前列腺癌(PCa)是男性第二大常见癌症,也是全球癌症死亡的第五大原因。新出现的证据表明,遗传和表观遗传事件,包括遗传变异,非编码RNA(ncRNA),和N6-甲基腺苷(m6A)甲基化,有助于PCa的发生和进展。
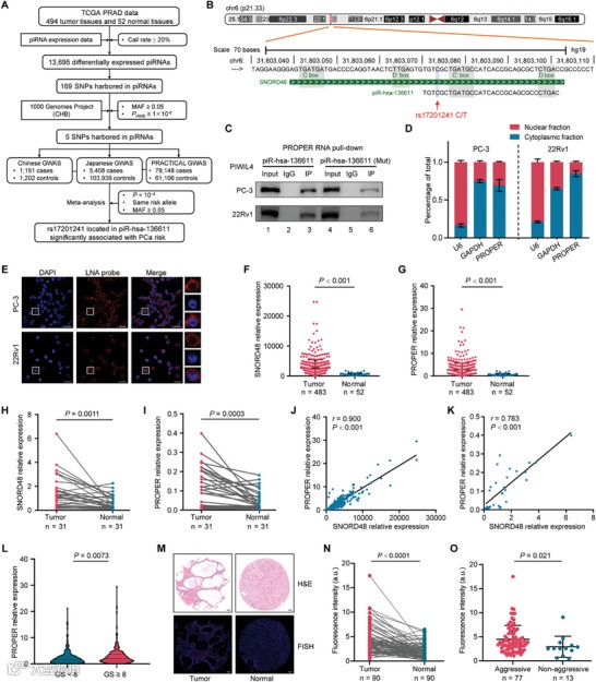
近期,南京医科大学王美林及成功共同通讯在Advanced Science (IF=14.3)发表题为“piRNA PROPER Suppresses DUSP1 Translation by Targeting N6-Methyladenosine-Mediated RNA Circularization to Promote Oncogenesis of Prostate Cancer”的研究论文。该研究中鉴定出一种特定的遗传变异rs17201241,它与肿瘤中PROPER(前列腺癌中过表达的piRNA)表达增加有关,并且位于基因内,导致前列腺癌的风险增加和恶性进展。其中,采用源井构建的SNORD48基因敲除PC-3细胞,揭示PROPER的产生机制以及rs17201241的作用。
图1 通过CRISPR/Cas9敲除SNPRD48的示意图
全基因组关联研究(GWASs),包括之前的报告,加上亚洲人的大规模合作复制工作,已经确定了200多种有助于PCa发展的遗传变异。与大多数其他疾病和性状一样,这些与风险相关的单核苷酸多态性(SNP)主要映射到基因组的非编码区域。
在不同类型的ncRNA中,PIWI相互作用RNA(piRNA)是一种新型的小ncRNA,最初在生殖系细胞中被发现具有高丰度,在转座子沉默以维持配子发生和生育的基因组完整性方面显示出最著名和最关键的调节功能。然而,一些研究报道了piRNA在不同来源的癌症(如生殖细胞或体细胞组织)中的额外调节作用。例如,piR-823、piR-001773和piR-017184等piRNA被发现在癌症进展的表观遗传调控中起关键作用。之前的研究表明,piRNA在各种肿瘤中大量表达并具有大量的遗传变异,这表明它们在致癌作用中的潜在作用。然而,这些piRNA相关SNP的因果关系和生物学效应的分子机制赋予癌症(包括PCa)的风险,在很大程度上仍然未知。
此外,越来越多的表转录组学证据已经阐明了m6A在恶性肿瘤中的关键作用。一般来说,m6A修饰在翻译停止密码子周围和3 ' -非翻译区(UTR)富集,调节mRNA的命运。动态修改后的m6A位点由可变读取器识别和执行,例如含有YTH结构域的蛋白质和异质核核糖核蛋白(hnRNPs)家族蛋白质,从而调节mRNA剪接、输出、稳定性和翻译过程。YTH结构域家族蛋白2(YTHDF2)作为至关重要的m6A读取器,优先识别m6A并招募RNA降解酶或衔接蛋白,触发含有m6A的mRNA的快速降解,从而干扰mRNA的翻译。然而,ncRNA参与的含m6a mRNA在PCa中的稳定性和翻译调控机制尚不明确。
图2 PCa风险相关piRNA的鉴定和表达分析示意图
鉴于转录后修饰在调节基因表达方面的复杂性,有必要将这些修饰与经典调控层相结合,例如那些涉及充分探索的丝裂原活化蛋白激酶(MAPK)通路的调控层,以解释肿瘤发生的机制。双特异性磷酸酶(DUSP)是细胞信号通路的关键调节因子,尤其是MAPK通路。这些酶使MAPK上的苏氨酸和酪氨酸残基去磷酸化,有效调节其活性并确保细胞对各种刺激的精确反应。DUSP在控制细胞增殖、分化和凋亡方面起着至关重要的作用,从而维持细胞稳态。通过调节MAPK信号转导,DUSP1可以影响转移所必需的过程,例如细胞迁移、侵袭和上皮-间充质转化(EMT)。在PCa的背景下,DUSP1下调,并且由于其影响肿瘤进展和转移的能力而具有重要意义。然而,DNAa中DUSP1本身的转录后修饰和调控尚未完全了解。
本研究中,联合GWAS能够找到PCa风险相关变异rs17201241,它存在于PROPER(前列腺癌中过表达的piRNA)中,该变异在晚期PCa中异常高表达。研究中发现了一种意想不到的RNA表观遗传调控机制,通过该机制,通过PROPER与m6A结合蛋白YTHDF2和YBX3组装形成piRNA诱导的沉默复合体(pi-RISC),从而以mRNA环的方式抑制翻译并促进DUSP1与翻译起始因子EIF2S3的降解。因此,本研究不仅报道了以前未知的piRNA在转录后调控中的功能,而且还为靶向癌症中piRNA介导的翻译机制提供了新的治疗机会。
4500+KO细胞产品低至¥4980
定制¥8888起
👇~更多详情,欢迎找小源咨询~👇
联系电话:18054268871,微信同号
参考文献:
Ben, Shuai et al. “piRNA PROPER Suppresses DUSP1 Translation by Targeting N6-Methyladenosine-Mediated RNA Circularization to Promote Oncogenesis of Prostate Cancer.” Advanced science (Weinheim, Baden-Wurttemberg, Germany) vol. 11,33 (2024): e2402954. doi:10.1002/advs.202402954
关注我们get更多基因编辑细胞干货和福利!


点击阅读原文,入库搜索4500+KO细胞

