
晚高峰时间
南方君为你速览
今天广东人都在关注哪些事?
👇👇👇
电闪雷鸣天骤黑,多地市区中午突降暴雨!
今天中午,广州、佛山、江门、韶关等地遭遇短时强降水和冰雹等强对流天气!

昨天错过的大雨,今天加倍还给你……


不过雷阵雨来得猛烈,去得也快,这会广州已是艳阳高照~

预计,受高空槽、切变线和东路弱冷空气共同作用,26日到28日我省雷雨频繁,并伴有8级~10级,部分站点有11级以上雷暴大风和局地冰雹。26日到27日我省中东部沿海海面风力东北风6到7级阵风8级。
今年五一小车高速免费4天!车流高峰30日下午开始
根据国家相关安排,今年五一放假为5月1日至4日共4天。对于7座及以下小客车来说,意味着可以享受4天免费时间,免费时间从5月1日0点到5月4日24点。

4月26日,广东省交通集团发布高速公路出行指引:今年五一有4天假期,气温适宜,受高速公路免费通行影响,公众短途出行意愿会增加,车流主要以小型客车中短途旅游踏青为主。
据测算,今年五一假期车流量将比去年同期增长10%左右,车流出行高峰将出现在4月30日下午、5月1日当天,返程高峰预计出现在5月4日中午至晚上。五一期间,预计共有46处服务区车流客流较大……
4月26日,九洲控股集团正式开通九洲港至深圳机场福永码头“深珠水上巴士”。深圳宝安国际机场进入珠海人“一小时生活圈”。
据悉,“深珠水上巴士”票价125元,自4月27日起每天设有16个往返航班,最早7:30由九洲港开出,最晚20:00由深圳机场码头返回。旅客仅需60分钟便可抵达深圳机场码头,免除了陆路塞车烦恼。

深圳机场码头位于深圳机场西南角,距T3航站楼仅2公里车程,是深圳市宝安区唯一的客运码头。乘客下船后可直接乘坐免费的摆渡车前往航站楼,耗时仅需5分钟。此外,凤凰山森林公园等景区、深圳国际会展中心坐落于宝安区内;对于前往龙华、光明、西乡、新安、沙井等片区的旅客,选择新航线会更节约时间。
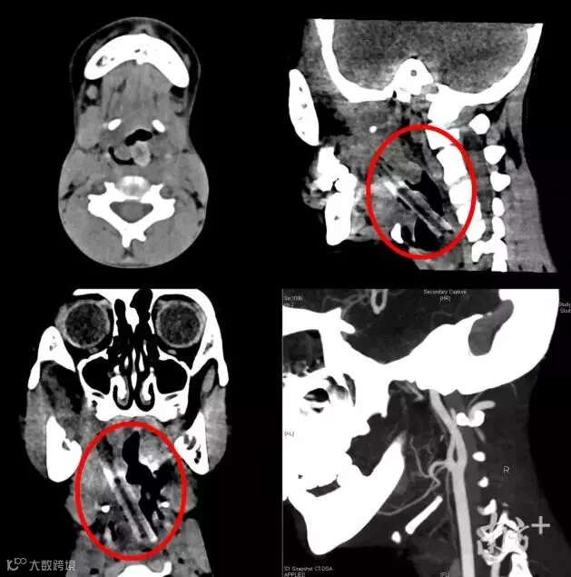
8岁男孩咽喉旁取出5厘米长树枝!竟是两年前摔倒时插入

“取出来了!树枝全部取出来了!”4月23日,在中山大学孙逸仙纪念医院手术室里,当一根长达5厘米的树枝从8岁小男孩小李的口中取出,手术室里医护人员一阵惊呼。
如果不是亲眼所见,大家都难以想象,这根大树枝,已经在小李的咽旁间隙“居住”超过两年,让他嘴巴难以张开正常进食,营养不良日渐消瘦……
CBA总决赛:广东新疆十年来第五次碰面
4月26日晚,2018-2019赛季CBA总决赛将在广东东莞银行队主场打响,球馆座位上已放置印有战字的T恤,衣服上配有八颗星,象征着八冠王的历史,在面对老对手新疆队的比拼中,广东队已蓄势待发。

本赛季广东队气势如虹,尤其是进入季后赛之后,球队第一轮3比0横扫江苏队,第二轮4比0战胜深圳队。季后赛打到现在,广东队还没有输一场比赛。上一次两队在总决赛相遇,由于实力相差较大,新疆队4比0轻松击败广东队。
如今再次相遇,两队的实力都有很大变化,虽然广东队首发实力稍占优势,但新疆队阵容厚度较好……两虎相争,你更看好谁?
来源:南方网综合整理
猜你想看


