弥漫性轴索损伤(diffuse axonal injury,DAI)由Adams等于1982年正式命名,用于描述头部外伤后以脑深部神经轴索肿胀、断裂为特征的脑损伤类型,是一种闭合性、弥漫性颅脑损伤,是非火器性颅脑伤中重要的脑损伤类型。以往有不同的命名:脑白质弥漫性损伤、剪力性损伤、即刻损伤的白质弥漫性损害、弥漫性白质剪力性损伤和脑深部损伤等。弥漫性轴索损伤是常见的颅脑外伤后病变之一,在重型颅脑损伤中占20%~50%,在车祸致重型颅脑损伤中占85%,在死亡患者中占29%~43%,仅次于急性硬膜下血肿,是颅脑损伤患者重残及植物生存的最常见原因之一,文献报道其死亡率高达42%~62%。CT和MRI对出血性病变敏感性相同,但多数剪切病变(81%)是非出血性的,这是由于轴突离断后,其原浆自断端漏出所致。CT上表现“正常”或无特异性,MRI在T2加权像上则表现为多发点状高信号区,多见于灰质与白质交界区。Gentry等回顾了40例脑实质损伤患者的MRI表现,发现弥漫性轴索损伤占48.2%,充分表明MRI对损伤性病变的高敏感性。
【病因、病理】
弥漫性轴索损伤大多数为交通肇事伤,其次为坠落伤,常是从几倍于身体的高处坠落所致。Adams在122例弥漫性轴索损伤尸检中发现,交通事故伤占69%,坠落伤占18%。系旋转暴力使脑组织发生碰撞、牵拉、吮吸,由于脑组织中灰质和白质的坚韧性不同,遂使灰、白质邻界部位发生剪力损伤,白质联合纤维(轴突)撕裂。大多数病变位于皮层下白质区,额、颞叶最常受累,分别占48%和30.7%;顶枕叶、小脑受累不常见。胼胝体亦常受累,约占21.5%,其中大多数位于压部。胼胝体病变通常为单侧或略偏离中线,有些可为双侧,胼胝体病变通常比其他部位的大。Gentry发现,胼胝体损伤的患者原发性脑干损伤发生率较高,皮质下灰质损伤和剪切伤病变数量较多,以及脑室内出血的发生率较高,后者大概能解释这些患者预后差的情况。在弥漫性轴索损伤中,18.8%位于放射冠区,且其后部略多;8.1%累及内囊,多在后肢。Yokota等对一组轻、中、重度弥漫性轴索损伤(按昏迷时间和有无脑干功能障碍分类)的影像分析表明,轻、中度弥漫性轴索损伤主要病变位于脑白质内,平均为12mm大小;重度者主要病变分布在脑白质、基底节、胼胝体及脑干的背侧,平均为24mm大小。
