城市河流水质的改善,
优化了城市的生态环境。
水质净化的过程,
离不开污水处理厂的努力。
一间污水处理厂,处理的工艺不同,
污水处理池的种类也会有所不同,
但基本上一套完整的生活污水处理流程,
都离不开核心工艺——生物净化。
在生物净化过程中,我们看到的黄色液体混合物就是污泥和污水的混合物,每克污泥中存在数以亿计的微米级微生物,它们在污水处理过程中到底有什么作用?其中又会有什么有趣的地方?
下面将以市区污水处理厂为例,一起通过显微镜来看看微缩世界的奥妙吧!
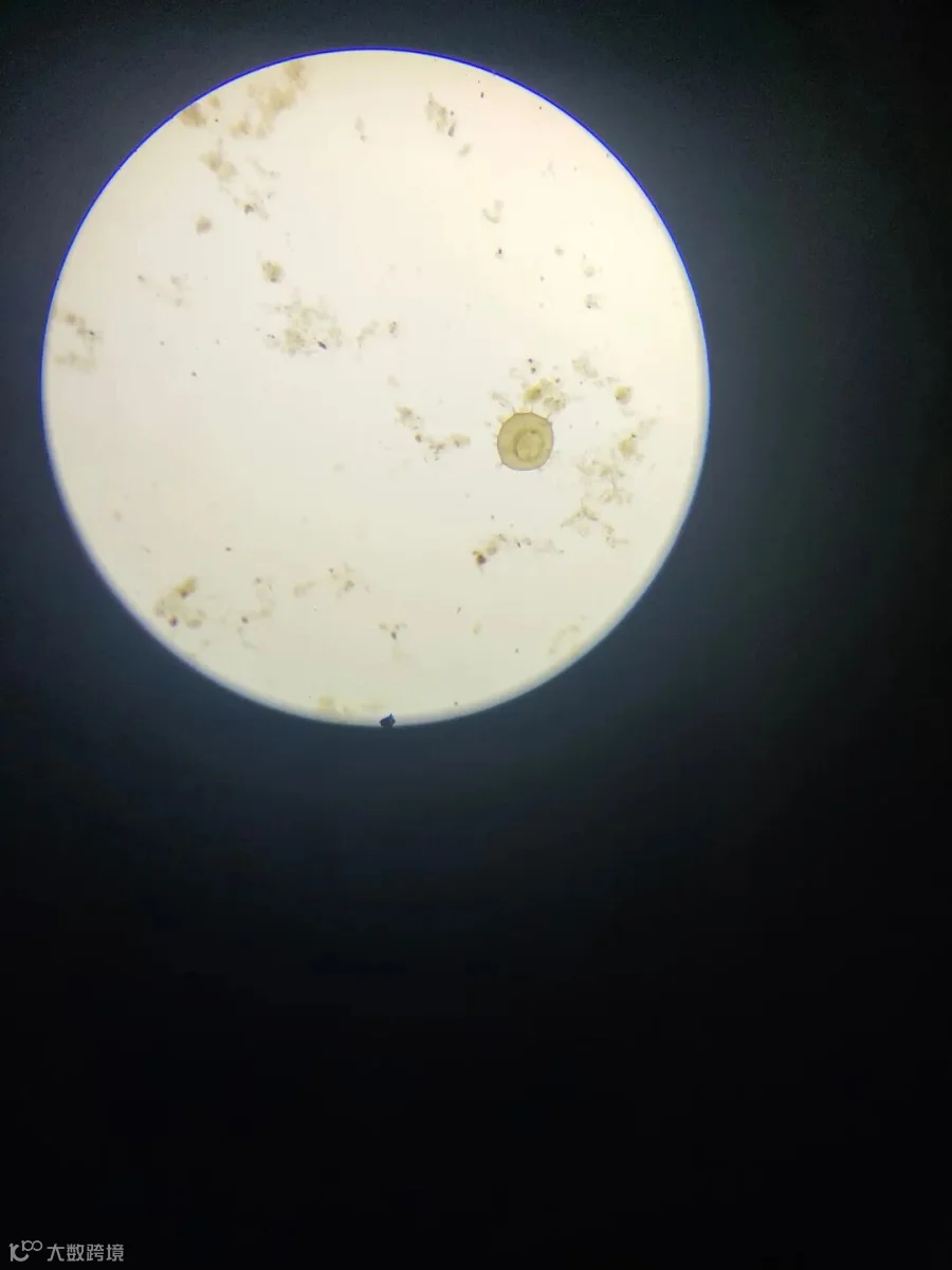
累枝虫
我们第一个发现的微生物是累枝虫。
这是在显微镜下放大100倍所看到的累枝虫,它个体呈细长或近似圆筒形,因其柄内没有肌丝轴鞘存在,根本不能收缩。前端口围较大,具有纤毛的口围盘小于口围,能显著的突出在口围边缘之外,内质呈乳白色,含有少量食泡,有一个伸缩泡相当大,位于前端,柄粗细适中,比较光滑。
累枝虫属于原生动物,主要以细菌为食物来源,它特别喜好吃大肠杆菌、假单胞杆菌等;在生物处理系统中,存在于生物膜中比活性污泥中更多。累枝虫一般是在活性污泥净化性能良好时出现,处理后水质BOD相当低。
红斑顠体虫
我们发现的第二个微生物是红斑顠体虫
红斑顠体虫属于微型后生动物,主要以水中的有机碎屑和细菌为食物。一般红斑顠体虫出现时,会蚕食菌胶团,破坏菌胶团结构,是其结构变得松散,产生大量的细菌小絮体,降低活性污泥的沉降性能。
近些年,随着城市规模不断发展,污水管网的逐渐完善,进水浓度及水量不断提升,污泥处理的问题引起了社会的广大关注,利用微型后生动物对污泥的吞噬特点,将红斑顠体虫、仙女虫等微型后生动物作为污泥减量化的利用群体作为研究的热点。
表壳虫
我们第三个发现的微生物是表壳虫。
