

KRAS基因是人体内的一个正常基因,但其突变常发生在各种类型的肿瘤中,大约有30%的癌症患者基因组中都存在KRAS基因突变,其中包括90%的胰腺癌,50%的结肠癌和25%的肺癌。
KRAS
Figure 1: KRAS突变在不同类型癌症中的突变比例,数据来源于AACR GENIE 9.0公共数据库[1]
但KRAS缺乏经典的药物结合位点,且活化的KRAS蛋白与GTP的结合具有皮摩尔级亲和力,相关的小分子药物需要拥有比传统阻滞剂更强的结合力才能竞争成功,故用药物靶向KRAS突变体是件极具挑战的事。
到目前为止,科学家针对KRAS做出了很多努力,随着Amgen公司的KRAS G12C抑制剂(AMG-510)获得FDA批准上市,终结了KRAS不可靶向的“魔咒”,并揭开了KRAS抑制剂研发的序幕,寻找新的癌症治疗靶点成为越来越多研究者们的课题。当然,设计直接针对KRAS的抑制剂是较难的,所以许多科学家将精力放在了研究KRAS的上游调控因子或下游效应因子靶向药的靶点上。
靶向KRAS突变的新药开发离不开疾病模型的构建,点突变细胞模型的构建能揭示KRAS基因相关的细胞生物学原理,促进人类进行疾病预防、新药开发和临床治疗,为人类生命健康发展保驾护航。下面我们将从目前KRAS靶向药研发思路、点突变细胞在KRAS突变研究上的应用案例2个方面展开讨论,希望能给大家的研究带来一些思路。
1
KRAS基因突变的癌症治疗药物研究思路
上文有提到用药物直接靶向KRAS是十分困难的,因此研究人员在过去40年里一直努力找寻相关间接途径,并摸索出几种可行性高的研究思路:包括减少KRAS的表达、中断 KRAS 的膜定位、干扰 KRAS与其效应器之间的相互作用、抑制上游和下游信号以及合成致死方法等,下面就简单介绍一下目前KRAS靶向药研发的常见思路:
向上滑动查看完整信息
Figure 2: KRAS (G12C)抑制剂的研究进展及化学结构
基于“间接途径”这一突破点,近年陆续有KRAS抑制剂研发的好消息——AMG-510的上市,用于治疗至少经过一次系统治疗的KRAS G12C突变的非小细胞肺癌(NSCLC)患者;Mirati Therapeutics公司有2款KRAS抑制剂的效用分别在临床和癌症模型中得到印证;Revolution Medicines公司也有1款KRAS抑制剂在癌症模型中表现出良好的抗癌活性。所以科研人员对KRAS的研究热情也持续上涨。
2
KRAS点突变细胞应用案例分析
细胞模型是人类疾病研究中最常用的工具,可应用于靶点验证、靶标发现以及药物筛选等研究,有助于全面认识疾病的本质,为人类战胜恶性肿瘤以及开展更深入的研究提供有效手段。下面将分享一些KRAS点突变细胞在靶点研究上的应用案例。
KRASG12C突变对不同信号通路介导的翻译机制的影响
向上滑动查看完整案例
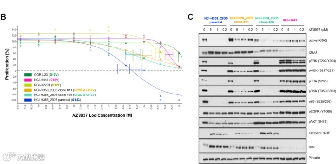
验证KRASG12C-G12V双突变及KRASG12F对G12C特异性抑制剂的抗性[3]
向上滑动查看完整案例
尽管几十年来的研究一直在强调KRAS突变是肿瘤发生和临床耐药的核心因素,但尚未找到KRAS突变的有效治疗方法,对KRAS突变进行研究变得迫在眉睫。同样与癌症肿瘤相关且容易突变的热门激酶基因还有EGFR、BRAF、PIK3CA、MET、NRAS等,目前已经有许多研究人员选择构建点突变细胞模型用于还原基因突变疾病模型,进行新药靶点筛选及验证。
相关推荐
● 超3000种KO细胞产品>>覆盖文中提及的所有信号通路热门基因,是突变疾病治疗靶点研究强有力的辅助工具,优质现货克隆速递仅1周,¥6800即可到手!点击【阅读原文】入库搜索心仪细胞!
参考文献:
[1]Huang L, Guo Z, Wang F, Fu L. KRAS mutation: from undruggable to druggable in cancer. Signal Transduct Target Ther. 2021;6(1):386.
doi:10.1186/s12943-022-01629-2
[2] Kyriakopoulos, George et al. “KRASG12C Can Either Promote or Impair Cap-Dependent Translation in Two Different Lung Adenocarcinoma Cell Lines.” International journal of molecular sciences vol. 22,4 2222. 23 Feb. 2021, doi:10.3390/ijms22042222
[3] Vaclova, T., Chakraborty, A., Sherwood, J. et al. Concomitant KRAS mutations attenuate sensitivity of non-small cell lung cancer cells to KRAS G12C inhibition. Sci Rep 12, 2699 (2022). https://doi.org/10.1038/s41598-022-06369-3
撰稿人 | 徐甜
关注我们及时了解产品/服务新信息






