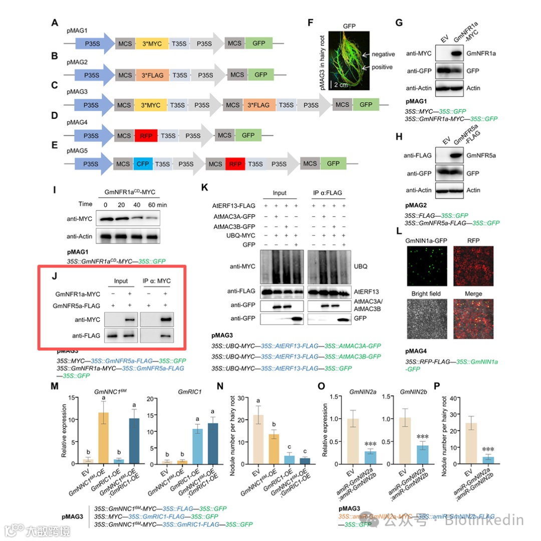
在分子生物学研究中,合适的载体是基础工具;然而,大多数载体只能表达一个目标基因,这限制了在同一植物组织中同时研究多个基因的能力。实现多基因共表达的传统方法是将多个质粒共同转入植物组织,但由于一次成功转入多个质粒较为困难,这种方法通常效率不高。
该研究开发了一系列载体,称为pMAGs(多基因组装遗传载体),能够在植物中同时表达或沉默两到三个不同的基因。这些载体不仅为各类生物学实验提供了最佳解决方案,而且在众多植物物种中均能有效工作。(上海翎因生物www.bio-linkedin.com)
02
Biolinkedin相关知识点推荐
IF: 35.5 I Biolinkedin® Protein A/G 磁珠、HA抗体、Myc抗体参与心衰机制的相关研究
IF:8.5 I Biolinkedin® Protein A/G 磁珠、Flag磁珠、Myc磁珠参与鼻咽癌相关机制研究
03
划重点:
本研究中,使用了Biolinkedin®Anti-Myc 磁珠G2 (L-1102)用于IP/Co-IP 、泛素化检测等实验。(上海翎因生物www.bio-linkedin.com)
04
Biolinkedin相关产品推荐

