黄精(Polygoantum cyrtonema Hua,PC)广泛分布于中国江西、四川、湖北、河南、广东、安徽等省,其根茎干燥后肉质厚实,是传统的药食同源物质,有效性和安全性得到了多年的实践证明。中医理论表明,黄精具有滋阴补气、平肺燥、益肾的作用。现代药理和临床研究表明,黄精不仅对动脉粥样硬化和糖尿病有良好的治疗作用,而且还具有抗炎、抗癌、免疫调节和改善认知功能的作用。
多糖是黄精的主要活性化学成分。黄精多糖(PCP)的含量与生长年限、生长区域和加工周期有关。黄精多糖的生物活性与其分子量、单糖组成、α/β构型等结构特征也密切相关。现代研究表明,加工时间和加工程度对多糖有很大影响。因此,本实验探讨了九蒸九晒法不同加工程度对PCP的影响,以及加工过程中PCP的结构与功效之间的关系。
顺铂(Cisplatin,CP)是一种广泛应用于多种肿瘤的铂类抗癌药物,但其毒副作用如肾毒性、肝毒性、神经毒性和耳毒性等限制了对于肿瘤治疗的给药剂量。顺铂易在肾小管大量积聚,引起病理性损伤,是顺铂肾毒性最常见的不良反应。据统计,大剂量顺铂治疗后约有25-30 %的患者出现急性肾损伤,严重影响患者的治疗和生存。因此,寻找能够预防或减轻顺铂肾毒性的天然药物是十分必要的。
细胞凋亡、肾组织氧化应激和炎症反应是CP诱导急性肾损伤(AKI)的主要病理机制。顺铂致急性肾损伤的主要致病机制包括:(1)线粒体功能障碍、细胞内活性氧(ROS)积累引起的氧化应激和内源性抗氧化酶表达失调;(2)炎症反应;(3)肾小管上皮细胞坏死和凋亡。黄精及其多糖具有一定的药理活性,对肾脏疾病具有潜在的治疗作用。因此,研究建立了CP诱导的AKI小鼠模型,并给予不同提取物和黄精多糖灌胃治疗。本研究旨在探讨不同提取物和PCP对CP诱导的AKI小鼠的保护作用。南昌大学食品科学与资源国家重点实验室的研究团队在《International Journal of Biological Macromolecules》(JCR一区TOP, IF=8.5)上发表的The structure change of polygonatum polysaccharide and the protect effect of Polygonatum crtonema Hua extracts and polysaccharide on cisplatin-induced AKI mice during nine-steam-nine-bask processing,采用多种研究方法和手段对九蒸九晒过程中的黄精多糖的结构变化进行分析,并且探究了黄精多糖对于顺铂诱导的急性肾损伤小鼠的保护作用。
1 PCP的结构表征
1.1化学成分
PCP0、PCP4和PCP9外观呈乳白色-浅黄褐色变化,总糖含量分别为62.45 %、60.34 %和58.23 %,蛋白质含量分别为0.58 %、1.15 %和1.46 %,醛酸含量分别为8.62 %、28.12 %和25.75 %。此外,PCP0、PCP4和PCP9在260 nm和280 nm处没有明显的吸收峰,说明PCP0、PCP4和PCP9几乎不含蛋白质和核酸。
1.2表观粘度
PCP0的表观粘度最高(3.21 Pa·s),其次是PCP4(2.18 Pa·s)和PCP9(1.97 Pa·s)。表观粘度的下降是由于在重复蒸煮和烘烤过程中PCP分子链的物理结构受到一定程度的破坏。随着剪切速率的增加,PCP0、PCP4和PCP9溶液的表观黏度呈下降趋势,表现出伪塑性的流体特性。
1.3粒度分布
