爱情会过期吗?

但是爱情为什么会过期?一直持续着刚恋爱时的状态不好吗?
原因是当我们在邂逅爱情时,大脑中会分泌许多让我们感受到快乐的化学物质。

但是任何化学物质在人体内的时间一长,人体就会对它们产生抗体,也就是我们常说的「无感」。

而人们一旦进入这个阶段,就宣告了爱情已经「过期」了。
那过期了该怎么办呢?
但是同样是面对爱情过期,为什么有些人可以白头偕老,有的人即便相爱可最终还是分道扬镳?
除了人品、移情别恋等特殊原因,究竟是什么在影响着最终的结果?
于是他们找来了4对处于不同状态的情侣,以及3位权威的情感专家,通过一系列周密的实验,来为我们解开了关于爱情方面的一些事实。
单看这4对情侣的状态,就让我对接下来会发生的事情充满了期待。
爱情学专家、实验心里学家安吉拉·罗维博士认为,感情处于不健康状态下的情侣,会丑化伴侣在他们心中的形象。
为了验证这个假设,她分别为这4对情侣,准备了三张更好看和三张更难看的对方的照片,让他们选出最像自己伴侣的那一张。
处于相爱状态的人,都选择了伴侣最美的那张照片,即便那并不是对方真正的样子。
但是如果两个人在爱情中出现了矛盾,或者正在遭受困扰,那么他们便会做出相反的选择。
实验证明了,你越是爱对方,对方在你眼中的样子就会越理想化。

从科学角度来说,情人眼里出西施这事儿,是怎么发生的?
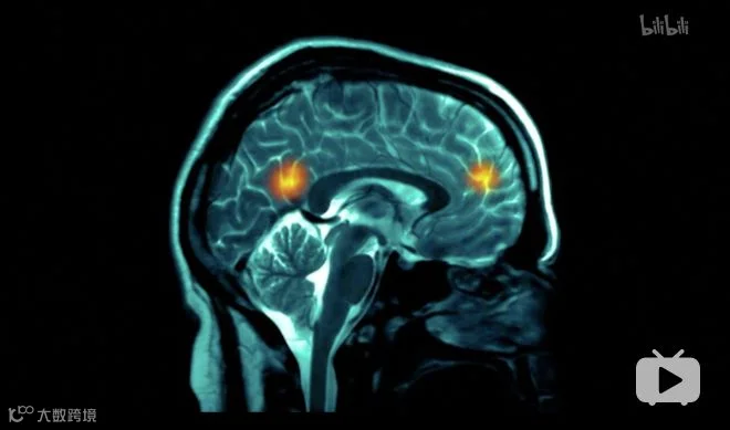
精神学家安德烈·巴特尔在许多热恋情侣中做过一个这样的实验:
让他们看着自己伴侣的照片,同时扫描这些实验者的脑部。
扫描的结果显示,每一位处于热恋期的人,在看到自己伴侣的照片时,脑部的奖励区域都异常活跃。
意思是此时的大脑会分泌大量让我们感到快乐的化学物质。
这也解释了为什么爱情会让人感受到幸福和快乐,刚刚在一起的时候,彼此都愿意粘着对方。
但是,此时大脑中一些相对理性、做出判断的理性区域,却是被压抑的。
所以每当我们在看到喜欢的人的时候,在我们身上就会发生两件事:
这和粉丝看到爱豆时疯狂到不能自已的反应,其实是一样一样滴。
安德烈·巴特尔解释道,我们的大脑之所以会这样处理,其背后有着非常重要的进化原因。
我们进化的唯一目的就是为了繁殖,虽然有点令人沮丧,但这是事实。
所以爱是大脑的一种内建机制,这种机制能让我们长久待在爱的人身边。例如彼此陪伴的伴侣,例如养育小孩子的父母。
也就是说,爱情火花的持续燃烧时间,只有短短的2~3年。
柏克莱大学的凯尔特钠教授认为,只要给他一张照片,他便能看得出一个人是否适合做伴侣。
从一项他跟踪了30年的调查中发现,一个人在青年时代的笑容越是灿烂、越是温暖多情,那么这个人在生活中,越容易得到来自外界的温情。
同时焦虑情绪也越少,抗压能力较强,生活上感觉越容易达成目标,更令人惊讶的是,他们更满足于婚姻生活。
凯尔特钠教授还表示:笑容的灿烂程度,却往往取决于童年时期经受的压力大小。
所以从一个人的微笑中,我们能得到的信息比我们想象中要多得多。
比如这4对情侣中的某一位实验者,在和母亲拍照时,每一张照片都笑得灿烂热烈,但在和父亲拍照时,每一张照片中的他都显得拘谨、不自信。
通过采访也得知,他的父亲在他的童年时,给予了很高的期望。但事实表明,他觉得自己做得并不够好。
所以从儿童时期承受的压力大小,就能看出这个人日后对于压力的反应。
例如在婚姻方面,如果一个人在童年时期承受的压力过大,那么他们在成年后应付生活中的压力时,便会遇到很大的困难。
这和基因宝App中关于「抗压能力」的描述如出一辙。
基因对于抗压能力的影响程度为35%,剩下的65%是由生活的方方面面影响的,程度有深有浅。
从下图中可见,童年经历对于一个人抗压能力的影响程度是非常深远的。
so,在开始一段感情之前,请你先学会从对方的笑容中,读取你想要的东西。
在生活压力越来越大的时代,找一个抗压能力强的人一起同甘共苦,会让你的幸福指数有很大的提升。
对于这个问题,节目组请来了世界最权威的情感专家之一霍华德·马克曼先生来做出解答。
他曾经帮助无数对情侣重修于好,并且从十几年的追踪中,总结出了一段感情从出现问题到走向毁灭的4个征兆和过程。
男人常常表现出冷处理的态度,而女人此时开始发起进攻姿态。
霍华德·马克曼建议,在出现第一个危险征兆时,就要及时止损。
改善一段感情最有效的方式,是努力让对方知道你为了维护关系而做出的改变。
因为当对方感受到你已经迈出了这一步的话,如果他也想和你继续下去,那么他也会做出相应改变;
如果他不想继续下去,那你也顺便看清了一段感情的去向。
很巧,让对方知道你也在乎这份感情的做法,在节目组请来的这一对金婚夫妇中,屡试不爽。
每一份感情在开始阶段都是浪漫且美好的,但是这份美好一定会随着时间的流逝而消减。
一位婚姻家庭理疗专家Mudita Rastogi博士说:
「爱情分很多种,一份热烈且浪漫的爱情很重要,但对于长久的伴侣来讲,他们常会做出更用心的努力和改变而滋养伴侣和这整份感情。」
如果你心里装着爱的人,一定想把世界上最好的东西都献上。
好事从天而降是不可能的,你还是得要向TA展示出你的在乎。
初雪、平安夜、圣诞节、新年等一系列节日,正好都是让浪漫发酵的最佳时期。
如果实在仓促没有来得及准备礼物和烟花的话,还可以顺势👇
