和维护。种植体周围黏膜炎和种植体周围炎等并发症十分常见;种植体周围黏膜炎的发生率约为80%,而种植体周围炎影响大约12%-66%的种植体。尽管人们普遍认为种植体的成功率高达99%,但理解当前证据并在治疗计划过程中应用这些信息至关重要。处理缺失牙齿的其他选择包括不采取治疗、固定或可摘局部义齿,或者通过正畸移动来关闭间隙,而不一定非要放置种植体。此外,当一颗牙齿被认为无望时,仍有可能利用这颗牙齿来为未来的种植体植入保存软硬组织。
5.1.软硬组织的保留
即使在充分考虑所有预后因素后,确定牙齿确实无望,立即拔牙也未必是理想的治疗方案。有时,患者可能会因为焦虑、费用问题或年龄过小等原因推迟种植体植入。然而,一旦牙齿被移除,牙槽骨可能发生吸收。在此过程中,硬组织和软组织都可能发生变化,当患者准备接受种植体植入时,恢复这些组织将更具挑战性。为了达到理想的美观效果,在拔牙前必须考虑到硬组织和软组织的保留。使用诸如冠切除术或正畸牵引等程序已被证明在保存或增强硬组织和软组织方面非常有用。
5.1.1.冠切除术
导致牙齿脱出并重新植入牙槽窝的牙外伤最终可能导致牙根固连(ankylosis)。在儿童和青少年中,这也可能导致牙齿低位埋伏,并在正畸治疗期间引发不良事件。在某些情况下,推荐的治疗方法是手术拔除固连的牙齿,但这本身就是一个创伤性的手术。另一种选择是冠切除术(图3)。这种治疗涉及去除牙齿的冠部,仅留下牙根在骨内。通常情况下,牙齿之前已经接受了牙髓治疗。在覆盖牙根之前,需先移除牙髓填充物,使牙根管充满血液。执行这一操作的目的在于让牙根最终被骨质取代,从而维持牙槽骨的体积以满足美学需求和未来种植体植入。与拔除固连牙齿这种可能带来负面后果的创伤性手术相比,冠切除术是一种更为可预测且保守的手术方法。此外,冠切除术还可以为未来的种植体植入保留牙槽嵴的高度和宽度。
图3
进行冠切除术以保留骨质用于未来种植体植入。请注意随访放射影像中标记有箭头处(coronal to the root)的骨质生长情况。(图片由Yuli Berlin-Broner博士和Eyal Nuni博士提供)
5.1.2.正畸牵引术
另一种选择,特别是针对生长发育中的患者,是对受损牙齿进行正畸牵引。在美学区域放置单颗牙齿种植体可能颇具挑战性,因为需要考虑的因素包括患者的微笑线、邻牙及周围硬组织和软组织的形态特征。如果拔除了一颗牙齿并导致骨吸收,进而改变了硬组织和软组织结构,那么这项任务将变得更加困难。然而,如果一颗牙齿预后无望,拔牙通常是首选治疗方案。为了避免因拔除受损牙齿而导致的骨吸收,对牙齿进行正畸牵引可能是一种有效的治疗方法。这种治疗手段通过正畸方式拉出牙根,从而增加附着龈宽度,并为未来种植体植入保留牙槽骨。由于经过正畸牵引处理后,患者在植入种植体时更有可能不需要进行骨增量手术,因此正畸牵引成为更为保守的选择。
6.维护与随访
无论是决定拔除牙齿还是保留,维护和随访在整个治疗过程中都是至关重要的。作为治疗过程的一部分,必须确保口腔内无龋齿、感染或活跃的牙周病发生。这意味着要教育患者正确进行口腔卫生保健,并确保牙周病稳定,新龋齿或外伤的风险较低。这包括对参与高风险运动或活动的患者提供关于使用护齿器和头部保护装备的指导。此外,必须实施严格的复查预约制度。重要的是,这种复查制度应基于患者的具体需求制定。对于不同类型的牙外伤,国际牙外伤学会已发布针对不同损伤建议的随访频率指南。如果一颗受损的牙齿被拔除并植入了种植体,同样需要遵循这一原则。由于种植体周围疾病的高发率,有必要在最早阶段诊断并治疗种植体周围黏膜炎,以防止其发展成骨丧失。总的来说,严格随访使临床医生能够早期发现潜在并发症,并帮助避免并发症进一步恶化。
7.伦理考量
通常情况下,临床医生会尝试评估受损牙齿的预后。然而,文献显示,这种努力并不十分成功或准确。鉴于此,临床医生在拔除受创伤的牙齿或有严重疾病及骨丧失的牙齿之前,需要谨慎思考。此外,牙外伤患者往往年轻且仍在生长发育中,因此植入种植体是一项长期承诺。如果一名20岁的患者需要种植体,他们可能需要这个种植体维持70年甚至80年的成功使用。不幸的是,目前几乎没有数据显示50年或70年后种植体的效果。还应注意的是,牙齿及其周围组织与种植体周围的生物学特性是不同的,自然牙齿所处的组织结构能为其提供更好的长期保护。因此,前面概述的程序非常重要,它们可以帮助患者更长时间地保留牙齿,或者至少保持骨质以便在放置种植体时,可能患者所需的种植体使用时间会缩短。为了履行我们作为医疗保健提供者的伦理义务,临床医生需要了解当前的证据,并准确呈现所有可用治疗方案的优缺点。
8 结论
牙外伤、龋齿和牙周病都会损害牙齿。然而,我们真的需要拔除受损的牙齿吗?即使治疗并不能保证让患者的牙齿终身保留,但延迟植入种植体以及保护硬软组织也是至关重要的。仅基于评估预后来决定拔牙并不总是充分的,因为文献支持经根管治疗、牙周治疗、自体移植等方法处理过的牙齿的成功率和存活率。虽然种植体看似成功率较高,但缺乏超过50年的长期数据,并且是一种不可逆的治疗选择。若种植体失败,我们只能再植入另一个种植体。而如果牙齿出现问题,至少我们还有植入种植体的选择余地。
参考文献
1. Yamamoto S, Shiga H. Masticatory performance and oral health‐re‐lated quality of life before and after complete denture treatment. J Prosthodont Res. 2018;62:370–4.
