
本想在大年初一给大家欢欢喜喜道一声「新年快乐」,但说实话,一直到现在我都说不出「快乐」这个词。
美伊紧张局势升级,战争一触即发;
澳洲大火连续燃烧了四个月不灭;
科比永远离开了我们;
武汉新型肺炎在全国正大肆蔓延。
刚刚看了一眼新型肺炎疫情实时动态,1月31日8点09分,全国确诊9720例。
从12月8日疫情发现到今天,不到两个月的时间,确诊病例就远远超过了2002年11月16日-2003年7月16日,爆发于广东顺德市的非典疫情结束时的感染人数。

全球出现非典疫情的地区统计(2002-2003年)
从1月27号开始,武汉新型肺炎的确诊人数更是以「千」为单位呈现出爆发性增长。
1月30日7点47分,全国确诊7736例,到31日清晨8时,短短一天时间,就增加了将近2000例。
从2019年12月8日第一例确诊病例开始,直至出现第一个1000个确诊病例,用了40多天。
而从第1000个到第2000个确诊病例,却只用了短短的两天。
面对这几天的病例增长趋势,其实我们大多数人都心知肚明:
经历了春运这波大迁徙之后,未发生症状的被感染患者,度过了3~14天的潜伏期,正式进入了发病阶段。
所以结合这几天的新闻信息,自此许多人便产生了这样一些疑问:
1.病毒为什么需要潜伏期?而不是感染人体之后立刻发病?
2.所以病毒进入人体之后,在潜伏期都对患者做了什么?
3.感染新型冠状病毒之后,为什么不同的人的发病程度完全不同?
病毒真的很聪明,但我们的身体也一直很努力,不信,你往下看。

我们都知道,这次引发新型肺炎的罪魁祸首是新型冠状病毒,它是分子生物。
中学时我们学过病毒的基本结构,那就是一个蛋白质外壳再加一些遗传物质,可能是RNA,也可能是DNA。

因为病毒没有完整的细胞结构,所以它虽然可以像细菌一样寄生,但是细菌脱离了细胞之后可以存活,但病毒不可以。
病毒必须在细胞内部才可以复制,才可以表现出杀伤力。
游离在细胞外边的病毒就跟粉尘和石头一样,没有任何生命特征,对任何生物都不能构成威胁。
所以我们这次比较关注的新型肺炎的传播方式,虽然可以通过飞沫与接触传播,但是却不能通过单纯的空气传播,就是这个道理。
病毒的传播需要绝对的载体,这就是为什么医生强烈建议我们戴口罩,勤洗手的原因。
但是病毒那么小,我们在平时的生活中不可能做到面面俱到,彻底防御。一旦让一个病毒趁虚而入,它便进入了或长或短的潜伏期。
比如HIV艾滋病病毒,潜伏期可以长达10年;鼠疫杆菌的潜伏期就非常短,感染之后往往一天左右开始发病。
但是不管时间的长短,所有的病毒进入宿主之后,潜伏期唯一的目的,就是为了复制和繁衍。
世间万物的一切进化和行为都是为了生存和繁衍,这点病毒也不例外。
所以病毒的真正目的并不是为了快速杀死宿主,因为宿主死亡之后,病毒自身也没有办法存活。
所以病毒需要在潜伏期间,大量地不停地复制自己,同时它们还变异出了一定的传染性。
潜伏过后,待时机成熟随即爆发,像HIV病毒那样,最长可潜伏10年左右,一旦爆发,谁也拿它们没办法。
同时在这10年间,不知道又有多少人被悄悄感染而不自知。
这次流行的新型冠状病毒,它的潜伏期可以长达十几天,且在这期间没有任何症状,患者本人还可以继续传染给其他人,这就非常有利于自身的传播。
所以对于此次疫情的控制,医生和专家们的建议都是关门闭户,好好待在家里,隔离和切断所有的传播路径,是防止疫情蔓延和消灭病毒最好的方式。
既然说到了这里,就再提一句很多人担心的病毒变异问题吧。
既然我们知道了病毒的目的是为了复制和繁衍,并不是为了杀死宿主,所以它变异的方向一定是对自己有利的。
表现在宏观上,没有意外的话,它大方向会朝着高传染性低死亡率的特点去变异,因为这有利于自己的传播。
所以对于病毒变异这个问题,大家不用过于担心,继续做好防护就好。

