大数跨境
0
0

AML伴RUNX1::RUNX1T1融合(WHO2024)

AML伴RUNX1::RUNX1T1融合(WHO2024) David跨境日记
2025-10-23
35
导读:AML伴RUNX1::RUNX1T1融合(WHO2024)
一、定义
急性髓系白血病(AML)伴RUNX1::RUNX1T1的特征是RUNX家族转录因子1基因(RUNX1)与RUNX1伙伴转录辅助抑制因子1基因(RUNX1T1)融合。
二、ICD-O编码
9896/3  急性髓系白血病伴RUNX1::RUNX1T1融合
三、ICD-11编码
2A60.0 & XH3CX5  急性髓系白血病伴重现性遗传学异常 & 急性髓系白血病,t(8;21)(q22;q22)
四、相关术语
可接受的:
急性髓系白血病伴t(8;21)(q22;q22.1)。
不推荐的:
急性髓系白血病伴AML1/ETO。
五、亚型
六、部位
血液和骨髓总是受累。某些患者可能出现髓系肉瘤。
七、临床特征
具有典型的继发于骨髓衰竭的症状和体征,包括疲劳、淤伤或出血、以及感染。可能出现器官肥大。患有髓系肉瘤的患者,血液和骨髓中的原始细胞计数可能较低。
八、流行病学
在1%-5%的AML病例中可见t(8;21)(q22;q22.1)易位。在非洲裔美国AML患者中,RUNX1::RUNX1T1是最主要的核心结合因子(CBF)重排(大约占这些患者中CBF-AML的55%-70%)。同样,CBF-AML常见于东亚患者,其中RUNX1::RUNX1T1占主导地位(占这些患者CBF-AML病例的70%-80%)。
九、病因学
尚不明确。
十、发病机制
CBF是一种转录因子复合物,包含一个DNA结合亚基CBFα(RUNX1、RUNX2或RUNX3)和一个非DNA结合的异二聚化伙伴亚基CBFβ(由CBFB编码)。RUNX1(AML1)是成人造血的主要转录调节因子,所有造血谱系均可表达。RUNX1和CBFβ可以形成一个DNA结合异二聚体,能够调节造血分化。RUNX1T1是一种转录辅助抑制因子,其表达仅限于巨核细胞系和红细胞系,但是不限于造血干细胞和祖细胞。RUNX1::RUNX1T1是由t(8;21)(q22;q22.1)导致的,可以通过阻断髓系分化而在白血病发生中起着关键作用,但是在白血病的发展和进程中需要其它协同的致病性改变(见表2.14)。这些改变包括DHX15和ZBTB7A突变,以及表观遗传学调控因子(包括ASXL2和内聚蛋白复合物)突变的富集。其它协同因子包括导致RAS信号通路激活的突变。大约66%的病例会发生继发性遗传学异常,其中最常报道的异常是del(9q)(15%的病例)和丢失一条性染色体(37%的女性患者丢失一条X染色体,44%的男性患者丢失一条Y染色体)。




十一、大体外观
不适用
十二、组织病理学
骨髓穿刺活检通常显示大量的未成熟细胞。骨髓涂片显示大约90%的病例存在原始细胞和各阶段髓系前体细胞增多。大约10%的病例具有未成熟AML的特征。原始细胞大,胞质具有丰富的嗜碱性物质,通常含有大量的是天蓝色颗粒,核周淡染(hof)。可能见到少数原始细胞含有大的Chediak-Higashi样颗粒。常见Auer小体,表现为单根长棒状,末端为锥形。早幼粒细胞、中幼粒细胞和成熟中性粒细胞呈现不同程度的发育不良。后者可能表现为核分叶(假Pelger-Huet核)和/或胞质染色异常,包括中性粒细胞胞质呈均匀的粉红色。但是,其它细胞谱系发育异常很少见。单核细胞很少或缺失。幼稚嗜酸性粒细胞常增多,但是它们不表现为细胞学(或细胞化学)异常。嗜碱性粒细胞可能增多。肥大细胞有时增多,少数情况可能出现并发的系统性肥大细胞增多症。


