几天前宁波的王阿姨(化姓)听信了“吃杨梅不吐核”的谣言,想要通过吃杨梅为身体“排毒”。
当天下午,她刻意吃杨梅不吐核,很快就将一大碗杨梅吃完。在吃下杨梅的次日凌晨,王阿姨就开始出现了严重的腹痛。剧烈的腹痛导致她痛不欲生,恨不得在地上打滚。
因此,王阿姨一大早忍着强烈的腹痛,来到了余姚市中医医院消化内科求诊。
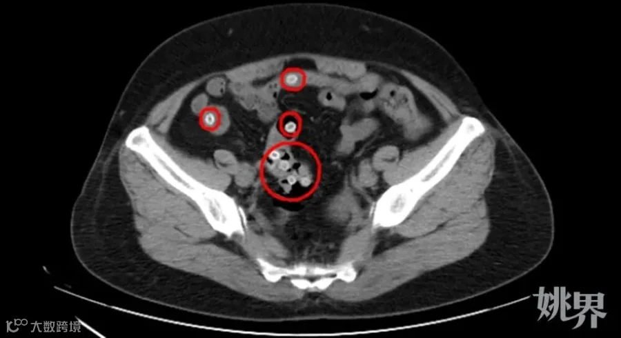
CT影像显示,患者肠道内有不少杨梅核滞留
CT影像显示,王阿姨的肠内存在多处类圆形高密度影,密密麻麻的圆圆小白点正是滞留在肠道内的杨梅核,这是导致患者腹痛不止的罪魁祸首。
“这种情况下,患者很有可能会引发胃痉挛和肠梗阻,要尽快将杨梅核排出体外。”主任医师谷红苹首先为患者进行解痉止痛治疗,然后为其开具了通便的药物促杨梅核排出。
在药物的帮助下,王阿姨成功在第二天完成排便,肠道内的杨梅核也顺利排出体外。
谷红苹表示,杨梅核本身非常坚硬,很难被肠胃消化,特别是老人和婴幼儿要更加当心,吞食杨梅核还可能误入气道,引发窒息风险。
如果是无意间吞咽下一两颗杨梅核,对于人体来说并无大碍。可如果是听信他人谣传,刻意吞咽大量杨梅核,不仅容易噎住,还会在狭窄的肠道内产生淤堵引起腹痛症状,甚至可能引发胃出血、肠穿孔或是肠梗阻等多类肠胃疾病,后果不堪设想。
谷红苹提醒广大市民,患有胃溃疡、十二肠溃疡、消化道炎症、慢性便秘和有过消化道手术病史的人群,绝对不可吞食杨梅核,这样极易引发肠梗阻、胃肠穿孔等疾病,严重时可能会威胁生命,风险不容小觑!
6月5日
经检查,发现阿婆的血钾竟然高达8.2mmol/L(正常值为3.5-5.5mmol/L),属于重度高钾血症,随时可能引起致死性心律失常。在医生追问下,原来黄阿婆患有肾功能不全已经有3年多。
“问题就出在这里!”经过会诊后,医生立马将阿婆收住急诊ICU进行了紧急降钾,经过血液净化等治疗方案后,目前阿婆已转危为安。
杨梅大家都爱吃
为啥阿婆会险些丧命呢?
急诊ICU医生李游宇解释道:“杨梅含钾量高,100g杨梅中的含钾量就有149mg。而我们人体中80%-90%的钾由肾脏排出。正常情况下,一般人吃1斤杨梅并不会出现高钾血症,但是像黄阿婆这样肾功能有损伤的患者,排钾能力弱,1斤杨梅就是致命的危险。”
高钾血症是一种主要由于肾脏功能受损、钾摄入过多或应用某些药物导致的血液钾浓度高于5.5mmol/L的病理状态。它会影响神经、肌肉和心脏等器官的正常功能。轻者会出现乏力、恶心、呕吐、肌肉麻木等症状,重者会导致心律失常、心跳停止、呼吸衰竭等严重后果。
眼下杨梅正当季
杨梅吃对了好处多多
↓↓↓
从营养成分来看:杨梅果肉富含纤维素、矿质元素、维生素和一定量的蛋白质、脂肪、果胶,以及8种对人体有益的氨基酸。
杨梅含大量果酸,可以刺激胃酸分泌,从而具有促进食欲和助消化的作用,还可抑制糖向脂肪转化,有助于减肥。果实中含有的黄酮类物质和类似黄酮类物质结构的花色苷,具有抗氧化、调节血脂、降低胆固醇和血糖的作用。
而从中医的角度来看:杨梅甘酸,性温,入肺、胃经,有生津解渴、和胃消食、止吐止泻的功效。
杨梅具有很高的药用和食用价值,其果实、仁、叶、皮均可入药,果味酸甜适中,既可直接食用,又可加工成杨梅干、果酱、蜜饯等,还可酿酒。
不过
就像大多数水果那样
杨梅也不可多吃
尤其是以下人群
不宜吃杨梅
上下滑动阅读 ↓↓↓
来源:南方网综合宁波晚报、温州晚报、健康有约、广州日报等,封面图源视觉中国
编辑:小舟
校对:梁洁萍
猜你想看
转发周知!