刚刚我们提到,病毒入侵宿主细胞的目的是为了进行复制和繁衍。
但是因为细胞有着自身的防御功能,所以使得病毒进入细胞的过程极其艰难。
但是病毒经过了多年的变异和演变,它们已经学会了如何欺骗细胞,从而获得通行的能力。
一个病毒想要入侵一个健康的细胞,它一共需要欺骗细胞3~4次。
新型冠状病毒的基本结构是一个蛋白质外壳,加一个RNA遗传物质。
很简单,它的蛋白质外层有一层包膜,包膜上有一些凸起,这些凸起叫做刺突。
这一结构让它在电子显微镜下的样子像一个王冠,所以叫做冠状病毒。

下面我们具体讲一下大部分病毒在潜伏期是如何感染细胞,进而导致人体发炎的。
当我们因为没有戴口罩而吸入了带有病毒的飞沫,或者因为没有及时洗手而触摸了口鼻和眼睛,给了病毒趁虚而入的机会时,

病毒第1次欺骗细胞
病毒进入人体之后,到达细胞面前准备入侵,以实现复制和繁殖的目的。
但入侵没有那么容易,毕竟细胞膜只允许极小的水分子和氧气分子进入。
大分子的营养物质,则需要一把特殊的蛋白质钥匙,让细胞膜上的哨兵来识别,就可以进入。
遗憾的是,经过了数十亿年进化的病毒,早已演变出了这样一把特殊的钥匙。
这把钥匙就是刺突,它们刚好可以与细胞膜上的受体哨兵结合。
进入细胞后,所有物质都会被溶酶体分解利用,病毒也不例外。
这本该是病毒的末日。
然而并不。
这恰恰是病毒的计俩。
溶酶体溶解了病毒的外壳,在病毒外壳瓦解的时候,它会释放一种隐藏在内部的特殊蛋白质。
这种特殊蛋白质就包裹着病毒的遗传物质,继续向着细胞核前进。
此时被溶解过的病毒物质距离目标细胞核只有5微米的距离,但是病毒没有腿和脚,是不能自己移动的。
依附于可以运送营养物质的马达蛋白,将自己成功运送到细胞核。
毕竟病毒在这场军备竞赛中已经准备了数亿年,它们早已进化出了利用马达蛋白的精密结构。
但是细胞经过多年的进化,也进化出了一套细胞内的免疫系统,中坚力量是防御蛋白。
经过了层层防线之后,通往细胞核的道路可谓是畅通无阻。
在细胞核的核膜上也有些被称作蛋白触角的识别物质,在这里同样需要通行证才可以进入。
没错,通行证就在病毒的那一层没有被溶解的蛋白质外壳上。
由于身体无法分辨这两种遗传物质的区别,所以无奈盲目将病毒的遗传编码,转录为给细胞的执行指令。

图片来源:BBC《细胞暗战》
病毒自此进入潜伏期,实现了大规模的繁衍和复制,细胞却从此绘出了自我毁灭的蓝图。
当然,这只是大部分病毒的复制方式。
新型冠状病毒的复制方式可能比这还要敏捷,因为它携带的是遗传物质是RNA。
病毒RNA是可以在细胞质中通过相关酶进行复制的,无需进入细胞核。
而病毒大军就在细胞内养精蓄锐,等待兵强马壮的那一刻。

