Vogt-Koyanagi-Harada病(简称VKH病),我国翻译为小柳-原田综合征,也曾叫作“特发性葡萄膜炎大脑炎”。是一种好发于年轻人的双眼肉芽肿性全葡萄膜炎,部分患者还会出现眼外症状。该病最早由Vogt于1906年报道,之后Koyanagi在1929年也独立描述了类似病例,主要表现为慢性前葡萄膜炎,并可能伴有脱发、皮肤白斑和听力下降。同年,Harada报告了一种以双眼渗出性视网膜脱离、后葡萄膜炎和脑脊液淋巴细胞增多为特征的疾病。后来研究证实,这些病例实际上属于同一疾病谱系的不同表现。1932年,Babel提议将其统一命名为Vogt-Koyanagi-Harada病,即VKH病。
流行病学
VKH病的发病率具有明显的地区和种族差异,常见于有色人种。例如在日本,VKH病约占所有葡萄膜炎病例的6.8%–9.2%,而在美国则仅为1%–4%。发病年龄多在20至50岁之间。虽然部分研究提示女性患病率可能略高于男性,但目前尚未得出明确的性别倾向。从种族分布上看,该病在西班牙裔、亚洲人、美洲原住民、中东及南亚人群中较为常见,但在撒哈拉以南非洲裔人群中却相对少见。研究还发现,VKH病与HLA-DR1和HLA-DR4(特别是亚型0405)存在遗传相关性。
发病机制
VKH病的具体发病机制目前还不完全清楚。主流观点认为,它可能是一种由T细胞介导的自身免疫反应,攻击的目标是黑色素细胞、黑色素或视网膜色素上皮中的某些抗原。尽管具体的触发因素仍不明确,但偶尔有病例报告提示皮肤损伤或病毒感染可能参与诱发此病。虽然真正的靶抗原尚未最终确认,但一些候选对象包括酪氨酸酶及其相关蛋白、一种从人黑色素瘤细胞中提取的75 kDa蛋白,以及S-100蛋白等。
组织病理学
在急性期,VKH病主要表现为肉芽肿性炎症,而慢性期则常见非肉芽肿性炎症。典型的病理变化是葡萄膜因弥漫性非坏死性肉芽肿而增厚,镜下可见大量淋巴细胞浸润,并伴有上皮样细胞和多核巨细胞聚集。此外,在视网膜色素上皮层与Bruch膜之间可观察到Dalen-Fuchs结节,这也是该病的典型肉芽肿表现之一。
免疫细胞化学分析显示,葡萄膜浸润的细胞以T淋巴细胞和HLA-DR阳性的巨噬细胞为主;在脉络膜的黑色素细胞周围还可发现CD1阳性的非树突状细胞。
临床分期特征
VKH病的临床表现随疾病阶段变化,一般可分为四个时期:前驱期、葡萄膜炎期、慢性期(恢复期)和慢性复发期。
前驱期:症状类似病毒感染,如头痛、发热、眼周疼痛、恶心、头晕和畏光,通常持续3–5天。随后患者可能出现视力模糊、眼红和眼痛。
葡萄膜炎期:典型表现为双眼视力下降(可先后发生,但94%的患者在2周内双眼受累)。早期可见脉络膜增厚、视盘充血水肿、多发性浆液性视网膜脱离等后葡萄膜炎体征。随着炎症扩散至前段,可发展为全葡萄膜炎。
慢性期/恢复期:常在葡萄膜炎期后数周出现,特征为皮肤和眼底的色素改变。例如,Sugiura征(角膜缘白斑)是最早出现的脱色素表现,约在发病1个月后出现。随后可能出现皮肤白斑、白发,以及脉络膜脱色素形成的“晚霞样眼底”。
角膜缘周围白斑(Sugiura征)
晚期VKH的上眼睑白斑和明显白发。
慢性复发期:以反复发作的前葡萄膜炎或全葡萄膜炎为主要表现,但渗出性视网膜脱离较少复发。此阶段易出现虹膜结节,以及白内障、青光眼、视网膜下新生血管等严重并发症。
A. VKH早期,可见渗出性视网膜脱离。
B. VKH晚期,周边眼底可见残留的脱色素深层病灶及弥漫性“晚霞样”眼底改变。
全身性表现
VKH病也可伴随多种眼外症状:
