1
背景
越来越多的证据表明,先天免疫特别是巨噬细胞激活,显著促进了代谢功能障碍相关脂肪性肝病(MASLD)的发展。因此,巨噬细胞参与炎症反应并与肝细胞和造血干细胞相互作用,是MASLD的潜在治疗靶点。MicroRNAs (miRNAs)是一类小的非编码RNA,可以结合和降解靶mRNA异常的miRNA的表达,调节下游基因对MASLD的发生或进展至关重要。除了靶基因的转录后调控外,已有证据表明miRNA在细胞核中存在并发挥调控作用。之前有文献报道巨噬细胞中的核miR-204-3p抑制CD36转录和巨噬细胞衍生泡沫细胞的形成,这一发现突出了miR-204-3p在调节基因转录中的核内功能,值得进一步研究。此外,miR-204-3p在几种炎症疾病相关的疾病模型中具有抗炎症作用,但其在MASLD中的意义尚不清楚。
2
摘要
中山大学梁思佳团队在Journal of Hepatology上发表了题为“Nuclear miR-204-3p mitigates metabolic dysfunction-associated steatotic liver disease in mice”的研究论文。该研究揭示了miR-204-3p抑制巨噬细胞炎症,协调巨噬细胞对肝细胞和HSCs的作用,改善脂肪性肝病。巨噬细胞miR-204-3p可能是MASLD的治疗靶点。其中,该研究采用了源井构建的TLR4基因敲除THP-1细胞来验证miR-204-3p的抗炎作用是否依赖于TLR4/JNK信号通路的抑制。
3
图文导读
定量反转录 PCR 显示,在高脂饮食(HFD)小鼠和 ob/ob 小鼠的肝脏以及巨噬细胞中,miR-204-3p 表达降低。从参与者获得的样本的小 RNA 测序分析显示,在 MASLD患者的肝脏组织和外周血单个核细胞(PBMCs)中,miR-204-3p 水平也下调,且 PBMC中 miR-204-3p 水平与肝病症和损伤的严重程度呈负相关。总之,这些结果表明巨噬细胞 miR-204-3p 水平与肝脂肪变性、炎症、肝损伤和疾病的发生有关。
图 1:MASLD 样本中 miR-204-3p 水平降低与疾病严重程度相关
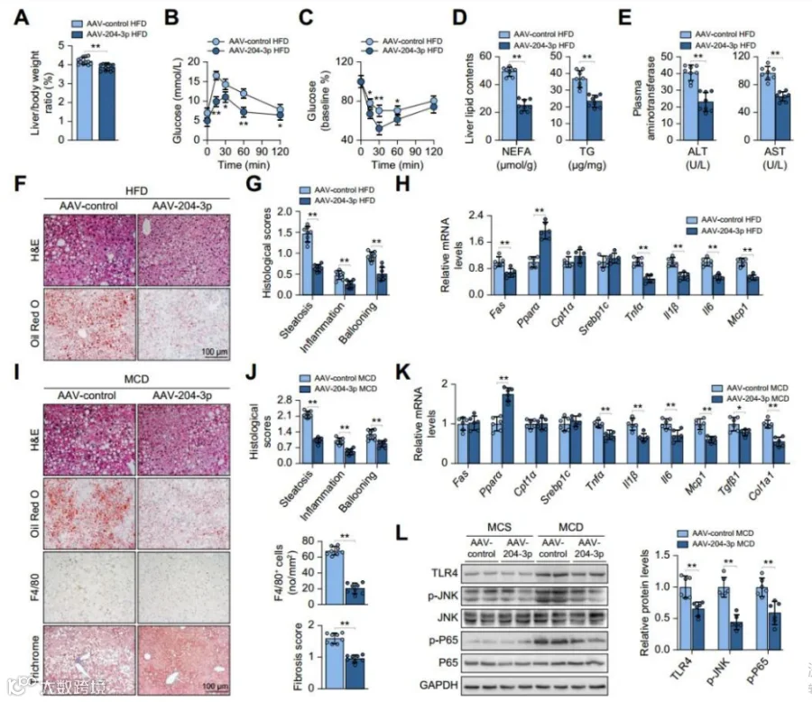
