世界卫生组织7月23日宣布,在多个国家和地区发生的猴痘疫情构成“国际关注的突发公共卫生事件”。据了解,“国际关注的突发公共卫生事件”是世卫组织发布的最高级别警报。
世卫组织评估认为,猴痘疫情在全球以及除欧洲外的其他地区是中等风险,在欧洲地区的风险是高风险。猴痘疫情还存在进一步国际传播的明显风险。
世卫组织总干事谭德塞在当天举行的新闻发布会上表示,“简而言之,我们目前面临一场通过新的传播方式在世界各地迅速传播的疫情,我们对其了解太少”。
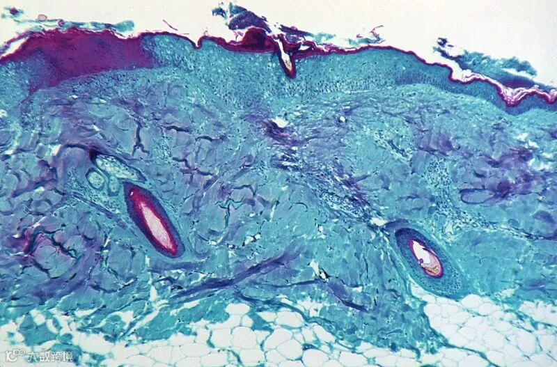
在放大50倍的情况下,显示了从一只感染了猴痘病毒的猴子皮肤病变处获取的皮肤组织切片。图源|央视新闻
世卫组织6月23日召开关于猴痘疫情的突发事件委员会第一次会议。6月25日,世卫组织宣布,猴痘疫情暂不构成“国际关注的突发公共卫生事件”。当时世卫组织收到了来自47个国家和地区的约3040例猴痘病例报告。
但近一个月来,越来越多的国家和地区向世卫组织报告了更多的猴痘病例。截至目前,已有75个国家和地区向世卫组织报告了超过1.6万例猴痘病例。7月21日,世卫组织再次召开关于猴痘疫情的突发事件委员会会议,但突发事件委员会未能就猴痘疫情是否构成“国际关注的突发公共卫生事件”达成一致。
猴痘是一种病毒性人畜共患病,人感染猴痘后会出现类似患天花的症状。发病初期通常出现类似流感的症状以及淋巴结肿大,逐步发展为面部和身体大范围皮疹。世卫组织数据显示,天花疫苗对猴痘病毒有效率达到85%。
专家介绍,猴痘是一种自限性疾病,在大多数情况下,靠机体调节可以自愈。那是不是说,猴痘一点不可怕,我们根本不用管它了?当然不是。和部分病毒一样,猴痘病毒也有分支,大致分为西非分支和刚果盆地分支。其中西非分支病死率约3%,而刚果盆地分支病死率约10%。不可否认,猴痘是存在着致命性的。
据海外网,美国《纽约邮报》7月22日报道, 美国加利福尼亚州一名男子同时感染新冠病毒和猴痘病毒,双倍的痛苦,导致他几个星期无法下床 。这也是美国首个同时感染新冠和猴痘病毒的病例。
患者名叫汤普森, 他于6月底确诊新冠肺炎,几天过后,背部、腿部、手臂和颈部又出现红色疹子,被医生诊断为感染猴痘病毒 。
汤普森说,他出现发烧、呼吸困难、发冷、身体疼痛等症状, 一度无法喝水 。在休息几个星期后,终于有所好转。
美国斯坦福大学一位传染病专家表示,一个人确实有可能同时感染两种病毒,并称汤普森的运气“非常糟糕”。
美联社7月22日报道称,美国已报告2500多例猴痘病毒感染病例,其中患者多为男性,约8名为女性。美国《纽约时报》7月8日曾发文,批美政府应对猴痘疫情不力,致病例迅速扩散,称应对新冠大流行初期时的糟糕表现正在重演。
7月1日,国家卫生健康委办公厅印发《猴痘防控技术指南(2022年版)》(以下简称《指南》)。
记者注意到,为规范猴痘流行病学调查、接触者判定和管理、实验室检测等工作,此次《指南》在原卫生部《猴痘流行病学调查原则(试行)》等三个技术方案的基础上整合修订形成。
根据《指南》,由于在1980年消灭了天花并随后停止接种天花疫苗,猴痘已成为公共卫生领域最重要的正痘病毒。2022年5月初以来,已有20多个非地方性流行国家发现多例猴痘病例,且已出现人际传播。
关于猴痘病毒的传播途径,《指南》显示,猴痘病毒经黏膜和破损皮肤侵入人体。主要通过接触感染动物的呼吸道分泌物、病变渗出物、血液、其他体液,或被感染动物咬伤、抓伤而感染。
人与人之间主要通过密切接触传播,亦可在长时间近距离接触时通过飞沫传播,接触病毒污染的物品也有可能感染。病毒还可通过胎盘从孕妇传播给胎儿。
6月14日,国家卫健委印发《猴痘诊疗指南(2022年版)》,在医疗机构内感染预防与控制方面指出,医务人员执行标准预防,采取接触预防、飞沫预防措施,佩戴一次性乳胶手套、医用防护口罩、防护面屏或护目镜、一次性隔离衣等,同时做好手卫生。
本次发布的《指南》,在预防方面分为宣传教育、疫苗接种、主动就医和及时报备、限制动物贸易等四个部分。
在宣传教育方面,《指南》强调,出入境人员和涉疫地区人员需关注所在国的猴痘疫情信息。在猴痘地方性流行地区,尽量避免与啮齿类动物和灵长类动物(包括患病或死亡的动物)发生接触,不直接接触动物的血和肉,必须彻底煮熟后才能食用。
在主动就医和及时报备方面,《指南》指出,疫区归国人员需注意自我健康监测,出现皮瘆等症状时,应主动就医,并告知接诊医生疫区旅行史,以助于诊断和治疗。若在国外有过接触史和暴露史,尚未出现症状,可主动联系当地疾控中心进行咨询和报备。
来源:央视新闻、央视网、大湾区之声、新华社、广东共青团、海外网、每日经济新闻、上观新闻
猜你想看
首批国产新冠特效药来了!安全吗?有效吗?所有人都能用?
广东昨日本土新增“10+10”,乘坐这趟高铁的人员请立即报备!
大暑|23.5°N上的二十四节气
陈湘波作《二十四节气系列•大暑》
夏日锻炼如何防暑防晒?权威指南来了!