PCP0在10 ~ 10000 nm范围内的两个峰表明PCP0可能有两种粒径的粒子(图1),而PCP4和PCP9只有一个峰。PCP0、PCP4和PCP9主峰的Z -平均值分别为636.37 nm、269.23 nm和223.07 nm。此外,PCP0、PCP4和PCP9的聚合物分散性指数(PDI)分别为0.861、0.429和0.284,说明PCP0、PCP4和PCP9经过加工后的粒径分布更加均匀。
图1:不同加工程度黄精多糖的粒度分布(A)、Z -平均值和PDI (B)。
1.4分子量
图2为PCP0、PCP4和PCP9的分子量分析图。黄精粗多糖(PCP0)有两个峰,绝对分子量分别为5.739×105和2.108×103。
与PCP0相比,PCP4和PCP9均只有一个峰,分子量分别为1.608×104和6.283×103(表1)。有研究证明,黄精多糖经过加工后分子量明显下降,且黄精多糖相对分子质量分布范围随加工次数的不同而逐渐减小,这与本研究的结论一致,黄精多糖的分子量随加工程度的增加而减小。经过4次循环和9次循环处理后,PCP的RMS半径矩(Rz)分别从83.6下降到47.1和20.0,呈现出与Mw和粒径分布相似的趋势。

图2:PCP的高性能体积排阻色谱结合多角度激光散射和折射率检测图(A. PCP0;B . PCP4;C . PCP9)
表1:PCP的分子量和均方根半径矩的变化

1.5扫描电镜分析
由图3(×100)可知,PCP0的聚集状态较为致密,表面光滑,而PCP4和PCP9的表面较为粗糙,加工后的小颗粒疏松不规则。在更高的放大倍数(×250和×1000)下,可以观察到PCP0中原有的链状连接消失了,出现了更多的片层结构。
图3:不同加工程度的多糖(PCP0, A. ×100, D. ×250, G.×1000;PCP4,
B .×100, E. ×250, H. ×1000;PCP9, C . ×100, F . ×250, I .×1000)
1.6刚果红试验
随着NaOH浓度的增加,产物的最大吸收波长 λmax与刚果红溶液相比发生了红移。加入刚果红试剂后,PCP0的λmax从最初的499 nm增加到508 nm,而PCP4和PCP9的λmax增加到510 nm,说明PCP0、PCP4和PCP9在溶液中均为三螺旋结构。
1.7 X射线衍射
无定形结构和结晶度将直接影响植物多糖的溶胀性、溶解度和弹性等物理性质。因此,利用X射线衍射对PCP进行了分析,结果显示PCP0、PCP4和PCP9在2θ=19°附近有一个宽峰,而在2θ=31°附近有一个小而尖锐的衍射峰,表明这三种多糖在结晶和非晶结构中共存。甘草多糖和中性多精多糖也有类似的结果。有趣的是,加工后PCP4和PCP9在2θ=31°处的衍射峰明显大于PCP0,PCP9的衍射峰也大于PCP4,说明加工程度可能会影响多糖从无定形到结晶态的晶体结构。
1.8傅立叶变换红外光谱分析
所有PCP的傅立叶变换红外光谱都显示出典型的特征吸收峰(图4)。在3364 cm-1附近出现了一个更大更宽的吸收峰,这是多糖物质的典型特征吸收峰,可能是多糖分子内O-H键的伸缩振动引起的。2935 cm-1附近的吸收峰是由糖环上甲基和亚甲基的C-H伸缩振动产生的。1740 cm-1区域的吸收峰是由质子化的C=O键拉伸振动引起的。1633 cm-1和1415 cm-1附近的吸收峰为羧基的特征吸收峰,证明PCP中存在葡萄糖醛酸。区别在于,在1200 ~ 900 cm-1处的吸收峰为吡喃糖环的C-O和C-C伸缩振动。PCP4和PCP9在899 cm-1和817 cm-1的吸收峰分别是由吡喃环C-H变角振动和呋喃环C-H变角振动引起的,说明PCP4和PCP9链中含有吡喃环结构和呋喃环结构。不同的是,PCP0的936 cm-1峰是由吡喃糖环的不对称环拉伸振动引起的,表明主链上存在β型糖缀合。在第4和第9个蒸晒周期中没有发现吸收峰,猜测重复处理可能破坏了PCP中的β构型。