2. Steele JG, Sanders AE, Slade GD, Allen PF, Lahti S, Nuttall N, et al. How do age and tooth loss affect oral health impacts and quality of life? A study comparing two national samples. Community Dent Oral Epidemiol. 2004;32:107–14.
3. Park HE, Song HY, Han K, Cho KH, Kim YH. Number of remaining teeth and health‐related quality of life: the Korean National Health and Nutrition Examination Survey 2010–2012. Health Qual Life Outcomes. 2019;17:5.
4. Bansal M, Gupta N, Gupta P, Arora V, Thakar S. Reasons for ex‐traction in primary teeth among 5–12 years school children in Haryana, India‐a cross‐sectional study. J Clin Exp Dent. 2017;9:e545–e549.
5. Silva‐Junior MF, Sousa AC, Batista MJ, Sousa MD. Oral health con‐dition and reasons for tooth extraction among an adult population (20–64 years old). Cien Saude Colet. 2017;22:2693–702.
6. Levin L. Ethical issues in replacing a periodontally involved tooth with dental implants: thoughts, beliefs, and evidence. Ethics Biol Eng Med. 2011;2:187–94.
7. Beltrán‐Aguilar ED, Barker LK, Canto MT, Dye BA, Gooch BF, Griffin SO, et al. Surveillance for dental caries, dental sealants, tooth reten‐tion, edentulism, and enamel fluorosis–United States, 1988–1994 and 1999–2002. MMWR Surveill Summ. 2005;54:1–43.
8. Dye BA, Weatherspoon DJ, Lopez Mitnik G. Tooth loss among older adults according to poverty status in the United States from 1999 through 2004 and 2009 through 2014. J Am Dent Assoc. 2019;150:9–23.e3.
9. Saheeb BD, Sede MA. Reasons and pattern of tooth mortality in a Nigerian Urban teaching hospital. Ann Afr Med. 2013;12:110–4.
10. Holtfreter B, Kocher T, Hoffmann T, Desvarieux M, Micheelis W. Prevalence of periodontal disease and treatment demands based on a German dental survey (DMS IV). J Clin Periodontol. 2010;37:211–9.
11. Hugoson A, Norderyd O. Has the prevalence of periodontitis changed during the last 30 years? J Clin Periodontol. 2008;35(Suppl 8):338–45.
12. Eke PI, Wei L, Borgnakke WS, Thornton‐Evans G, Zhang X, Lu H, et al. Periodontitis prevalence in adults ≥65 years of age, in the USA.Periodontol 2000. 2016;72:76–95.
13. Bernabé E, Marcenes W. Periodontal disease and quality of life in British adults. J Clin Periodontol. 2010;37:968–72.
14. Martinez‐Canut P. Predictors of tooth loss due to periodontal disease in patients following long‐term periodontal maintenance. J Clin Periodontol. 2015;42:1115–25.
作者:Danielle Clark,Liran Levin
翻译:口腔医学网(微信号:aikouqiang)
声明:本文翻译自国外病例展示,仅供口腔专业人士进行技术交流,仅代表医生个人观点,不构成任何医疗建议,如有翻译错误之处敬请指正,内容以原文为准。
原文:https://doi.org/10.1111/edt.12492




