大数跨境

黄精---便携移动补血包

黄精---便携移动补血包 黄精联盟
2023-12-05
2
导读:黄精是一种药食同源的中药,黄精多糖作为其主要活性成分具有抗肿瘤、抗氧化、免疫调节和调节血糖血脂等多种生物活性,PS中的果糖、葡萄糖和蔗糖的混合物具有补血活性。临床研究表明,蒸制黄精的“益气补血、补脾补

传统中医认为血虚(blood deficiency syndromeBDS)是体内气血亏损、脾胃虚寒或失血过多引起的一种病理状态,与现代医学中的贫血症状相似。目前在临床上治疗BDS最常用的药物为口服铁补充剂,但由于其不良反应,如引起肠胃不适和加剧肠胃炎等,口服铁补充剂的应用受到限制。因此,近年来,阿胶、三七、当归、四物汤等几种补血活血的中草药配方越来越被应用到BDS和贫血的治疗中。

黄精(Polygonum sibiricumPS)是一种药食同源的中药,黄精多糖(Polygonum sibiricum polysaccharidesPSP)作为其主要活性成分具有抗肿瘤、抗氧化、免疫调节和调节血糖血脂等多种生物活性,PS中的果糖、葡萄糖和蔗糖的混合物具有补血活性。临床研究表明,蒸制黄精(steam-processed PSSPS)的益气补血、补脾补肾功效增强,另外,SPS能显著增加BDS小鼠血液中白细胞、血红蛋白、红细胞、血小板的生成。然而,关于蒸制黄精多糖(SPSP)的理化性质和其补血的具体机制仍不清楚值得进一步研究。因此,浙江大学宁波研究院的彭昕教授团队围绕SPSP的结构特性和作用机制展开研究,在《Frontiers in Immunology》期刊(JCR 1区,IF 7.3)发表题为“Blood-Enriching Effects and Immune-Regulation Mechanism of Steam-Processed Polygonatum Sibiricum Polysaccharide in Blood Deficiency Syndrome Mice”的研究型论文。该研究旨在通过仪器分析和化学分析方法鉴定SPSP的结构,采用BDS小鼠模型和转录组学方法探讨SPSPBDS小鼠的潜在作用机制。

离子色谱ICS结果显示,SPSP的主要单糖成分为半乳糖和半乳糖酸,还包含少量的甘露糖、葡萄糖、阿拉伯糖、鼠李糖和氨基葡萄糖(图1
1 SPSP的仪器分析和化学分析(A) SPSP高效凝胶渗透色谱(high performance gel
permeation chromatography, HPGPC分析(B) SPSP的单糖组成(C) FT-IR光谱(D) SPSP切片的X射线衍射(X-Ray Diffraction, XRD光谱
2 SPSP切片扫描电镜图