免疫表型
白血病细胞表达特征性的免疫表型,包括CD34高强度表达和淋巴细胞标记CD19和cCD79a异常表达。某些病例中CD56呈阳性,并在中幼粒细胞和成熟中性粒细胞上表达。中性粒细胞通常表现为异常成熟模式。常表达其它标记,包括HLA-DR、CD13和髓过氧化物酶,但是CD33通常弱表达或阴性。原始细胞可能显示不同步成熟的情况(例如,共表达CD34和CD15)。通常表达PAX5。
细胞化学
原始细胞通常髓过氧化物酶阳性。某些病例可能在高尔基体区显示丁酸酯酶阳性,但是这一发现不应被视为单核细胞分化的证据。
十三、细胞学
见上文
十四、诊断分子病理学
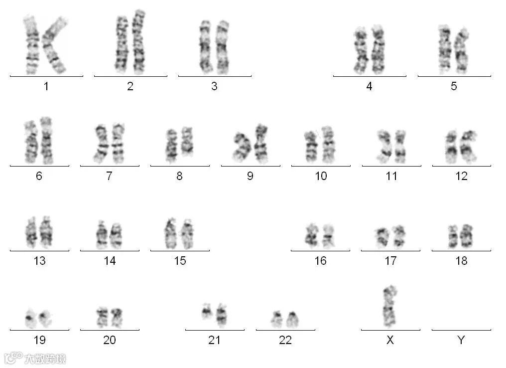
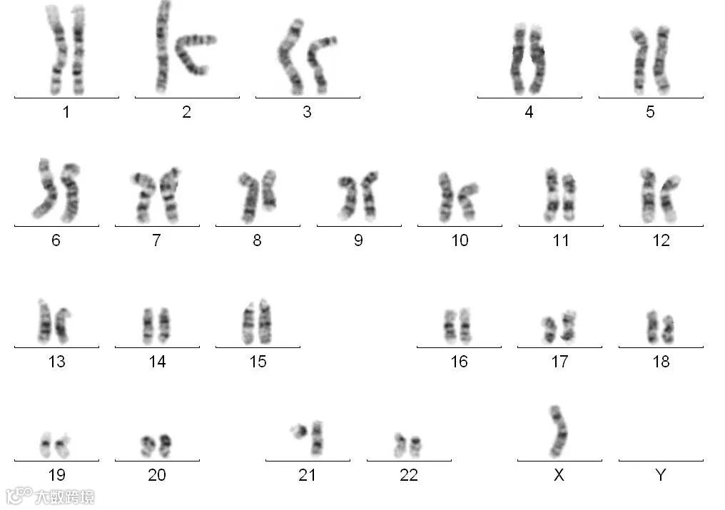
t(8;21)(q22;q22.1)和/或RUNX1::RUNX1T1的检测可以通过染色体显带分析、FISH和各种分子技术来实现。

【自习室注:WHO2024未提供t(8;21)(q22;q22.1)的核型图,下列2幅核型图来自卫健委2025年第2次血液肿瘤染色体核型分析室间质评,更多图片请移步卫健委2025年第2次血液肿瘤染色体核型分析室间质评及参考答案(G带)


与核型正常的AML相比,体细胞突变的数量通常较低。在85%-90%的AML伴RUNX1::RUNX1T1患者中,至少可以发现一种突变,但是某些病例可能存在高负荷突变(≥2)。
十五、基本和理想诊断标准
基本标准:
髓系肿瘤伴有外周血和/或骨髓原始细胞增多(可能<20%);
检测到RUNX1::RUNX1T1;
不符合细胞毒性治疗后髓系肿瘤的诊断标准。
理想标准:
检测到t(8;21)(q22;q22.1)。
十六、分期
不适用
十七、预后和预测
当采用强化巩固治疗(如高剂量阿糖胞苷)时,大多数患者具有较高的完全缓解率和长期无病生存率。某些因素似乎会对预后产生不利影响,包括KIT突变(成人)和CD56表达。成人中KIT p.D816的出现与较低的无复发生存率相关,而超二倍体和/或del(9q)的出现与较长的总体生存率相关。基于这些临床和分子特征衍生的I-CBFit评分可以特异性的预测生存率。高负荷突变(≥2)与较差的预后相关。


诱导治疗后,RUNX1::RUNX1T1融合转录本的早期降低水平是提高无病生存率和总体生存率的独立预后因素。巩固治疗后未达到主要分子学缓解的患者复发风险很高,异基因造血干细胞移植也许可以改善这一情况。无论是通过流式细胞术,还是基于PCR的技术检测到的可测量残留疾病,都与较低的完全缓解率及较短的生存期有关,即使在移植后亦是如此。



(1)本公众号所有内容仅供同行间相互交流学习,请勿做他用。

(2)由于学科发展和作者学识所限,文中某些内容可能存在错误或其它不足之处,欢迎读者批评指正。

(3)有任何需要沟通、交流或合作等方面的事宜,请私信作者,作者会第一时间进行反馈。

【声明】内容源于网络
0
0
David跨境日记
跨境分享说 | 每日分享跨境见解
内容 42855
粉丝 1
David跨境日记 跨境分享说 | 每日分享跨境见解
总阅读252.6k
粉丝1
内容42.9k