弥漫性轴索损伤的发病机制已明确。Gennarelli等对一组猴子在非打击性外力作用下,以颈部为中心做多角度加速运动,成功地制作出与人类相同的弥漫性轴索损伤模型,并发现动物更为严重。胼胝体损伤常见于车祸伤,由于头颅突然受迎面损伤,双大脑半球随重力突然向前移动,由双侧侧方牵拉,使胼胝体撕裂伤,或由于胼胝体在受伤的瞬间背腹变平而损伤,若一侧半球移动快于对侧,胼胝体易有偏心性出血,之后胼胝体变薄,此种损伤常涉及邻近中线结构如穹隆、扣带回、透明隔、尾状核头部和丘脑背侧损伤。脑桥头端背侧即小脑上脚损伤,主要表现为此部脑干的出血性坏死,过去也曾认为是小脑幕切迹对脑桥的撞击;事实上,头部旋转的侧向暴力会立即拉长大脑小脑间的联络部,上脑干、特别是小脑上脚背侧最常见受累,导水管下端周围、大脑脚盖部的背部和中部、内侧纵束和皮质脊髓束均见病损,重者尚伴有小脑和半卵圆中心的轴索损伤性变化。灰、白质交界区广泛损伤是由于灰白质包括基底节(灰质团)结构的不同密度,即不同的坚韧性或与白质的不一致(不均匀)性在旋转性暴力快速移动中,由于应力的不同,在灰白质交界和底节区,肉眼或CT见到伴发毛细血管撕裂(出血)的轴索伤,也常见于广泛传导的白质,轻者仅见于矢旁区,重者也见于小脑的皮质下,更轻者仅见于电镜下。
弥漫性轴索损伤的基本病变包括神经轴索的弥漫性损伤(灰白质交界处),胼胝体及上脑干背侧局灶性损伤,称之为弥漫性轴索损伤三联征,在大体标本上即可发现:①胼胝体的局灶损伤。在脑冠状切面标本上,胼胝体的损伤常位于下方,向一侧偏,呈偏心性。损伤部通常有2~3mm以内的出血点,前后延续数厘米。②一侧或两侧脑干上部背外侧1/4的局灶性损伤,并常累及小脑上脚或大脑脚。③弥漫性轴索损伤,只能在显微镜下看到主要受累区在海马、穹隆、内囊、脑室旁和小脑脚等部位。