考虑到肝脂肪变性进展过程中巨噬细胞 miR-204-3p 水平显著降低,研究其对脂肪 性 肝 病 的 潜 在 影 响 。通 过 向 HFD 小 鼠 注 射 过 表 达 miR-204-3p 的 腺 相 关 病 毒(AAV-204-3p),发现巨噬细胞中 miR-204-3p 过表达可减轻小鼠的肝脏脂肪变性、炎症和胰岛素抵抗,改善肝脏相关指标;在甲硫氨酸和胆碱缺乏(MCD)饮食诱导的MASH 小鼠模型中也得到了类似的结果;骨髓移植实验进一步证实了巨噬细胞 miR -204-3p 对脂肪性肝病的负调节作用。综上说明,巨噬细胞 miR-204-3p 改善小鼠实验性脂肪性肝病。
图 2:巨噬细胞 miR-204-3p 改善小鼠实验性脂肪性肝病
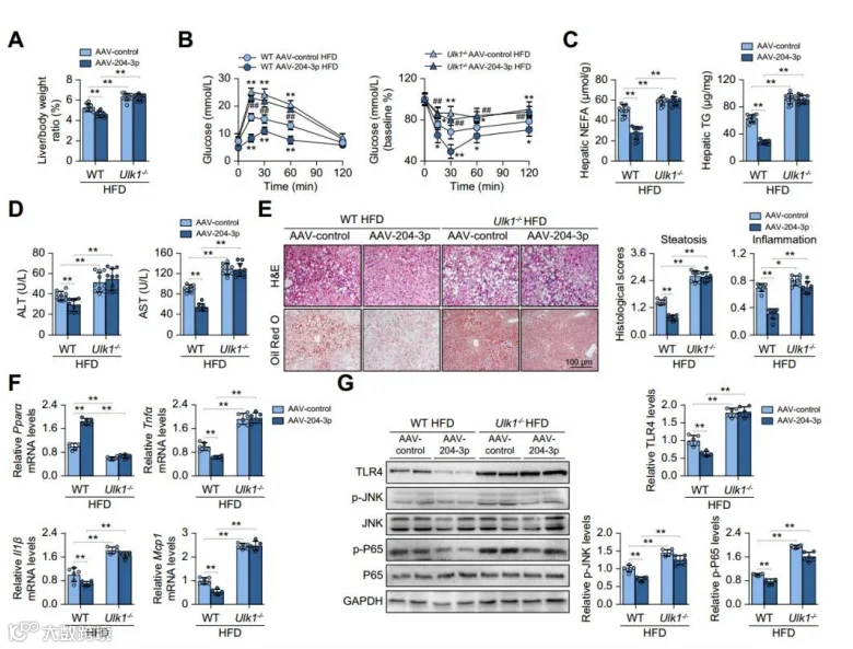
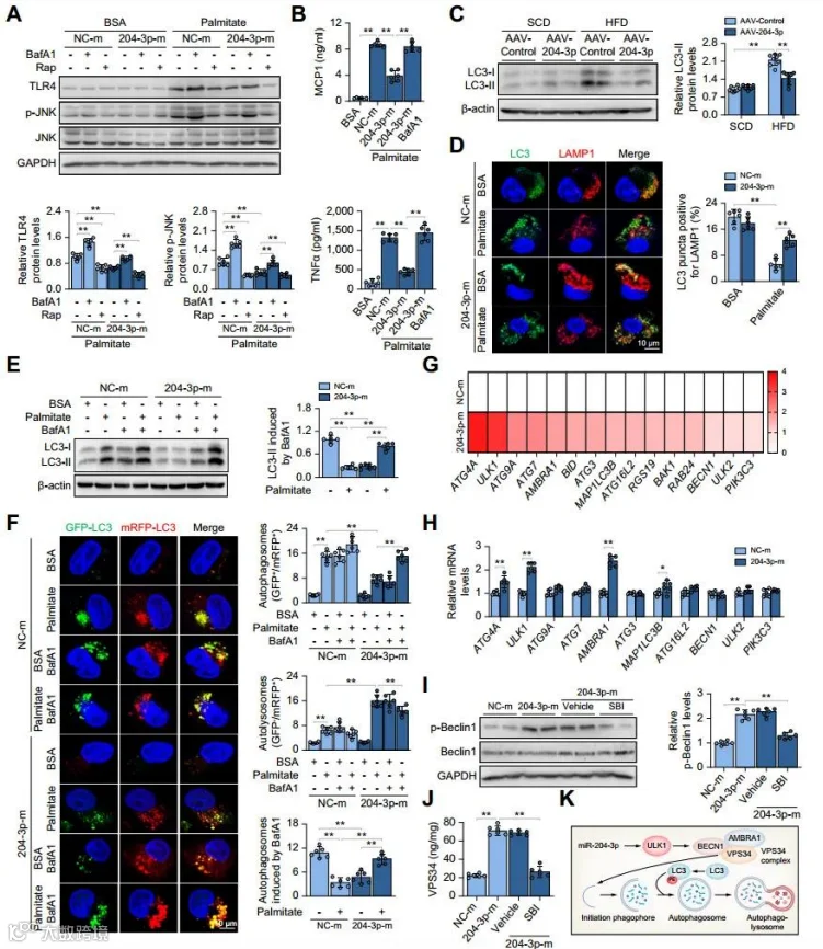
作者建立了肝巨噬细胞与原代肝细胞或造血干细胞共培养体系。共培养实验表明,与 HFD 小鼠的巨噬细胞共培养的肝细胞脂质沉积、炎症和胰岛素抵抗增加,HSC 中纤维化基因表达升高;而与过表达 miR-204-3p 的巨噬细胞共培养时,这些变化减弱。miR-204-3p 敲低增强了巨噬细胞中 JNK 磷酸化以及 MCP1 和 TNFα的分泌,但在Tlr4-/-THP-1 细胞中没有这种作用,表明 TLR4/JNK 信号抑制是 miR-204-3p 发挥抗炎作用所必需的。miR-204-3p 过表达的巨噬细胞中 TLR4 表达和 JNK 磷酸化降低,炎症因子分泌减少,从而抑制肝细胞脂肪变性和 HSC 活化。这些结果表明巨噬细胞miR-204-3p 可减少促炎细胞因子的分泌,抑制肝细胞的脂肪变性变化和 HSCs 的纤维化活化。
图 3:巨噬细胞 miR-204-3p 减轻肝细胞脂质积累和炎症
4
结论
该研究证明了巨噬细胞 miR-204-3p 作用的新发现,它作用依赖于 ULK1 表达的转录调控,它可以提高自噬通量,减少炎症反应,从而限制脂肪性肝病。因此,miR-204-3p 和潜在特异性 ULK1 药物激动剂可能成为代谢功能障碍相关脂肪性肝病(MASLD)的新治疗靶点。
文章同款 KO 细胞
源井可提供 4500+KO 细胞产品!
1 周达,极速验证靶点
涵盖 10 大领域,300 多个特价基因,低至¥4980!
联系电话:18054268871,微信同号
点击“阅读原文”,了解活动详情
关注我们get更多基因编辑细胞干货和福利!