1 SPSP体重(Body Weight Gain, BWG体温(Body Temperature, BT脾脏指数(Spleen Index, SI的影响。
实验设计五组实验小鼠(每组10只),分别为:对照组、环磷酰胺(cyclophosphamideCTX)和乙酰苯肼(acetylphenylhydrazineAPH)诱导产生溶血性、再生障碍性贫血的BDS模型组、当归补血口服液(Dangguibuxue oral liquidDOL)组、高剂量SPSPH-SPSP)组、低剂量SPSPL-SPSP)组CTX对体液免疫和细胞免疫具有抑制活性,APH诱发的溶血性贫血会耗尽骨髓和外周血中的造血干细胞,显示出血红蛋白和红细胞下降等贫血性血象,CTXAPH共同抑制体内造血和免疫活性从而诱导产生溶血性、再生障碍性贫血的BDS模型;当归补血口服液主要成分为黄芪和当归,中医上黄芪大补脾肺之气滋养脾胃(气血生化之源),当归益于营气(血液中具有营养成分的气)使气旺血生,当归补血口服液具有补养气血的功效,常用于治疗气血两虚的症状。
具体处理如下:对照组小鼠每天蒸馏水灌胃一次;BDS组小鼠每天蒸馏水灌胃一次的同时,在第2天和第5天分别以20mg/kg40mg/kg的剂量皮下注射APH盐水溶液来建立BDS模型,第二次注射APH盐水溶液两小时后,将CTX盐水溶液以40mg/kg的剂量连续4天腹腔注射到小鼠体内,以维持BDS模型;其他组分别连续14天每天接受DOL3 mL/kg)、H-SPSP400 mg/kg)和L-SPSP100 mg/kg)治疗。
在本研究中,BDS小鼠出现精神迟钝、嗜睡、驼背、运动迟缓和体重减轻等现象,血常规结果显示,BDS小鼠的外周血红细胞、血红蛋白和血小板显著下降,表现出血虚的特征性临床症状;用SPSP治疗后,BDS小鼠的体温恢复正常,外周血红细胞数量也恢复到正常值(图3)。BDS组的脾脏指数显著增加,红细胞数量显著下降;SPSP组的脾脏指数和红细胞数量有明显改变,同时,脾脏的组织病理学变化表明SPSP可以防止脾脏萎缩(图4)。BDS组的血液中促红细胞生成素(erythropoietinEPO)和粒细胞集落刺激因子(granulocyte colony stimulating factorG-CSF)水平低于对照组,但SPSP处理后显著升高,表明SPSP可能通过促进EPOG-CSF产生来减轻造血损伤;此外,BDS组的炎症因子TNF-αIL-6水平显著降低,SPSP则缓解了BDS的抑制作用,增强抗炎效果(图5)。
3 BDS小鼠经不同剂量SPSP治疗后的血液参数。(A) 红细胞和白细胞数; (B) 血红蛋白hemoglobin, HGB含量; (C) 血小板(blood platelet, PLT)数量; (D) 红细胞压积(packed cell volume, PCV)和红细胞分布宽度(red cell volume distribution width, RDW)比率
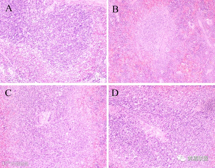
4 SPSP对脾脏组织病理学变化的影响。SPSP处理14天后,用image Pro-Plus 7200软件分析脾脏的组织病理学变化。样品进行HE染色,并在200倍放大倍数下观察。(A) 正常对照组;(B) BDS模型组;(C) L-SPSP0.1g/kg)组;(D) H-SPSP0.4g/kg)组
5 SPSPBDS小鼠造血功能(AB)和免疫调节细胞因子(CD)的影响。(A) 促红细胞生成素(erythropoietin, EPO)水平;(B) 粒细胞集落刺激因子(granulocyte colony stimulating factorG-CSF水平;(C) TNF-α水平;(D) IL-6水平
JAK-STAT信号通路被证明是转导参与造血、免疫调节和炎症的细胞因子信号的关键途径之一。EPO与其受体EPOR的结合则可以快速激活JAK-STAT信号通路,并通过上调红细胞特异性转录因子GATA1促进免疫细胞的存活、增殖和分化。在该途径中,Jak1Stat1GATA1EPOR是治疗BDS的主要靶点。当归补血汤可显著降低免疫诱导的再生障碍性贫血小鼠Jak/Stat信号通路关键靶点Jak1Stat1Stat3的水平。红枣多糖通过改变血清EPO水平、肾脏EPO mRNA和蛋白质表达,改善慢性肾脏疾病相关贫血。蒸制三七通过上调GATA1 mRNA表达来减弱BDS症状。
实验转录组RNA-seq分析显示,SPSP处理后差异表达基因 (DEGs) 在造血、免疫调节等信号通路中显著富集(图6、图7),SPSP处理可抑制CTX诱导的Jak1Stat1GATA1EPOR蛋白水平的降低,以及GATA1EPOR mRNA水平的上调,与SPSP对血液指标、造血和炎症细胞因子(IL-6TNF-α)的改善效果一致,因此推测SPSP可能通过调节JAK1-STAT1信号通路中的关键因子发挥潜在作用(图8、图9)。
6 DEGs分析。(A1)模型(M)组与对照(C)DEGs的火山图(A2) SPSP与模型组DEGs的火山图(B)上调和下调DEGs数量(C) MCDEGs的韦恩图以及SPSPM的比较(D) DEGs的层次聚类
7 DEGs的功能分析。(A) 生物途径(biological process, BP细胞成分(cellular component, CC分子功能(molecular functions, MF上的Go富集序列;(B) KEGG富集序列;(C) 蛋白质-蛋白质相互作用(protein-protein interaction, PPI)网络(D) PPI网络的子集。根据程度水平选择前25DEGs进行放大。节点颜色由黄色变为红色,相应程度逐渐变大。
8 H-SPSPBDS小鼠Jak1Stat1EPORGATA1 mRNA表达的影响
9 H-SPSPBDS小鼠Jak1Stat1EPORGATA1蛋白表达水平的影响

10 预测参与JAK-STAT途径的造血细胞因子(EPOG-CSFTNF-aIL-6)和靶点(EPORJAK1STAT1GATA1
研究验证了黄精多糖作为一种免疫调节剂预防和治疗血虚,并为黄精在营养健康行业的应用和发展提供了理论依据。
转载请在开头注明:本文转载自公众号——黄精联盟
原文链接:https://doi.org/10.3389/fimmu.2022.813676
扫二维码关注“黄精联盟”公众号
支持单位:
浙江农林大学森山大健康研究院
浙江农林大学新化黄精研究院
新化县颐朴源黄精科技有限公司
浙江农林大学磐安共富学院
编辑:周茜
审核:刘京晶
终审:邹辉

【声明】内容源于网络
0
0
黄精联盟
林业和草原黄精产业创新联盟主办,发布黄精行业动态、前沿科技成果、黄精企业及产品介绍。
内容 72
粉丝 0
黄精联盟 林业和草原黄精产业创新联盟主办,发布黄精行业动态、前沿科技成果、黄精企业及产品介绍。
总阅读11
粉丝0
内容72