听觉系统:常见感音神经性听力下降、耳鸣或眩晕,多在疾病早期出现。
神经系统:可伴有头痛、颈部僵硬、发热、恶心呕吐等脑膜刺激或炎症表现。
皮肤表现:常在发病2–3个月后面部、手部、肩部等出现白斑,同时可见白发或脱发。
诊断标准
VKH病的诊断标准经历了逐步完善的过程。美国葡萄膜炎学会在1978年提出的初步标准包括两点:(1) 没有眼部外伤或手术史;(2) 同时满足以下四项特征中的至少三项:双侧慢性虹膜睫状体炎、后葡萄膜炎表现(如渗出性视网膜脱离或“晚霞样”眼底等)、神经系统症状(如耳鸣、脑膜刺激征或脑脊液异常)、皮肤表现(如脱发、白发、白斑)。
然而,Read 等学者后续评估认为这一标准在临床应用中存在不足。为此,首届Vogt-Koyanagi-Harada病国际研讨会进一步制定了修订后的诊断标准,将VKH病分为“完全型”、“不完全型”和“拟诊”三类,具体如下:
完全型VKH病(须同时满足1–5项)
1.无穿透性眼外伤或内眼手术史;
2.临床表现或实验室检查不支持其他眼部疾病;
3.双眼受累,并根据疾病阶段分为:
早期:以弥漫性脉络膜炎为主,可伴有前葡萄膜炎或玻璃体炎症。若影像支持,以下表现之一即可:局灶性视网膜下液、大泡性浆液性视网膜脱离;不典型者需辅助检查支持,如荧光血管造影显示点状渗漏、脉络膜灌注延迟等,或B超显示弥漫性脉络膜增厚;
晚期:有早期病史,并出现眼部脱色素表现(如晚霞样眼底或Sugiura征),以及其他体征如脉络膜视网膜脱色素瘢痕、RPE改变或慢性前葡萄膜炎;
4.出现神经或听觉症状(就诊时可能已缓解),例如脑膜刺激征、耳鸣,或脑脊液淋巴细胞增多;
5.皮肤或黏膜表现,如脱发、白发或白斑,且不早于神经系统或眼部症状出现。
不完全型VKH病(须满足1–3项,并满足4或5项之一)
1.无相关眼外伤或手术史;
2.排除其他眼病;
3.双眼受累;
4.有神经/听觉表现;
5.有皮肤/黏膜表现。
拟诊VKH病(仅眼部表现,须满足1–3项)
1.无眼外伤或手术史;
2.无其他眼病证据;
3.双眼出现符合VKH病的眼部表现。
诊断性检查
VKH病的诊断主要依靠临床表现,但以下检查能为确诊、评估病情活动度及治疗效果提供重要依据。
眼底荧光血管造影(FFA)
急性期:造影早期可见脉络膜循环出现不规则的点片状强荧光,随病程进展,视网膜色素上皮层面会出现多个点状渗漏灶,后期这些渗漏点逐渐扩大、融合,并在视网膜下液区域形成大片强荧光,视盘也可出现边缘模糊和渗漏。
慢性期:典型表现为弥漫性色素紊乱,形成色素沉着与脱失区交错出现的“虫蚀样”改变。
有研究指出,早期是否出现视盘周围点状强荧光可作为判断预后的参考之一;若该征象缺失,提示疾病可能已非早期,需要更积极和长期的干预以控制复发。
吲哚菁绿血管造影(ICGA)
在疾病早期和中期,ICGA可显示后极部脉络膜血管出现广泛的强荧光和弱荧光斑点,其数量常多于FFA所见。
活动期:弱荧光斑点逐渐被强荧光取代,反映活动性炎症灶。
慢性期:各期均可见弱荧光斑点,这些改变在FFA或眼底检查中可能不明显。
眼底自发荧光(FAF)
活动期:黄斑区常表现为高自发荧光,浆液性脱离区域则为低自发荧光,这些变化在有效治疗约6个月后可恢复。
慢性期:表现多样,可出现自发荧光减弱(如视盘周围萎缩、色素性瘢痕区域)、增强(如色素沉着区或黄斑水肿)或恢复正常。
A. 彩色眼底照相显示多发性浆液性视网膜脱离。
B. OCT扫描可见视网膜下液形成的局灶性囊腔,伴有从外层视网膜延伸至视网膜色素上皮的纤维蛋白分隔。
C. 荧光血管造影早期可见点状强荧光。