图4:不同加工程度多糖的傅里叶红外光谱
1.9单糖组成分析
图5为单糖标准混合溶液与三种PCP的总离子色谱图。与混合标准品色谱图比较,PCP0、PCP4和PCP9均由6种单糖(Rha(L-鼠李糖)、Ara(L-阿拉伯糖)、Xyl(D-木糖)、Man(甘露糖)、Glu(葡萄糖)和Gal(半乳糖))组成。PCP0的单糖组成为Rha: Ara: Xyl: Man: Glu: Gal=0.05:0.14:0.83:4.53:3.73:1,PCP4和PCP9的单糖组成分别为Rha: Ara: Xyl: Man: Glu: Gal=1:1.51:0.2:6.30:3.29:11.38和0.56:0.23:0.10:1.56:1:5.29。

图5:单糖标准混合溶液,PCP0、PCP4和PCP9的总离子色谱图。(1. Rha; 2. Fru; 3. Ara; 4. Xyl; 5. Man; 6.Glu; 7.Gal)
还原后PCP的组成及含量见表2。在蒸晒过程中,PCP的单糖组成发生了变化。随着加工程度的增加,PCP中Glu的含量从39.05%下降到13.97 %和11.47 %,Man的含量从47.51 %下降到26.76 %和17.87 %。经过9个处理循环后,Rha和Gal的含量分别增加了10.43倍和4.79倍。Ara的含量在PCP4中最高(6.42 %),随后下降。
表2:不同加工程度黄精多糖及其纯化组分还原后单糖组成含量
2 PC和PCP对CP诱导的AKI小鼠的影响
2.1 PC和PCP可改善AKI小鼠的体重和脏器指数
腹腔注射CP后无小鼠死亡。CP注射组小鼠活动能力、饮食习惯明显下降,嗜睡现象明显加重,而NC组小鼠表现正常。
12天内各组小鼠体重均增加。注射CP后第12天小鼠体重均有不同程度下降,而NC组小鼠体重仍有增加。CP组体重下降幅度最大(-18.46 %,p<0.01)。与CP组AKI小鼠比较,不同浓度的PC和PCP均能抑制小鼠的减肥,且PC和PCP对减肥的抑制作用随加工程度的增加而增强。
与NC组比较,CP组小鼠肾脏指数和肝脏指数分别升高至1.36(p<0.01)和4.21,而各给药组小鼠肾脏指数(阳性对照JSB组、PC4组和PC9组,p<0.01)和肝脏指数均较CP组降低(差异无统计学意义)。
2.2 PC和PCP可改善AKI小鼠肝肾功能
血清血尿素氮(Cr)、肌酐(BUN)是评价肾功能的重要指标。本研究分析比较不同加工程度的PC组和PCP组对CP诱导AKI小鼠肾功能的保护作用。CP组血清Cr和BUN分别从42.80μmol/L、7.97mmol/L显著升高至90.68 μmol/L、41.70 mmol/L (p<0.01),是NC组的两倍多,表明CP诱导的AKI小鼠模型建立成功。
图6:不同加工程度黄精及其多糖对肾功能的影响诱导AKI小鼠的BUN水平(A. Cr;B. CP) (n=12)。
NC组:空白对照组;CP组:模型组;JSB组:阳性对照组;PC0、PC4、PC9组分别给予生黄精、四蒸四晒黄精、九蒸九晒黄精混合提取物;PCP0组、PCP4组和PCP9组分别给予生黄精多糖、四蒸四晒和九蒸九晒黄精多糖。
与CP组比较,JSB、PCs和PCP组AKI小鼠的Cr和BUN水平均显著降低(p<0.01)。PC和PCP处理程度越高,Cr和BUN水平降低程度越高,说明处理增强了PC和PCP的效果。PC0、PC4和PC9降低Cr和BUN水平的效果优于JSB,而PCP降低Cr水平的效果也优于JSB。