如果你这几天一直在持续关注疫情方面的消息,那一定会发现这个现象:
大相径庭的临床表现。
有的人感染了新冠状病毒很快就恢复了,甚至不需要经过系统治疗,只需要在家进行自我隔离便可痊愈。
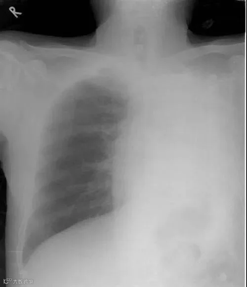
可为什么有些人一旦感染,就迅速发展为「白肺样」,甚至死亡?
“白肺”,一般是指的重症肺炎其在X光检查下的表现,肺部显影呈一大片的白色状而得名。其最常见的病因是感染,其次是弥漫性肺泡出血综合症、急性呼吸窘迫综合征(ARDS)等。
难道是病毒进行了差别对待吗?不然为什么爆发后的症状差距这么大?
病毒并不会对我们进行差别对待,我们刚刚讲到,进入到细胞内的病毒,就正式进入了大量繁衍阶段。
此时细胞尚存一丝反击之力,它决定牺牲小我,成全大我,在弥留之际,将体内的病毒碎片运送到细胞膜表面,以此向身体的免疫系统主力军——白细胞发出信号:
图片来源:BBC《细胞暗战》
但很多时候,被感染的细胞还没有被白细胞处理之前,就已经在骨架结构被破坏后开始崩塌。
紧接着细胞核膜破裂,病毒大军挥师北上,像洪水一般涌向周围的细胞,继续复制,下一阶段就是给身体以致命的重创。
图片来源:BBC《细胞暗战》
许多细胞都遭到了病毒的侵蚀,这个时候潜伏期已经过去,正式进入了爆发期。

图片来源:BBC《细胞暗战》
由于大片组织细胞发出了被感染的信号,所以一直在巡逻的免疫系统收到了信号,一时间便会命令白细胞大量聚集在此。
免疫系统命令它们火力全开,正式向病毒宣战。
所以炎症反应,也可以看做是我们身体的免疫反应。
图片来源:BBC《细胞暗战》
我们的身体在发炎的过程中,有可能会引起一种剧烈的、叫做「细胞因子风暴」的东西。
细胞因子可以让白细胞的数量增加,同时攻击力变强,杀死更多细菌。
也就是说白细胞到了这一片被感染的区域,它们杀死的不仅仅是感染细胞,还有许多健康的组织。
如果炎症此时刚好在肺部,那么人的肺部细胞就会受损,呼吸功能便会减弱。
如果白色面积太大,则表示炎症已经发展到了非常危险的阶段。

且前期免疫系统为了快速大量地杀死病毒,会聚集大量白细胞在此,白细胞的运输靠的是体液和血液。
液体大量在肺部聚集,唯一的结果就是阻塞肺部,使得人们无法呼吸。
所以很多时候,过分的免疫反应,是造成死亡的直接原因。
同理,免疫力太弱也不行,因为病毒最终会破坏所有的肺部健康组织,最终导致衰竭死亡。
所以综上所述,其实针对某种新发病毒,人类很多时候是束手无策的,只能依靠自身的免疫力把病毒清除。
所以主编此刻最大的心愿,是你们一定别出门,多喝水,早睡觉。
同时,在我们所不知道的地方,在这个春节,始终有人守在防疫前线,时刻保持着战斗状态。
那就是守在最前线的医务人员、努力研制疫苗的专家团队,以及每天接受全国几千万人民「云监工」的“火雷施工队”。
谢谢你们带给我们希望,让我们无比相信这场疫情将很快过去。
小伙伴们,再坚持一下,钟南山院士所说的14天观察期很快就过去了。
有医务工作者和专家学者冲在前线,后方有我们听从劝告与物资支援,
我相信,春暖花开的时候,我们一定可以做到大胆在阳光下尽情打滚撒欢儿。


关于我们
Genebox基因宝
专注于为年轻消费者提供
准确、有用、便捷的
个人基因检测产品。
现已加入基因社交功能
每日精准推荐21位
适合做朋友/恋人的小伙伴,让社交更高效
生活再平凡,也是限量版
来基因宝,定制限量版的生活