D. 荧光血管造影晚期显示荧光渗漏并在多个浆液性脱离区内积聚。
光学相干断层扫描(OCT)
OCT能清晰显示视网膜下液、RPE/脉络膜波纹样改变(提示脉络膜皱褶)及脉络膜增厚。急性期常见外层视网膜出现多个被分隔的液腔,而内层视网膜结构通常保持正常。
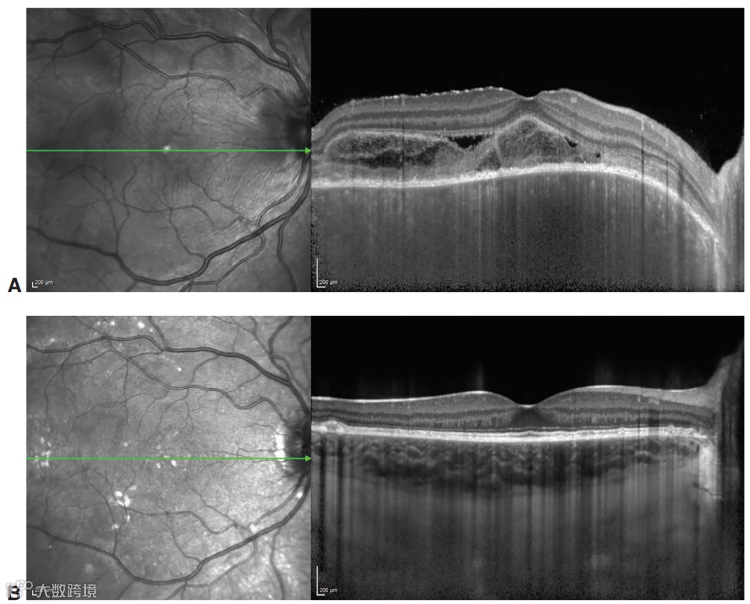
A. EDI-OCT显示混浊的视网膜下液和显著增厚的脉络膜。
B. 治疗后,视网膜下液吸收,脉络膜增厚消退。
超声检查
急性期B超可见弥漫性脉络膜增厚,伴浆液性视网膜脱离、玻璃体混浊等表现,但一般无玻璃体后脱离。
VKH患者的双眼均存在弥漫性后部脉络膜增厚并伴有视网膜下液。
视网膜电图(ERG)
慢性期患者可表现为暗适应与明适应ERG波幅的弥漫性降低,提示视网膜功能受损。
实验室检查
脑脊液检查在部分患者中可见淋巴细胞增多(可持续至起病后8周)及蛋白水平升高,为辅助诊断提供依据。
治疗原则
VKH病的治疗强调早期、足量及长期规范用药,以控制炎症并减少复发。
在急性期,如无禁忌证(如全身性感染等),通常建议短期静脉输注大剂量糖皮质激素,例如甲泼尼龙1g或地塞米松100mg,每日一次、连续3天,之后转为大剂量口服激素,并开始缓慢递减。不过,也有研究指出,在疾病初期使用大剂量静脉糖皮质激素可能加重视网膜神经上皮脱离。此外,Read 等的研究显示,静脉与口服给药途径对患者远期预后的影响并无显著差异。
因此,目前多倾向于将口服给药作为大多数VKH患者的首选治疗方式。口服激素的初始剂量一般为每日每公斤体重1–1.5 mg,至少持续用药6个月(也有认为10个月甚至以上)。有研究显示,治疗时间不足6个月的患者复发率显著高于规范治疗者(58.8% vs. 11.1%),因此足疗程治疗十分关键。
在用药2–4周后,若炎症得到控制,可开始逐步减量。目前也有学者主张将免疫抑制剂作为一线治疗,目的是为了减少长期使用激素所引起的不良反应。研究显示,早期联合或单用免疫抑制剂有助于获得更好的视力预后。常用的免疫抑制剂包括硫唑嘌呤(每日1–2.5 mg/kg)和环孢素A(每日3–5 mg/kg),吗替麦考酚酯和利妥昔单抗也有应用。使用这类药物需密切监测相关指标,并由专科医生评估其潜在副作用。
并发症
VKH病易引发多种眼部并发症。据统计,约半数患者会出现至少一种并发症,常见的有白内障、青光眼、脉络膜新生血管、视网膜下纤维化、脉络膜萎缩、虹膜后粘连及视神经萎缩等。
预后
疾病的最终视力结果与炎症控制情况密切相关。如能及早诊断、积极治疗,并严格遵循缓慢减药的原则,视力预后通常较好。以下因素常提示预后不佳:并发症多、发病年龄较大、病程长、治疗不及时以及炎症反复发作。此外,患者就诊时的基线视力水平也对最终视力有提示意义,初诊视力越好,后续改善的可能性也越大。
参考文献:
黄果,杨培增.Vogt-小柳原田综合征的治疗进展.
Standardization of Uveitis Nomenclature (SUN) Working Group. Classification Criteria for Vogt-Koyanagi-Harada Disease.
Read RW. Revised diagnostic criteria for Vogt-Koyanagi-Harada disease: report of an international committee on nomenclature.
eyewiki.Vogt-Koyanagi-Harada