肝脏是体内仅次于肾脏的CP积聚组织。单次大剂量或多次小剂量注射CP可导致丙氨酸氨基转移酶(ALT)和AST(谷草转氨酶)水平升高,导致肝功能下降,肝组织内部结构病变,细胞坏死。与NC组(ALT: 26.84 U/L, AST: 135.89 U/L)相比,CP组小鼠ALT和AST水平分别显著升高至50.62 U/L和237.58 U/L(p<0.01)。与CP组比较,PC0、PC4、PC9、JSB治疗组明显降低,PC0、PCP0治疗组差异无统计学意义。
结果表明,PC和PCP预处理均能抑制大鼠肾功能下降(p<0.01)和肝功能下降(PC4、PC9和PCP9;p<0.05),经处理后,PC各组和PCP各组的效果均有所改善。
2.3 对肾脏氧化应激的影响
图7:不同加工程度黄精及其多糖对肾脏氧化应激的影响(A.CAT; B. SOD; C. GSH; D. GSH-px; E. MDA)。
氧化应激是指自由基水平在外界因素作用下急剧升高,导致细胞结构损伤和组织损伤。与NC组相比,CP组过氧化氢酶(CAT)、谷胱甘肽(GSH)、谷胱甘肽过氧化氢酶(GSH- px)水平显著降低(p<0.05),超氧化物歧化酶(SOD)含量也显著降低,但差异不显著。与CP组比较,JSB组、PC组和PCP组的CAT、GSH、GSH- px和SOD水平均升高。这些指标的升高程度与黄精及其多糖的加工程度有关,与肾脏和肝功能的变化类似。结果表明,提取物与多糖的混合可提高抗氧化能力。
丙二醛(MDA)含量可间接评价组织氧化程度,反映组织抗氧化能力。与NC组相比,CP组丙二醛含量显著升高(p<0.05)。与CP组比较,JSB、PC和PCP的MDA水平降低,但差异无统计学意义。随着加工程度的增加,MDA水平呈下降趋势,说明混合提取物和多糖可以降低顺铂引起的氧化产物含量的增加,减轻氧化损伤。
2.4 对AKI小鼠肾组织炎症因子的影响
炎症因子水平与AKI的发生发展密切相关,炎症因子的升高会加速AKI的发生发展。与NC组比较,CP组大鼠肾组织中TNF-α(肿瘤坏死因子)、IL-1β(白细胞介素)、IL-6(白细胞介素)含量升高。相反,与CP组相比,PC组和PCP组肾脏均质液中TNF-α、IL-1β和IL-6含量降低,但差异不显著。上述结果表明,不同加工程度的黄精提取物及其多糖均可降低AKI小鼠血清炎症因子水平。
2.2.5 PC和PCP对AKI小鼠肾组织细胞凋亡的抑制作用

图8:小鼠肾组织TUNEL染色结果(×400)及凋亡细胞比例。
荧光显微镜下常用TUNEL法观察肾小管上皮细胞凋亡情况。结果如图8示,NC组细胞凋亡率为0.03 %,CP组细胞凋亡率为1.69%。JSB组、PC0组、PC4组、PC9组、PCP0组、PCP4组、PCP9组细胞凋亡率分别为0.74 %、0.85 %、0.56 %、0.55 %、1.18 %、0.79 %、0.67 %。与NC组比较,CP组肾小管上皮细胞凋亡明显(p<0.01),不同样品处理后各组肾组织凋亡均显著改善(p<0.01)。
2.6 对急性肾损伤标志物的影响

图9:不同炮制程度的黄精及其多糖对KIMA-1(A)和NGAL(B)的影响。