Adams根据635例非火器性脑外伤死亡者中,434例有广泛组织学研究,其中122例证实为弥漫性轴索损伤,依其伤情分为3级,为世界文献广泛应用:Ⅰ级:病变仅见于显微镜下,轴索损伤主要在大脑半球的白质,包括胼胝体、脑干、偶见于小脑,肉眼看不到。Ⅱ级:胼胝体有局灶性病变,部分肉眼可见出血、坏死,加上上述镜下病变。Ⅲ级:胼胝体及脑干头端背侧的局灶性病变(常肉眼可见),加上述镜下病变,更重者病变扩大。
【临床表现】
弥漫性轴索损伤患者表现为意识丧失和显著的神经学损害。长期Glasgow结果和检测到的病变数量之间有明显的相反关系。临床上,弥漫性轴索损伤可分为轻、中、重三型。
1.轻型
75%的颅脑外伤有轻度脑损伤,即短暂意识丧失和良好的神经学状态,无后来病情恶化。轻度颅脑损伤中,1/3~1/2的患者产生脑震荡后综合征,以注意力不集中、记忆力下降、头痛或失去平衡的主诉为特征,并在神经心理学检测上伴有信息处理缺损。
轻度颅脑损伤的标准为:
①短暂的意识丧失,少于20分钟;
②初始GCS(Glasgow Coma Score)为13~15分,无后来的病情恶化;
③年龄≤50岁;
④颅脑CT无异常发现。
Mittl的资料显示,在轻度颅脑损伤且CT表现正常者,MRI检查有30%符合弥漫性轴索损伤。尽管轻度颅脑外伤患者的症状并不严重,但根据MRI表现,其临床表现是有病理基础的。尽管根据神经心理学检查有客观表现,把患者的主诉仅仅解释为对创伤的癔病性反应并非罕见。
2.中型
中型弥漫性轴索损伤的GCS≥9分。伤后患者意识障碍程度较轻而短暂,以后以精神、智力障碍为主,如谵妄、遗忘、失语、记忆力低下、定向力障碍、对事物认识能力低下,甚至大小便不能自理。以上症状时间较长,可达数周,恢复缓慢。
3.重型
重型弥漫性轴索损伤的GCS≤8分。患者伤后立即昏迷且程度较深而持久。有的患者伤后短期内死亡。体检可见瞳孔变化、眼球运动障碍、肌张力增高、去皮质或去大脑强直、出现病理征等。此型预后差,死亡率和病残率均较高。
Levi等在既往轴索损伤分型的基础上,提出了包含GCS计分和瞳孔变化的改良分类。
