慢性肾脏疾病(CKD)是全球性的健康负担,其中肾纤维化是其进展的核心病理驱动因素。尽管纤维化在CKD发病机制中起着关键作用,其驱动纤维化转变的分子机制仍不清楚,且目前尚无针对性疗法可以阻止纤维化介导的CKD进展。
近期,安徽医科大学药学院团队在国际期刊《Molecular Therapy》上发表题为“Renal tubular epithelial IGFBP7 interacts with PKM2 to drive renal lipid accumulation and fibrosis” 的论文。
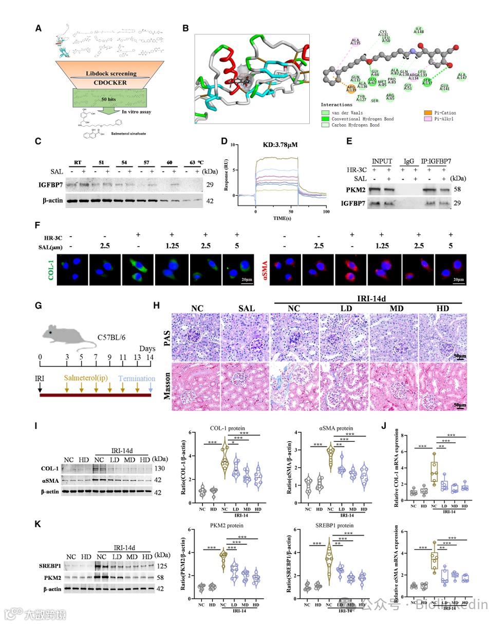
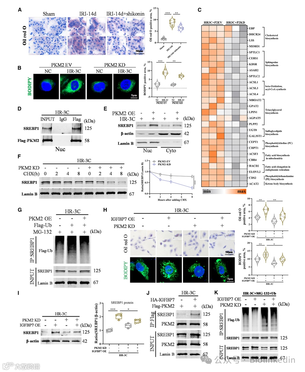
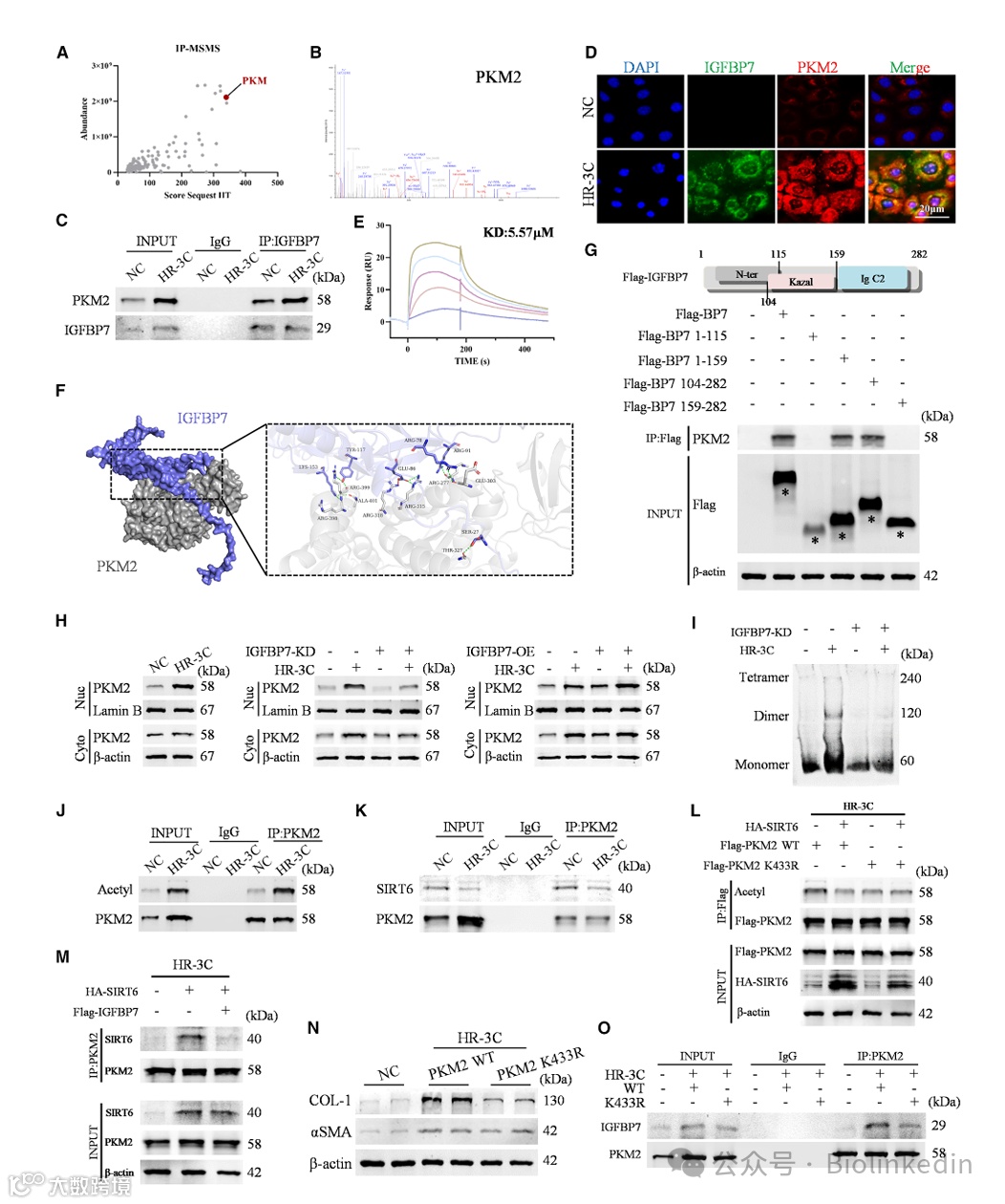
该研究揭示了IGFBP7/PKM2/SREBP1轴作为脂生成纤维化的核心调控因子,提供了基因及药理学抑制IGFBP7作为CKD有前景的治疗策略。(上海翎因生物www.bio-linkedin.com)
划重点:
本研究中,使用了Biolinkedin®Protein A/G磁珠(L-1004)用于IP/Co-IP、IP-MS、泛素化检测等实验。(上海翎因生物www.bio-linkedin.com)
一
二
三
(上海翎因生物www.bio-linkedin.com)
Biolinkedin相关产品推荐

