军事兽医研究所扈荣良团队为ASFV现场检测提供简单灵敏的新参考方案
RPA-LFD方法可在38℃,20分钟内完成ASFV检测,和real-time PCR的阳性率的一致性是100%。
2019年5月15日 ,扈荣良团队在Front Microbiol上发表了Rapid and Sensitive Recombinase Polymerase Amplification Combined With Lateral Flow Strip for Detecting African Swine Fever Virus。具体文章信息如下:
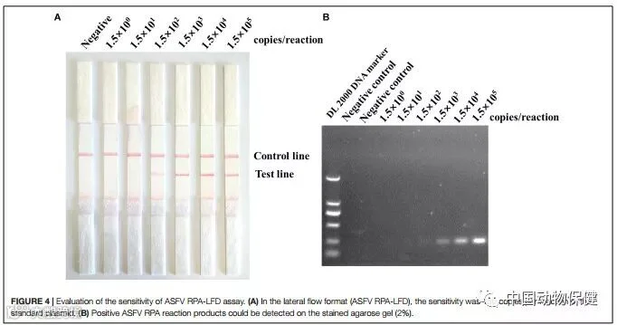
非洲猪瘟病毒(ASFV)是非洲猪瘟(ASF)的病原体,非洲猪瘟疫情蔓延对全球养猪业造成了破坏性的影响。然而,目前尚未开发出用于ASF的疫苗或药物。因此,能够在现场准确检测ASFV对于及时实施控制非洲猪瘟非常重要。在这项研究中,扈荣良团队开发了一种快速检测方法,它结合了ASFV p72基因的重组酶聚合酶扩增(RPA)和侧向流动检测(LFD)。结果显示重组酶聚合酶扩增与侧向流量试纸(RPA-LFD)对ASFV具有敏感性,在38℃下在10分钟内每个反应150个拷贝。该测定法对ASFV具有高度特异性,并且与其他猪病毒(包括经典猪瘟病毒(CSFV))没有交叉反应。研究中总共检测了145个野外样品,并且RPA-LFD(10/145)和real-time PCR(10/145)之间的阳性率的一致性是100%。总体而言,RPA-LFD为ASFV的简单、灵敏和特异性检测提供了新的替代方案,并且具备现场ASFV检测的潜力。
非洲猪瘟发病潜伏期平均为6-20天;然而,养猪场通常在农村地区,甚至在远离城市实验室的偏远山区,这就需要更多的时间进行取样和运输。一旦对疑似感染非洲猪瘟猪只的诊断被推迟,ASF暴露于其他养猪场的风险就会增加。
目前,TaqMan real-time PCR 在受非洲猪瘟影响地区被广泛使用。但是,这种方法需要复杂的热循环仪、复杂的样品处理程序和昂贵的反应仪器 ,这就限制了其在即时检测中的应用。
不同的等温分子扩增方法,如环介导等温扩增实验(LAMP) ,聚合酶交联螺旋反应,交叉引发扩增法基于嵌合DNA / LNA的生物传感器和液滴数字PCR等,已被开发为快速、简单、经济的PCR分子检测方法。
RPA方法有几个优点,例如,其不需要对DNA变性进行初始加热,在测试条件下(38℃,20分钟内)很容易完成。LAMP检测ASFV需要长时间(60分钟)和高温(62℃-65℃)。相比之下,RPA方法需要不到20分钟在38℃条件下可以完成。因此,RPA方法比LAMP方更加法简便易行。
侧流式试剂盒重组酶聚合酶扩增克服了现有扩增方法的技术难点,例如,它在低温恒温下运行,不需要模板的热变性,也不依赖于昂贵的热循环仪。结合商用磁珠法DNA提取试剂盒,该方法可应用于设备条件较差的现场检测或快速诊断。RPA对粗制样品具有高度抗性,可用于粗核酸提取的现场检测。
RPF-LFD测定ASFV的潜在缺陷是其反应管必须在扩增反应完成后打开,可能导致污染物进入。因此,应采取预防措施,例如,应小心地打开和关闭反应管,经常更换手套,应分离RPA前后扩增的进程,并尽可能缩短反应时间。用dUTP替代dTTP有助于显示是否携带污染。
总之,通过对用于快速诊断ASFV的快速RPA-LFD检测方法进行评估,作者认为RPALFD在ASFV检测中的优异性能及其与real-time PCR检测结果的一致性表明,RPALFD适用于ASFV的实验室诊断,并且在国内ASFV现场检测应用中具有很大的潜力。
注:本文转自《中国动物保健》
国内首先经权威机构认证“广消安”、“消毒灵”在一定浓度下可以100%杀灭非洲猪瘟病毒
长按上方二维码关注我们