表壳虫,它壳的背腹面呈圆形,而形似表盖;侧面观则腹部扁平,背面很平稳地高度凸出而使整个壳呈半圆形,壳的高度约为它直径的二分之一,壳通常呈褐色也有黄色的,偶然也会发现透明的壳,有指状伪足,从壳孔伸出,数目不会超过5个或6个;其内质含有不少食泡和贮藏粒体。
表壳虫以植物性鞭毛虫和单细胞藻类为主要食物。寡污性水体是它最适宜的生存环境;在活性污泥 BOD 负荷低,污泥停留时间过长时,经常大量出现。同时也是硝化反应出现的标志。
线 虫
我们发现的第四个微生物是线虫。
线虫与红斑顠体虫都属于后生动物,因其形状呈线状故而得名,它看上去像蚯蚓一样做拱曲运动。线虫的特殊体形适合潜入堆积污泥,适宜有大量堆积污泥时生存,以细菌为食,又因为全身透明,研究室不需要染色。线虫的出现可成为有无污泥堆积区存在的指标,低溶解氧时,大量线虫出现预示工况要变差。水力负荷突然增大时,往往会出现大量线虫。
吸管虫
吸管虫属于原生动物中的吸管虫属,有体、柄,其身体可呈圆形或三角形,柄的形态具刚性,以独居为主要存在特征。由于吸管虫幼体有纤毛,成虫纤毛消失,取而代之的则是长短不一的吸管。吸管作为吸管虫的捕食工具,主要对原生动物和轮虫进行捕食。利用吸管将微小生物粘住,分泌毒素麻醉猎物,溶化其细胞膜,最后吮吸干猎物的原生质。吸管虫往往会在污泥培养中期、污泥发生老化、解体、膨胀时出现,其出现则意味着污水处理的出水水质将要变差,需要及时对工艺进行调整。
除了以上五种微生物,污水处理的过程中还有变形虫、喇叭虫、太阳虫、漫游虫、钟虫等各种类型的微生物,它们作用各不相同。当然除了靠微生物的努力外,更需要我们提高水资源、水环境的保护意识,爱水、惜水、节水,让我们从小事做起!为建设人与自然和谐共生的美丽家园,凝聚共识、汇聚力量!共建清洁美丽世界,一起打赢这场碧水蓝天保卫战!
节约用水利在当代
造福人类功在千秋
一滴清水,一片绿地,一个地球
希望大家都能以身作则,从我做起
供稿:净水公司办公室
编辑:净水公司办公室


