
面对色泽鲜艳、口感爽滑
鲜美无比的生鲜生肉
相信许多小伙伴们都忍不住食指大动
饕餮贪吃

(睇到都流晒口水)
一口下去那个鲜、那个爽啊
图的就是那个口感
可你有没有想过但病从口入
这些没有完全煮熟的肉会有寄生虫!

有关寄生虫的外国大片
已经给南方君幼小的心灵造成了阴影
从脑子、肚子、全身游走的寄生虫
特效总是Hin逼真

然而生活中的寄生虫搞起事情来
统统不用加特技!
直接上演大片!

肢体麻木、视力模糊、时不时抽搐
…
十六年来,湛江人刘先生饱受病痛折磨
靠吃止痛药缓解疼痛
今年3月刘先生连续两周头痛剧烈
走路也不平稳,遂去医院就医

X光片显示刘先生
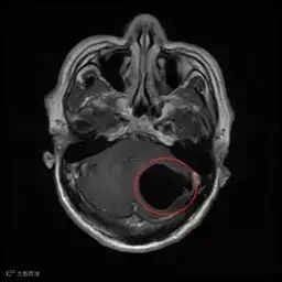
术前头部MR
左侧小脑半球内一较大的囊性占位
压迫小脑、脑干
为囊虫病变
“黑色空洞”部分即为囊虫病灶
▼

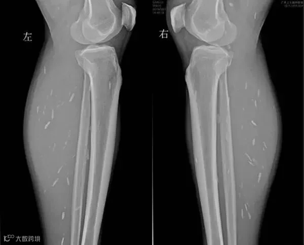
令人吃惊的是
除了头部,影像检查还提示
患者双下肢也有囊虫
分散密布在左小腿和右小腿处
▼

看着这些触目惊心的图片
刘先生觉得头脑发麻
没想到自己身上有这么多囊虫在潜伏

结合病史,考虑为颅内多发脑囊虫病
医生为他进行了“左侧小脑囊虫占位切除术”
术后医生表示患者致病
可能与其食用了
未煮熟的有寄生虫的猪肉有关
囊虫病是猪肉绦虫的幼虫寄生在人体各组织如脑、眼睛、皮下组织及肌肉等引起的疾病。如果囊肿进入大脑,可导致颅内压增高、癫痫或精神障碍等...

吃生肉和没煮熟的肉
寄生虫能从肠胃“爬”到大脑
囊虫病的感染主要与
不卫生的饮食习惯有关
比如生食猪肉或进食了没有煮熟的猪肉
进食污染虫卵的蔬菜、生水、食物等

那么,还有哪些危险的寄生虫
藏在日常食物里?








不少人爱吃肉,但生肉千万别碰
珍爱生命,远离寄生虫
贪“生”把自己的小命pass就不划算了

一些不良的饮食习惯
可能会让细小的虫子有机会“住”进体内
它们筑窝的地儿
可以是肝脏、眼睛、甚至是脑子...
预防寄生虫病的
关键是改变不良的饮食习惯:


食物砧板生熟分离。
烹调时猪肉一定要熟透,改掉食用生肉的习惯。
养成良好的卫生习惯,餐前便后洗手。
注意“米猪肉”,不要食用来源不明的猪肉。
牲畜圈养,避免人畜互相感染。
南方君不得不提醒小伙伴们
生水要煮沸,生肉要煮熟啊
这样才能杀灭潜在的虫卵和病菌!
来源:广东公共DV现场、人民日报、广州日报
猜你想看
开四停四!广州公开征求实行交通限外、限行意见!权威解读快来看