Levi改良弥漫性轴索损伤分型标准及预后
【CT表现】
CT对于弥漫性轴索损伤的诊断价值有限,轻型的弥漫性轴索损伤在CT上多表现正常。弥漫性轴索损伤在CT上的表现主要为:大脑半球白质、尤其是在灰/白质和神经核/白质交界,以及胼胝体、脑干或小脑的单发或多发的小圆形或椭圆形(直径< 2cm)、局部无明显占位效应的出血灶;脑室内或脑室旁的出血;脑实质密度减低、脑室普遍受压变小、脑裂及脑沟变窄或不明显等脑肿胀的表现;脑池及蛛网膜下腔出血;弥漫性轴索损伤晚期患者显示脑室扩大、多发软化灶,脑萎缩及脱髓鞘性改变。
【MRI表现】
1.常规MRI序列
普通MRI序列对于弥漫性小灶性轴索损伤显示能力有限,容易漏诊,大多数学者认为T1WI不如T2WI敏感。
急性期(1~3天):两侧灰白质交界区、基底节、胼胝体或脑干弥漫性分布斑点状或小片状圆形、椭圆形长T1或等T1信号、长T2信号,有时可间杂小灶性短T2信号;另外,还可见有弥漫性脑肿胀性改变,表现为脑沟、脑裂消失,侧脑室及第三脑室缩小。
亚急性期及慢性期:病变呈弥漫分布的混杂信号,以长T1、长T2信号为主,间杂以小灶性短T1、长T2信号。
2.梯度回波序列(GRE)
无论在弥漫性轴索损伤的急性期还是在慢性期或恢复期,因GRE序列具有高磁敏感性,病变表现为极低信号。弥漫性轴索损伤发生后的小出血灶内红细胞因缺氧所导致的代谢障碍使氧合血红蛋白转变成具有顺磁性效用的脱氧血红蛋白,后者的聚集以及其在红细胞内外的分布不均匀而在GRE序列上表现为极低信号,这一特性使得GRE序列可以显示常规MRI序列所不能显示的小出血灶,因此,对于脑外伤患者的检查应常规增加GRE序列,以防漏诊。
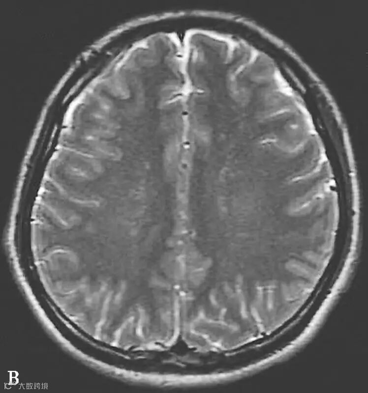
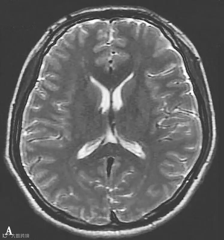
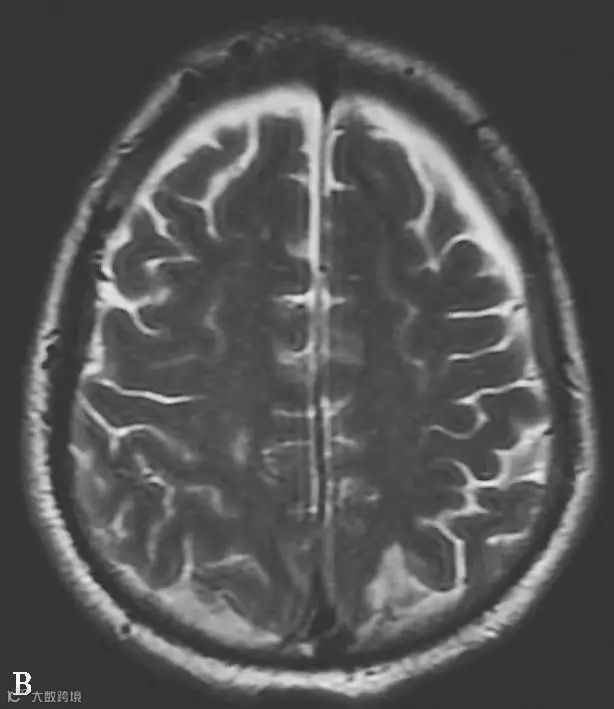
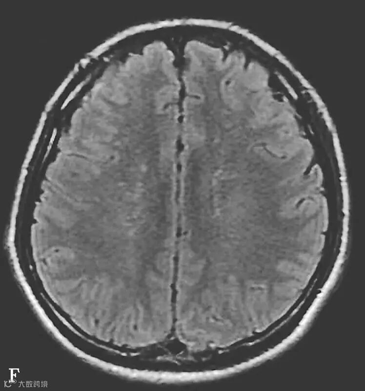
