01.
期刊简介
Current Urology《当代泌尿学(英文)》是由教育部主管、山东大学主办,Wolters Kluwer合作出版的开放获取英文期刊。
期刊为双月刊出版,钻石OA,不收取版面费,已被ESCI、PubMed、Scopus、CSCD核心库等重要数据库收录,实时IF 约1.6,JCR Q3,2025年中科院分区表医学大类4区。
作为我国大陆主办的第一本泌尿学科领域综合英文期刊,期刊发表文章范围包括但不限于:泌尿学基础研究、肿瘤研究、外科手术、影像学、病理学、尿石症、男科学、小儿泌尿外科、女性泌尿外科、尿流动力学、性功能障碍、男性不育症、腔内泌尿外科和移植,以及材料、微能量、大数据、人工智能、再生医学等在泌尿领域的应用。
02.
主编编委团队
CU编委会及青年编委会由95位全球泌尿及相关领域专家组成,上海交通大学医学院附属第一人民医院夏术阶教授,山东大学齐鲁第二医院唐东起教授,EAU秘书长、德国图宾根大学Alnulf Stenzl教授担任主编。
副主编团队由12名全球知名的专家学者组成。
编委由来自瑞典卡罗林斯卡医学院、哈佛大学麻省总医院、加州大学旧金山分校、利物浦大学、意大利帕尔马大学、北京大学、上海交通大学、中山大学等国内外知名高校研究机构的95名专家组成,国际编委占比42%。
03.
期刊学术影响力
CU拥有国际化稿源及审稿人库,2024年期刊拒稿率为75.1%。
CU已被ESCI、PubMed、CSCD等26家国际国内重要数据库收录,PubMed年访问量达36万余次。
打造CU特色学术品牌: CU Talk, CU Seminar, CU Forum, 已举办30余场学术交流活动,线上线下直播观看量超过60万人次。
05.
研究专题
CU精心打造一系列研究专题,诚挚邀请全球研究者积极参与,为期刊贡献宝贵的研究成果与深刻见解。
专题"AI and Urology" 和 "Male LUTS"正在全球征稿中。
06.
期刊亮点
ESCI、PubMed、CSCD核心库等重要数据库收录
入选首批中国机构主办海外科技期刊回归试点期刊
免文章出版费(APC)
免费语言润色及封面绘图设计
Open Access出版,所有论文均可免费下载及阅读
科学、快速、严格的同行评议,初审1-2周
国际化投审稿平台Editorial Manager,投稿流程规范便捷
文章发表后,免费全球推广宣传
07.
精彩文章推荐
Chimeric antigen receptor–based cell therapy for treating urological tumors
CAR 细胞疗法在泌尿系肿瘤应用全景:突破与挑战
面对肾癌、膀胱癌、前列腺癌等泌尿系统肿瘤在传统治疗中常见的耐药性与复发问题,嵌合抗原受体(CAR)细胞疗法作为新一代免疫治疗方式,展现出巨大的潜力。本综述系统梳理了CAR-T、CAR-NK及CAR-M疗法在泌尿系统肿瘤治疗中的最新进展,特别是针对CAR-T细胞治疗在临床应用中的核心挑战,提出了前瞻性的优化策略,旨在为临床治疗提供更加精准和有效的方案。
Applications and prospects of spatial transcriptomics in prostate cancer research: A narrative review
空间转录组:揭开前列腺癌的 “隐秘角落”,助力诊疗走出黑暗森林
前列腺癌是全球男性常见的泌尿系统肿瘤之一,但其临床诊断与治疗仍面临诸多挑战:传统方法难以全面揭示肿瘤异质性,疗效预测不足,复发与耐药问题突出。近年来迅速发展的空间转录组学(Spatial Transcriptomics,ST),为研究者提供了全新的研究工具——它不仅能够检测组织中的基因表达,还能保留其“空间位置信息”,从而绘制出完整的“分子地图”。凭借这一独特优势,ST 在癌症研究中展现出巨大潜力,尤其适用于前列腺癌这样异质性显著、微环境复杂的疾病。
Identification of proteomic markers of chronic prostatitis/chronic pelvic pain syndrome treated with melatonin using a tandem mass tag approach
褪黑素如何缓解慢性前列腺炎?蛋白质组学揭示关键通路
慢性前列腺炎/慢性盆腔痛综合征(CP/CPPS)是男性常见的顽固性泌尿生殖系统疾病,患者长期饱受盆腔疼痛和排尿障碍困扰,现有治疗手段疗效有限、复发率高。本研究通过串联质谱标签蛋白质组学(TMT)发现,褪黑素能够显著减轻前列腺组织炎症,其关键机制可能是通过调控线粒体能量代谢通路及炎症相关蛋白表达。这一发现为难治性 CP/CPPS 提供了新的治疗思路和潜在分子靶点。
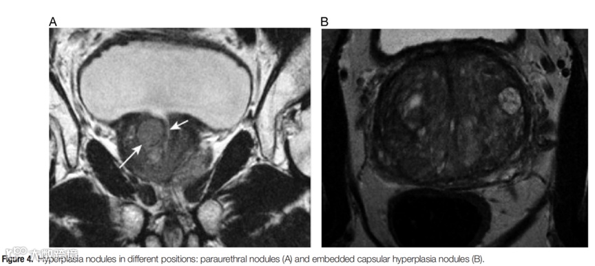
Emphasis on the management of embedded capsular hyperplasia nodules associated with benign prostatic hyperplasia
重视前列腺外科包膜镶嵌增生结节的处理
本文通过对良性前列腺增生(BPH)患者手术治疗中包膜镶嵌增生结节的精细化管理,强调了前列腺包膜层面和增生结节残留对术后并发症及二次手术的深远影响。特别是铥激光前列腺剜除术在处理包膜镶嵌结节方面的优势,展示了其在前列腺外科手术中的重要地位,具有较高的临床应用价值。
08.
联系我们
Email:
current_urology@hotmail.com; current_urology@sdu.edu.cn 。
扫码关注期刊公众号,获取更多信息
“中国英文科技期刊推介”系列