与NC组相比,CP组肾匀浆中肾损伤分子-1(KIM-1)含量由2.50 ng/μg prot升高至3.13 ng/μg prot。与CP组比较,JSB组、PC组和PCP组小鼠在给药金水宝丸、黄精提取物和多糖后,细胞中KIM-1的含量均降低,但差异不显著,PC9组的KIM-1水平与JSB组接近。NC组中性粒细胞明胶酶相关脂质载体蛋白(NGAL)表达量最低,仅为278.58ng/μg。与NC组相比,小鼠肾匀浆中NGAL的表达量显著升高,为442.35 ng/μg(p<0.01)。经不同样品预处理后,各组小鼠肾脏NGAL的表达均显著低于CP组(p<0.01),且PC组和PCP组的NGAL含量低于JSB组(340.19 ng/μg prot)。以上结果表明,PC和PCP对降低肾损伤标志物(KIM-1和NGAL)表达的效果随着处理程度的增加而增强,而在相同处理程度下(生、四蒸四晒、九蒸九晒),PC的效果优于PCP。结果表明,PC组和PCP组均能减轻顺铂所致肾小管损伤。
2.7 肾组织中KIM-1和NGAL mRNA的表达量

图10:不同处理小鼠肾损伤标志物mRNA的相对表达。
与NC组相比,CP组细胞中Kim-1、NGAL基因表达量显著升高(KIM-1: p<0.05;NGAL: p<0.01)(图10)。JSB和不同剂量PC、PCP处理后,NGAL表达显著下调(p<0.01),而KIM-1表达降低,但差异无统计学意义。根据这些结果,JSB、PCs和PCP处理可以下调KIM-1和NGAL mRNA的表达,这与KIM-1和NGAL蛋白表达的变化一致。
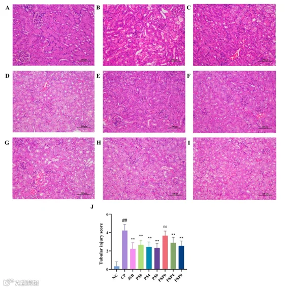
2.8对AKI小鼠肾组织结构的影响

图11:不同处理小鼠肾组织HE染色及肾小管损伤评分(×200)。
染色结果显示,NC组肾组织细胞结构正常,肾小管细胞排列整齐紧密,可见肾小球、肾小管形态正常,细胞间界限清晰。与NC组比较,CP组肾组织的正常结构明显被破坏,出现空泡,肾小管严重扩张,肾小管细胞排列分散。与CP组相比,PC组和PCP组改善了肾组织的损伤特征,空泡和小管细胞接近正常,小管扩张较小。同一类型样品的加工程度越高,改善效果越好,在相同加工程度下,PC混合提取物组的改善效果优于PCP组。

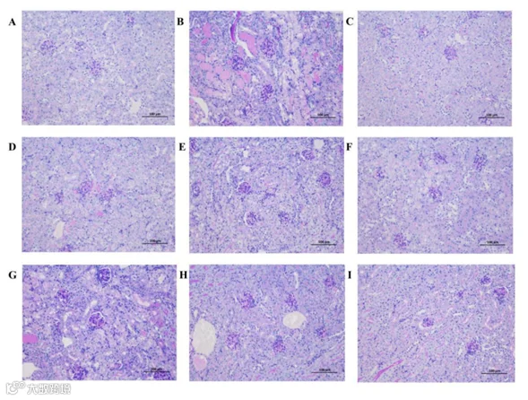
图12:不同处理小鼠肾组织PAS染色(×200)。
PAS染色显示NC组肾小管完整、正常,视野内未见糖原沉积。CP组肾组织小管上皮细胞肿胀坏死,肾小管和肾小球基底膜不完整,可见明显的糖原沉积。与CP组比较,JSB、PC和PCP组肾小管上皮细胞相对完整,损伤程度和糖原沉积减少。混合提取物和多糖可改善顺铂所致肾小管坏死和肾结构破坏,对顺铂所致AKI小鼠具有肾保护作用。
3 总结
综上所述,本研究发现不同的加工时间会影响PCP的分子量、表面结构、表观粘度、粒径等结构。PCP0、PCP4和PCP9为含有吡喃环的酸性多糖,加工后的多糖中仍含有呋喃环。此外,原多糖原有的β-糖苷键被破坏,加工后单糖的组成发生变化。采用三种不同加工程度的多糖研究其保护作用,并与相同加工周期的黄精花多糖(PCP)比较其对CP诱导的AKI小鼠的保护作用。PCs和PCPs可以改善肾功能,改善氧化应激水平失衡和炎症反应,同时还可以显著减少肾小管上皮细胞的凋亡。这里,PC和PCP对小鼠PC诱导的AKI有保护作用,有趣的是,在相同的加工周期下,PC对CP诱导的AKI的保护作用比PCP更好。这些结果可为黄精在肾脏疾病中的应用提供理论依据。
南昌大学食品科学与资源国家重点实验室李红艳教授为本文的通讯作者。
原文链接:https://doi.org/10.1016/j.ijbiomac.2024.132290
转载请在开头注明:本文转载自公众号——黄精联盟。
支持单位:
浙江农林大学森山大健康研究院
浙江农林大学新化黄精研究院
新化县颐朴源黄精科技有限公司
浙江农林大学磐安共富学院
浙江农林大学秀山共富学院
浙江农林大学苍南共富学院