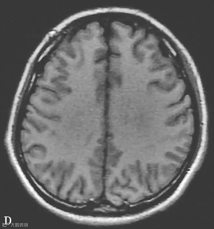
图6-11-1 弥漫性轴索损伤并双侧额部硬膜下积液、双侧顶枕部硬膜下血肿
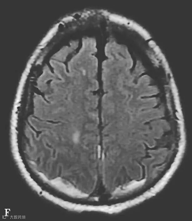
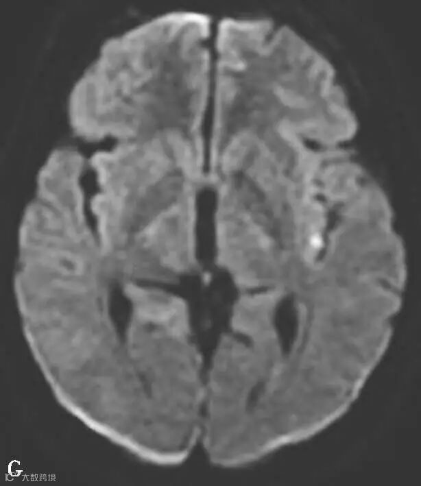
男,34岁,外伤后7天。A~H(A、B.T2WI,C、D.T1WI,E、F.T2WI-FLAIR,G、H.DWI):左侧岛叶及右侧顶叶白质可见斑片状稍长T1稍长T2信号,边缘不清,FLAIR及DWI呈高信号。双侧额部内板下可见新月形长T1长T2信号,FLAIR及DWI呈低信号。双侧顶枕部内板下可见弧形短T1长T2信号,FLAIR及DWI呈高信号
3.磁敏感加权成像序列(SWI)
SWI序列与GRE序列成像机制相通,都是通过显示组织或分子间的磁场不均匀性来实现的,只是SWI比GRE序列更加敏感,且分辨率更高。
4.弥散加权成像序列(DWI)及ADC
DWI及ADC作为描述活体扩散成像上的表面扩散程度,对早期轴索损伤病灶的发现有很高的敏感性,可以显示常规MRI序列不能显示的病变。早期轴索损伤可首先表现为组织细胞的表面扩散能力的下降,此时仅DWI及ADC能够显示这一病理变化,DWI呈高信号、ADC图呈低信号。
5.磁共振弥散张量成像(diffusion tensor imaging,DTI) 磁共振扩散张量成像是在扩散加权成像基础上发展起来的新MRI技术,它可以无创观察人体的微细结构,特别是对脑白质结构的变化非常敏感,可准确地三维评估脑组织内水分子运动特征,获取水分子扩散的方向参数,如轴向扩散系数、径向扩散系数、表观弥散系数(apparent diffuse coefficient,ADC),相对各向异性(relative anisotropy,RA)和各向异性分数(fractional anisotropy,FA)等,并可无创地重建及显示脑白质纤维束,可清晰地显示主要脑白质纤维束的走行、形态以及相互的空间关系,获取主要神经纤维束的异常形态学信息。与常规MRI相比,DTI能更为敏感地显示轴索损伤,且在弥漫性轴索损伤不同时期其弥散参数改变也具有一定的规律。
