但是,按摩也不是想按就能按的
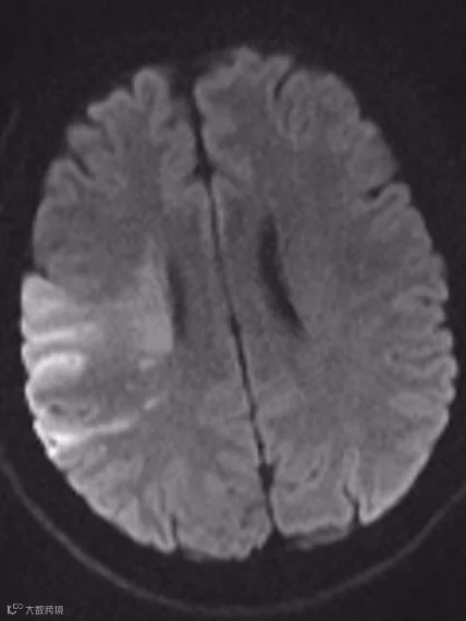
左图:梗死的脑组织
右图:颈动脉夹层
由于颈部没有骨头保护、很脆弱。当用力去按压颈部肌肉时,如果挤压到了动脉血管,则可能出现血管内膜层的撕裂,血液侵入血管管壁内导致壁内血肿,形成动脉夹层。
夹层在动脉血的冲击下越来越大,挤压正常的血管,使动脉血管狭窄甚至闭塞,或形成血栓脱落,导致远端脑血管堵塞而导致脑卒中。
除了推拿和按摩可能诱发颈动脉夹层外,颈部钝挫伤或穿透伤也是常见原因。某些体育运动(如蹦极、瑜伽)、颈部突然过度外伸或旋转、颈部扭伤、剧烈咳嗽、呕吐之后也可能引起颈动脉夹层。
左图:开通后的血管
右图:取出的血栓


女子按摩后恶心呕吐,紧急就医
按摩后眩晕狂吐
男子查出脑中风,紧急手术
美容院按摩后,医生建议做环切手术

图源:中央电视台健康之路
-
可能是甲状腺、咽喉等地方病变,让脖子不舒服; -
可能是落枕或脖子的肌肉拉伤; -
可能是肩部损伤影响到脖子; -
可能是日常姿势不良导致颈部肌肉疲劳; -
……
编辑:小鹿
猜你想看
按摩需谨慎 治病找对症!

