脊髓损伤(Spinal cord injury,SCI)可引起原发性机械性损伤和继发性炎症性损伤。脊髓组织的机械性损伤引发原发性损伤,而继发性神经炎症反应在原发性损伤后发生,介导附加的广泛神经损伤。控制有害的急性神经炎症可作为抑制损伤、促进功能恢复的治疗策略。小胶质细胞在脊髓损伤后继发性损伤中起着至关重要的作用。在SCI的急性期,活化的小胶质细胞可产生神经毒性的促炎细胞因子,如TNF- TNF、IL-1细胞杀伤因子和IL-6。因此,仔细调整小胶质细胞的功能,使其有害影响最小化,发挥其神经保护作用,对促进神经系统恢复至关重要。
近日,福建骨科医院和福建医科大学陈文凯等研究人员在The Journal of Neuroflammation上发表了题为“Inhibition of leucine-rich repeats and calponin homology domain containing 1 accelerates microglia-mediated neuroinflammation in a rat traumatic spinal cord injury model.’’的研究论文,阐明富含亮氨酸的重复序列和钙调理蛋白同源域1(LRCH1)对小胶质细胞功能的意义,在原代小胶质细胞培养中应用慢病毒诱导的LRCH1敲低,在体外和大鼠SCI模型中测试LRCH1在小胶质细胞介导炎症反应中的作用。为研究新的脊髓损伤治疗方法提供了线索。

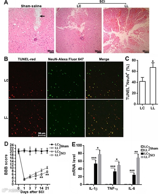
创伤性脊髓损伤后小胶质细胞LRCH1表达下调。LRCH1基因敲低增加了脂多糖和三磷酸腺苷体外诱导后的促炎细胞因子的产生,如IL-1的细胞因子,TNF-α 和IL-6。此外,LRCH1敲低促进了诱导诱导的小胶质细胞向促炎诱导型一氧化氮合酶(iNOS)表达的小胶质细胞极化。LRCH1敲低也增强了启动后小胶质细胞介导的N27神经元死亡。在体外培养大鼠原代脊髓神经元(由源井生物提供),经含有LRCH1 shRNA序列的慢病毒诱导感染的小胶质细胞对脊髓神经元的毒性更强。
进一步的分析显示,LRCH1敲低增加了诱导的p38丝分裂原活化蛋白激酶(MAPK)的激活和Erk1/2信号通路,这对小胶质细胞的炎症反应至关重要。当LRCH敲低的小胶质细胞被重新注射到大鼠的脊髓中时,它们增强了SCI后促炎细胞因子的产生,增加了SCI诱导的白细胞招募,加重了SCI诱导的组织损伤和神经元死亡,并恶化了运动功能。

总而言之,研究表明,抑制LRCH1可以增加活化的小胶质细胞产生促炎细胞因子。此外,抑制LRCH1促进小胶质细胞向促炎状态极化。LRCH1的作用是通过减轻p38 MAPK的激活来介导的Erk1/2信号。LRCH1低表达小胶质细胞过继转移加重脊髓损伤引起的组织损伤和功能障碍。因此,抑制LRCH1会加速脊髓损伤后小胶质细胞化的神经炎症。研究者首次揭示了LRCH1作为脊髓损伤后小胶质细胞介导的神经炎症的负调控因子,为研究新的脊髓损伤治疗方法提供了线索。
源井生物自主研发的CRISPR-U™技术,编辑效率是传统方法的10倍以上。我们已经在超过100种细胞中成功进行基因敲除,其中包括各种脑和神经系统的细胞,例如人神经母细胞瘤细胞SK-N-SH、大鼠胶质瘤细胞C6、小鼠海马神经元细胞系HT22等。
立即联系我们,了解更多与您的研究相关的服务!