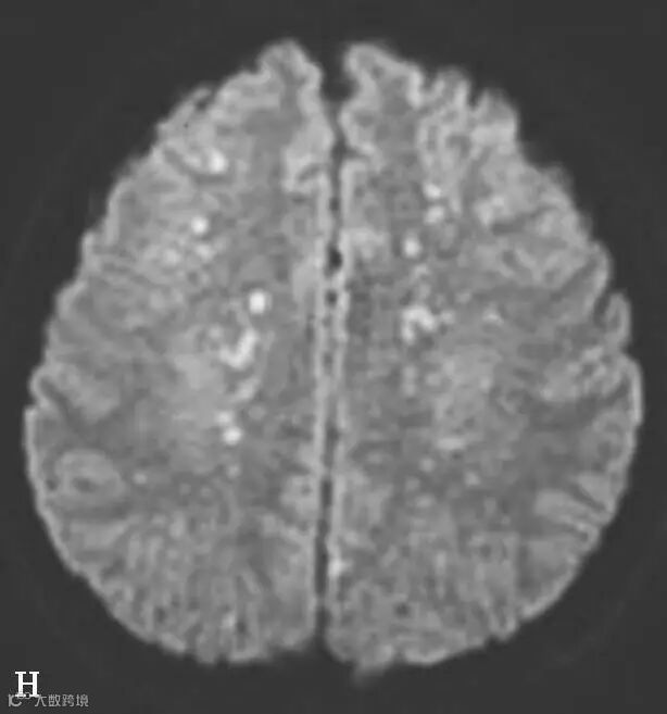
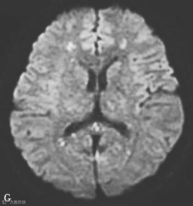
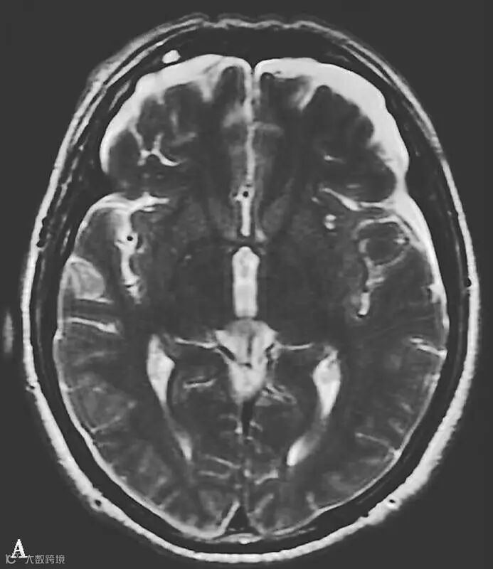
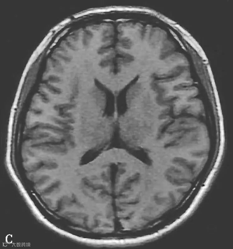
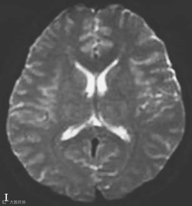
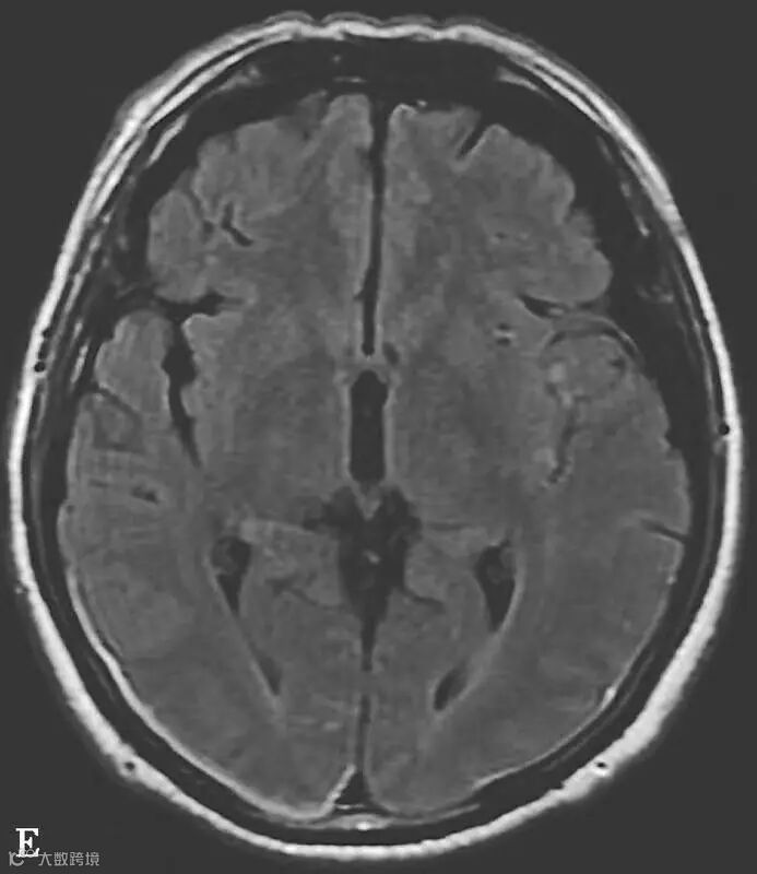
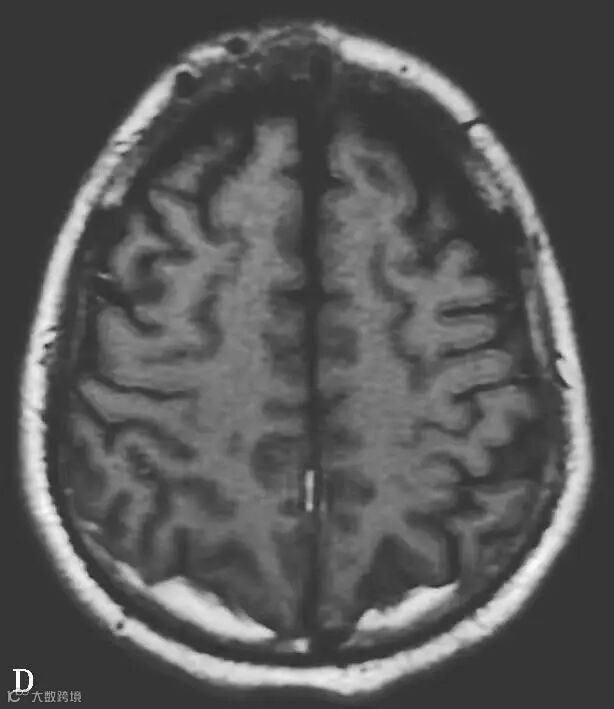
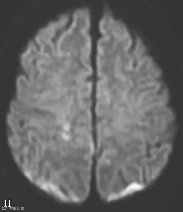
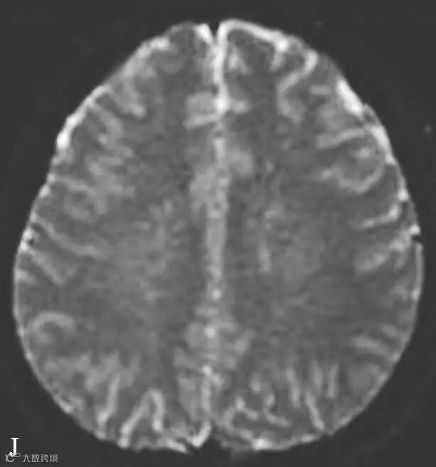
图6-11-2 弥漫性轴索损伤
男,36岁,外伤后2天。A~J(A、B.T2WI,C、D.T1WI,E、F.T2WI-FLAIR,G、H.DWI,I、J.ADC图):双侧额叶、半卵圆中心及胼胝体压部可见多发斑点状等T1稍长T2信号,边缘不清,FLAIR及DWI呈高信号,ADC图病灶信号减低 。
脑外伤早期支架轴索的细胞胞膜排列出现紊乱、肿胀,在平行于轴索方向上的扩散受到的阻力增大,扩散减弱,而垂直于轴索方向的扩散增强,导致扩散的各向异性降低,在DTI上表现为FA值的降低。随着病变的发展,受损伤的轴索内轴浆运输出现障碍,随之出现轴浆及细胞器局部聚集,轴索肿胀膨大;如果损伤进一步发展,轴索断裂,其远端轴索逐渐变性坏死,进一步导致白质内扩散各向异性的降低。在重度及中度脑损伤患者中,除了以上改变,还可出现神经元渗透压的改变,也导致扩散的各向异性降低。
【鉴别诊断】
弥漫性轴索损伤主要须与脑挫裂伤鉴别,两者发病部位不同,前者好发于灰白质交界区、胼胝体、脑干或小脑;后者常见于应力部位或对冲部位的脑组织。

