家有萌娃
各位老父亲老母亲的小心脏
没有一刻不是悬着的
因为在孩子们的眼中
世界上的每一件物品都是新鲜有趣的
保不齐啥时候就给你来份“惊喜”
但作为家长可千万不能大意
深圳市儿童医院就有这样一则案例
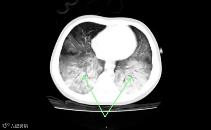
1岁娃因误食电蚊香液
被紧急送医,住进ICU
“我就走开了几分钟,没想到,宝宝就出事了。”
地上扔着一个
开了瓶盖的电蚊香液瓶子

图源:视觉中国
宝宝一阵咳嗽
吐了一点点出来
但是,人逐渐变得软软的
四肢无力
蚊香液加热后
在密闭的室内释放
经呼吸道吸入后可能出现
头痛、头晕、乏力,恶心、呕吐等症状
一般对于人体而言
是低毒性或者是微毒性

如果不慎误服了
可能有毒的化学品
应尽早就医
越早越好!

图源:视觉中国


图源:视觉中国










预防,才是最好的治疗↓

