回首2024年,感谢大家选择源井并肩应对科学挑战与突破。我们的成长与进步,离不开广大科研者的信任与支持!
在这一年里,源井助力科研工作者发表了115篇高质量文章,这些文章的影响因子总和达1000+,涵盖了KO细胞、点突变细胞、基因编辑菌、Luc细胞等多种服务和产品。这些文章不仅是客户对我们产品与服务的真实反馈,更是激励我们不断前行的动力源泉。我们选出2024年引用源井服务和产品的部分高水平研究文章,并进行了整理与简要解读,希望能为更多科研工作者提供实验思路和参考!
KO细胞高分文章
题目:Deep whole-genome analysis of 494 hepatocellular carcinomas
期刊:Nature
影响因子:50.5
引用服务/产品:PPP1R12B, KCNJ12, FGA基因敲除细胞和携带突变位点的过表达慢病毒
文章摘要:
本研究对494例来自中国不同地区的肝细胞癌患者肿瘤组织进行了高深度的全基因组测序(平均120x),深入分析了编码区和非编码区的驱动基因、突变印记、拷贝数变异、聚集式变异事件、染色体外环状以及突变演进规律等特征。还选取了3个新鉴定的潜在驱动事件进行详细功能验证,综合CRISPR定点突变及多个细胞系敲降/敲除实验,发现上述基因的突变足以导致基因表达水平的显著变化,并参与调控肝细胞癌的多种恶性表型,这些结果证实基于数据分析发现的新驱动事件的有效性。
候选驱动基因景观
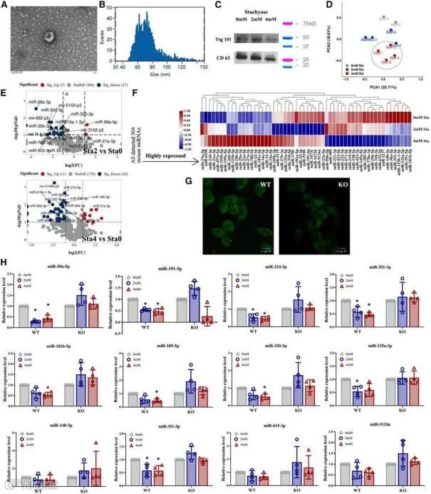
题目:Nondigestible stachyose binds membranous HSP90β on small intestinal epithelium to regulate the exosomal miRNAs: a new function & mechanism
期刊:Cell Metabolism
影响因子:27.7
引用服务/产品:HSP90β基因敲除Mode-K细胞
文章摘要:
该研究首次发现低聚四糖水苏糖虽未进入小肠上皮细胞内,却非常明显地积聚在细胞膜表面,并与小肠上皮细胞膜上热休克蛋白HSP90β结合。HSP90被称作细胞外泌体分泌的调控“开关”,外泌体则作为细胞间通讯的重要信使,将其载运的miRNA、蛋白质等信号分子传递至受体细胞,激活胞内信号通路,调节机体生理功能。团队进一步研究揭示水苏糖通过直接作用小肠上皮细胞膜HSP90β重编其外泌体miRNA表达谱的营养新功能,并率先阐明水苏糖类功能糖通过该新功能调控肠道菌群的间接益生新机制。
敲除小肠上皮细胞HSP90β基因显著消除水苏糖在细胞膜上的聚积及其对小肠外泌体miRNA的调节作用
题目:Nuclear miR-204-3p mitigates metabolic dysfunction-associated steatotic liver disease in mice
期刊:Journal of Hepatology
影响因子:26.8
引用服务/产品:TLR4基因敲除THP-1细胞
文章摘要:
该研究证明了巨噬细胞miR-204-3p作用的新发现,它的作用依赖于ULK1表达的转录调控,它可以提高自噬通量,减少炎症反应,从而限制脂肪性肝病。因此,miR-204-3p和潜在的特异性ULK1药物激动剂可能成为代谢功能障碍相关脂肪性肝病(MASLD)的新治疗靶点。
文章图形摘要
点突变细胞高分文章
题目:Acetate reprogrammes tumour metabolism and promotes PD-L1 expression and immune evasion by upregulating c-Myc
期刊:Nature Metabolism
影响因子:18.9
引用服务/产品:MYC(p.K148R)点突变的A549细胞,MYC(p.K148Q)点突变的A549细胞
文章摘要:
该研究揭示了肿瘤细胞摄取的乙酸通过上调c-Myc水平重编程肿瘤细胞代谢及促进免疫逃避的重要机制。重要的是,发现了通过调节肿瘤乙酸代谢途径增强免疫检查点抑制剂治疗的疗效。
文章图形摘要
题目:
FOXP1 phosphorylation antagonizes its O-GlcNAcylation in regulating ATR activation in response to replication stress
期刊:The EMBO Journal
影响因子:9.4
引用服务/产品:FOXP1基因S396A和S396D点突变HEK293细胞系
文章摘要:
该研究揭示了叉头框(forkhead box,FOX)转录因子FOXP1促进复制压力下ATR-CHK1活化的新机制,该功能不依赖于FOXP1的转录调控活性,并且由FOXP1的磷酸化修饰和糖基化修饰交互调控。
文章图形摘要
基因编辑菌高分文章
题目:YjgA plays dual roles in enhancing PTC maturation
期刊:Nucleic Acids Research
影响因子:16.6
引用服务/产品:FOXP1基因S396A和S396D点突变HEK293细胞系
文章摘要:
该研究通过敲除YjgA或其N-loop在大肠杆菌中的表达,观察到了pre50S颗粒的积累。这些颗粒主要在肽酰转移酶中心(PTC)和H68/69区域显示出结构异常。研究揭示了小蛋白YjgA在核糖体大亚基50S组装晚期阶段的关键功能,为理解核糖体生物合成这一复杂过程提供了新的见解。
YjgA通过阻止H68进入以及招募uL16的双重功能促进PTC的成熟
更多高分文章(节选)
|
分类 |
引用服务 /产品 |
期刊 |
影响因子 |
|
KO细胞 |
ERBB2基因敲除A549细胞 |
Bioactive Materials |
18 |
|
|
Nature Communications |
14.7 |
|
|
|
Advanced Science |
14.3 |
|
|
Atg5基因敲除H9c2细胞 |
Advanced Science |
14.3 |
|
|
细菌 |
多基因敲除大肠杆菌 |
ACS nano |
15.8 |
|
|
Nature Communications |
14.7 |
|
|
病毒/载体 |
HT22细胞、GPR119敲除慢病毒包装 |
Cell Metabolism |
27.7 |
|
|
Nature Communications |
14.7 |
|
|
基因敲除载体 |
Advanced Science |
14.3 |
|
|
产品 |
THP-1-EGFP |
Cell Stem Cell |
19.8 |
|
|
ACS nano |
15.8 |
|
|
|
Nature Communications |
14.7 |
发文章领奖励
为感谢并回馈广大科研工作者为生命科学领域做出的贡献,我们在2024年推出了新的“红棉科研奖励金”方案,对引用源井服务或产品且发表高水平研究文章的科研工作者给予激励。
2025年“红棉科研奖励金”方案持续有效,欢迎更多的新老客户参与其中,与我们共同分享您文章发表的喜悦。具体细则可点击“阅读原文”查看。
如果有基因编辑服务或产品需求,欢迎咨询
联系电话:18054268871,微信同号
点击阅读原文,查看红棉科研奖励金方案细则

